验证数据展示
经过测试的应用
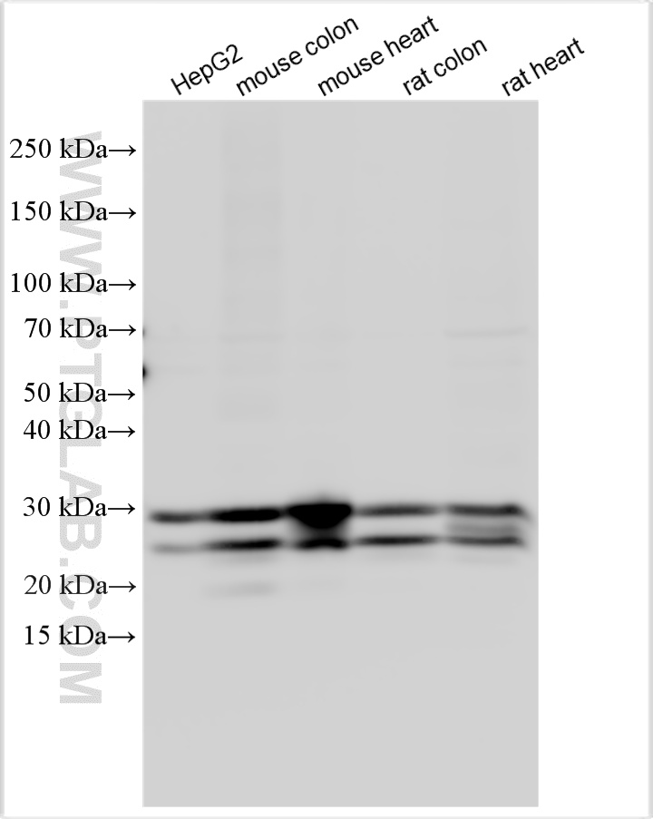
| Positive WB detected in | HepG2 cells, mouse kidney tissue, mouse liver tissue, mouse colon tissue, mouse heart tissue, rat colon tissue, rat heart tissue | 
| Positive IP detected in | mouse heart tissue | 
| Positive IHC detected in | human ovary tumor tissue Note: suggested antigen retrieval with TE buffer pH 9.0; (*) Alternatively, antigen retrieval may be performed with citrate buffer pH 6.0 | 
| Positive IF-P detected in | rat eye tissue | 
| Positive IF/ICC detected in | HepG2 cells | 
| Positive FC (Intra) detected in | HeLa cells | 
推荐稀释比
| 应用 | 推荐稀释比 | 
|---|---|
| Western Blot (WB) | WB : 1:5000-1:50000 | 
| Immunoprecipitation (IP) | IP : 0.5-4.0 ug for 1.0-3.0 mg of total protein lysate | 
| Immunohistochemistry (IHC) | IHC : 1:20-1:200 | 
| Immunofluorescence (IF)-P | IF-P : 1:50-1:500 | 
| Immunofluorescence (IF)/ICC | IF/ICC : 1:50-1:500 | 
| Flow Cytometry (FC) (INTRA) | FC (INTRA) : 0.40 ug per 10^6 cells in a 100 µl suspension | 
| It is recommended that this reagent should be titrated in each testing system to obtain optimal results. | |
| Sample-dependent, Check data in validation data gallery. | |
产品信息
15187-1-AP targets RBPMS in WB, IHC, IF/ICC, IF-P, FC (Intra), IP, CoIP, ELISA applications and shows reactivity with human, mouse, rat samples.
| 经测试应用 | WB, IHC, IF/ICC, IF-P, FC (Intra), IP, ELISA Application Description | 
| 文献引用应用 | WB, IHC, IF, IP, CoIP | 
| 经测试反应性 | human, mouse, rat | 
| 文献引用反应性 | human, mouse, rat | 
| 免疫原 | CatNo: Ag7256 Product name: Recombinant human RBPMS protein Source: e coli.-derived, PGEX-4T Tag: GST Domain: 1-219 aa of BC003608 Sequence: MNNGGKAEKENTPSEANLQEEEVRTLFVSGLPLDIKPRELYLLFRPFKGYEGSLIKLTSKQPVGFVSFDSRSEAEAAKNALNGIRFDPEIPQTLRLEFAKANTKMAKNKLVGTPNPSTPLPNTVPQFIAREPYELTVPALYPSSPEVWAPYPLYPAELAPALPPPAFTYPASLHAQCFSPEAKPNTPVFCPLLQQIRFVSGNVFVTYQPTADQQRELPC种属同源性预测 | 
| 宿主/亚型 | Rabbit / IgG | 
| 抗体类别 | Polyclonal | 
| 产品类型 | Antibody | 
| 全称 | RNA binding protein with multiple splicing | 
| 别名 | Hermes, RBP MS, RBP-MS, RNA-binding protein with multiple splicing | 
| 计算分子量 | 22 kDa | 
| 观测分子量 | 28-30 kDa | 
| GenBank蛋白编号 | BC003608 | 
| 基因名称 | RBPMS | 
| Gene ID (NCBI) | 11030 | 
| RRID | AB_2238431 | 
| 偶联类型 | Unconjugated | 
| 形式 | Liquid | 
| 纯化方式 | Antigen affinity purification | 
| UNIPROT ID | Q93062 | 
| 储存缓冲液 | PBS with 0.02% sodium azide and 50% glycerol, pH 7.3. | 
| 储存条件 | Store at -20°C. Stable for one year after shipment. Aliquoting is unnecessary for -20oC storage. | 
背景介绍
RBPMS is a member of the RNA recognition motif family of RNA-binding proteins.It has a single, putative RNA recognition motif in its N-terminus.
实验方案
| Product Specific Protocols | |
|---|---|
| FC protocol for RBPMS antibody 15187-1-AP | Download protocol | 
| IF protocol for RBPMS antibody 15187-1-AP | Download protocol | 
| IHC protocol for RBPMS antibody 15187-1-AP | Download protocol | 
| IP protocol for RBPMS antibody 15187-1-AP | Download protocol | 
| WB protocol for RBPMS antibody 15187-1-AP | Download protocol | 
| Standard Protocols | |
|---|---|
| Click here to view our Standard Protocols | 
发表文章
| Species | Application | Title | 
|---|---|---|
| Cell Perivascular neurons instruct 3D vascular lattice formation via neurovascular contact | ||
| Cell Glia-to-Neuron Conversion by CRISPR-CasRx Alleviates Symptoms of Neurological Disease in Mice. | ||
| Cell Rep Comparative transcriptomic profiling reveals a role for Olig1 in promoting axon regeneration | ||
| Cell Rep Pan-cancer tRNA-derived fragment CAT1 coordinates RBPMS to stabilize NOTCH2 mRNA to promote tumorigenesis | ||
| Cell Rep Genetic loss of function of Ptbp1 does not induce glia-to-neuron conversion in retina. | ||
| Sci Rep Develop an efficient and specific AAV-based labeling system for Muller glia in mice | 









