验证数据展示
经过测试的应用
| Positive WB detected in | mouse kidney tissue, HEK-293 cells, HeLa cells, HepG2 cells, human heart tissue, human liver tissue, MCF-7 cells, mouse pancreas tissue |
| Positive IP detected in | HEK-293 cells |
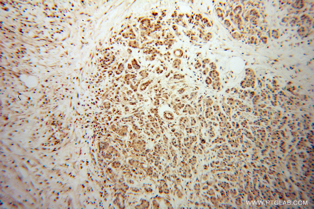
| Positive IHC detected in | human pancreas cancer tissue Note: suggested antigen retrieval with TE buffer pH 9.0; (*) Alternatively, antigen retrieval may be performed with citrate buffer pH 6.0 |
推荐稀释比
| 应用 | 推荐稀释比 |
|---|---|
| Western Blot (WB) | WB : 1:500-1:2000 |
| Immunoprecipitation (IP) | IP : 0.5-4.0 ug for 1.0-3.0 mg of total protein lysate |
| Immunohistochemistry (IHC) | IHC : 1:20-1:200 |
| It is recommended that this reagent should be titrated in each testing system to obtain optimal results. | |
| Sample-dependent, Check data in validation data gallery. | |
产品信息
14613-1-AP targets RBPJ in WB, IHC, IF, IP, CoIP, ELISA applications and shows reactivity with human, mouse samples.
| 经测试应用 | WB, IP, IHC, ELISA Application Description |
| 文献引用应用 | WB, IHC, IF, CoIP |
| 经测试反应性 | human, mouse |
| 文献引用反应性 | human, mouse, rat |
| 免疫原 |
CatNo: Ag6206 Product name: Recombinant human RBPJ protein Source: e coli.-derived, PGEX-4T Tag: GST Domain: 138-486 aa of BC064976 Sequence: DIGVFLSKRIKVISKPSKKKQSLKNADLCIASGTKVALFNRLRSQTVSTRYLHVEGGNFHASSQQWGAFFIHLLDDDESEGEEFTVRDGYIHYGQTVKLVCSVTGMALPRLIIRKVDKQTALLDADDPVSQLHKCAFYLKDTERMYLCLSQERIIQFQATPCPKEPNKEMINDGASWTIISTDKAEYTFYEGMGPVLAPVTPVPVVESLQLNGGGDVAMLELTGQNFTPNLRVWFGDVEAETMYRCGESMLCVVPDISAFREGWRWVRQPVQVPVTLVRNDGIIYSTSLTFTYTPEPGPRPHCSAAGAILRANSSQVPPNESNTNSEGSYTNASTNSTSVTSSTATVVS 种属同源性预测 |
| 宿主/亚型 | Rabbit / IgG |
| 抗体类别 | Polyclonal |
| 产品类型 | Antibody |
| 全称 | recombination signal binding protein for immunoglobulin kappa J region |
| 别名 | CBF 1, CBF1, csl, IGKJRB, IGKJRB1, KBF2, NY-REN-30, RBP J, RBP J kappa, RBP JK, RBPJ, RBPJK, RBPSUH, SUH |
| 计算分子量 | 56 kDa |
| 观测分子量 | 60 kDa |
| GenBank蛋白编号 | BC064976 |
| 基因名称 | RBPJ |
| Gene ID (NCBI) | 3516 |
| RRID | AB_2253744 |
| 偶联类型 | Unconjugated |
| 形式 | Liquid |
| 纯化方式 | Antigen affinity purification |
| UNIPROT ID | Q06330 |
| 储存缓冲液 | PBS with 0.02% sodium azide and 50% glycerol, pH 7.3. |
| 储存条件 | Store at -20°C. Stable for one year after shipment. Aliquoting is unnecessary for -20oC storage. |
背景介绍
RBPJ, also named as IGKJRB, IGKJRB1, RBPJK, RBPSUH, NY-REN-30, CBF-1 and CSL, belongs to the Su(H) family. It is a transcriptional regulator that plays a central role in Notch signaling, a signaling pathway involved in cell-cell communication that regulates a broad spectrum of cell-fate determinations. RBPJ acts as a transcriptional repressor when it is not associated with Notch proteins. It is specifically binds to the immunoglobulin kappa-type J segment recombination signal sequence. RBPJ binds to the Runx3 promoter in the atrioventricular canal in vivo, and inhibition of Notch reduces RUNX3 expression in the cardiac cushion of embryonic hearts.
实验方案
| Product Specific Protocols | |
|---|---|
| IHC protocol for RBPJ antibody 14613-1-AP | Download protocol |
| IP protocol for RBPJ antibody 14613-1-AP | Download protocol |
| WB protocol for RBPJ antibody 14613-1-AP | Download protocol |
| Standard Protocols | |
|---|---|
| Click here to view our Standard Protocols |
发表文章
| Species | Application | Title |
|---|---|---|
Cell Biosci Blockade of the Arid5a/IL-6/STAT3 axis underlies the anti-inflammatory effect of Rbpjl in acute pancreatitis. | ||
J Biol Chem RUNX3 maintains the mesenchymal phenotype after termination of the Notch signal.
| ||
Front Pharmacol DAPT Attenuates Cadmium-Induced Toxicity in Mice by Inhibiting Inflammation and the Notch/HES-1 Signaling Axis. | ||
Inflamm Res Salidroside alleviates cadmium-induced toxicity in mice by restoring the notch/HES-1 and RIP1-driven inflammatory signaling axis. | ||
Inflamm Res Gisenoside Rg1 attenuates cadmium-induced neurotoxicity in vitro and in vivo by attenuating oxidative stress and inflammation | ||
Neurotoxicology Edaravone attenuates cadmium-induced toxicity by inhibiting oxidative stress and inflammation in ICR mice. |










