验证数据展示
经过测试的应用
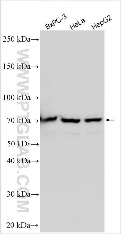
| Positive WB detected in | BxPC-3 cells, NIH/3T3 cells, HeLa cells,HepG2 cells |
| Positive IP detected in | HepG2 cells |
推荐稀释比
| 应用 | 推荐稀释比 |
|---|---|
| Western Blot (WB) | WB : 1:500-1:2000 |
| Immunoprecipitation (IP) | IP : 0.5-4.0 ug for 1.0-3.0 mg of total protein lysate |
| It is recommended that this reagent should be titrated in each testing system to obtain optimal results. | |
| Sample-dependent, Check data in validation data gallery. | |
产品信息
15407-1-AP targets RBM42 in WB, IP, ELISA applications and shows reactivity with human, mouse, rat samples.
| 经测试应用 | WB, IP, ELISA Application Description |
| 经测试反应性 | human, mouse, rat |
| 免疫原 |
CatNo: Ag7667 Product name: Recombinant human RBM42 protein Source: e coli.-derived, PGEX-4T Tag: GST Domain: 129-480 aa of BC004204 Sequence: DRSHLDSPEAREAMFLRRAAVAPQRAPILRPAFVPHVLQRADSALSSAAAGPRPMALRPPHQALVGPPLPGPPGPPMMLPPMARAPGPPLGSMAALRPPLEEPAAPRELGLGLGLGLKEKEEAVVAAAAGLEEASAAVAVGAGGAPAGPAVIGPSLPLALAMPLPEPEPLPLPLEVVRGLLPPLRIPELLSLRPRPRPPRPEPPPGLMALEVPEPLGEDKKKGKPEKLKRCIRTAAGSSWEDPSLLEWDADDFRIFCGDLGNEVNDDILARAFSRFPSFLKAKVIRDKRTGKTKGYGFVSFKDPSDYVRAMREMNGKYVGSRPIKLRKSMWKDRNLDVVRKKQKEKKKLGLR 种属同源性预测 |
| 宿主/亚型 | Rabbit / IgG |
| 抗体类别 | Polyclonal |
| 产品类型 | Antibody |
| 全称 | RNA binding motif protein 42 |
| 别名 | RBM 42, RNA-binding motif protein 42, RNA-binding protein 42 |
| 计算分子量 | 50 kDa |
| 观测分子量 | 65-70 kDa |
| GenBank蛋白编号 | BC004204 |
| 基因名称 | RBM42 |
| Gene ID (NCBI) | 79171 |
| RRID | AB_2176113 |
| 偶联类型 | Unconjugated |
| 形式 | Liquid |
| 纯化方式 | Antigen affinity purification |
| UNIPROT ID | Q9BTD8 |
| 储存缓冲液 | PBS with 0.02% sodium azide and 50% glycerol, pH 7.3. |
| 储存条件 | Store at -20°C. Stable for one year after shipment. Aliquoting is unnecessary for -20oC storage. |
背景介绍
RBM42, also known as RNA-binding motif protein 42, is a member of the RNA-binding protein family that plays critical roles in post-transcriptional regulation of gene expression. Emerging studies highlight RBM42's involvement in pre-mRNA splicing through its association with the spliceosome complex, where it contributes to the precise removal of introns and assembly of mature mRNA. Beyond splicing, RBM42 has been implicated in cellular stress responses, cell cycle regulation, and apoptosis. Dysregulation of RBM42 is linked to developmental disorders and cancers; for instance, mutations in RBM42 are associated with neurodevelopmental abnormalities, while its overexpression or loss correlates with tumor progression in certain malignancies.
实验方案
| Product Specific Protocols | |
|---|---|
| WB protocol for RBM42 antibody 15407-1-AP | Download protocol |
| IP protocol for RBM42 antibody 15407-1-AP | Download protocol |
| Standard Protocols | |
|---|---|
| Click here to view our Standard Protocols |


