验证数据展示
经过测试的应用
| Positive WB detected in | HEK-293 cells, PC-12 cells, Jurkat cells, mouse brain tissue |
| Positive IP detected in | HEK-293 cells |
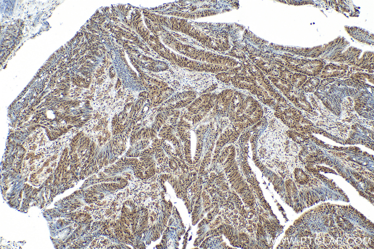
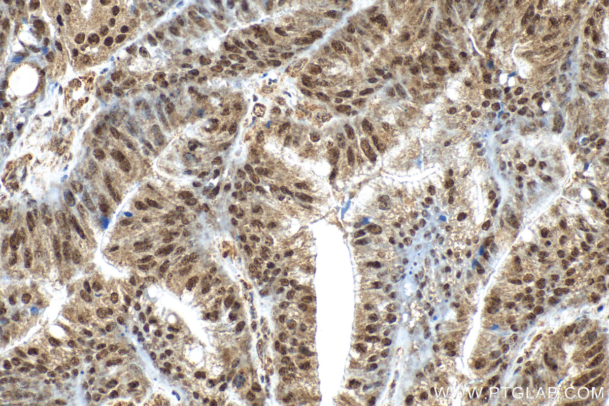
| Positive IHC detected in | human colon cancer tissue Note: suggested antigen retrieval with TE buffer pH 9.0; (*) Alternatively, antigen retrieval may be performed with citrate buffer pH 6.0 |
| Positive IF/ICC detected in | HeLa cells |
推荐稀释比
| 应用 | 推荐稀释比 |
|---|---|
| Western Blot (WB) | WB : 1:5000-1:50000 |
| Immunoprecipitation (IP) | IP : 0.5-4.0 ug for 1.0-3.0 mg of total protein lysate |
| Immunohistochemistry (IHC) | IHC : 1:2000-1:8000 |
| Immunofluorescence (IF)/ICC | IF/ICC : 1:500-1:2000 |
| It is recommended that this reagent should be titrated in each testing system to obtain optimal results. | |
| Sample-dependent, Check data in validation data gallery. | |
产品信息
RMX00066 targets RBM25 in WB, IHC, IF/ICC, IP, ELISA applications and shows reactivity with human, mouse, rat samples.
| 经测试应用 | WB, IHC, IF/ICC, IP, ELISA Application Description |
| 经测试反应性 | human, mouse, rat |
| 免疫原 |
Recombinant protein 种属同源性预测 |
| 宿主/亚型 | Rabbit / IgG |
| 抗体类别 | Multi-Recombinant |
| 产品类型 | Antibody |
| 全称 | RNA binding motif protein 25 |
| 别名 | Arg/Glu/Asp-rich protein of 120 kDa, NET52, Protein S164, RBM 25, RED120 |
| 计算分子量 | 843 aa, 100 kDa |
| 观测分子量 | 100-120 kDa |
| GenBank蛋白编号 | BC113389 |
| 基因名称 | RBM25 |
| Gene ID (NCBI) | 58517 |
| RRID | AB_3750116 |
| 偶联类型 | Unconjugated |
| 形式 | Liquid |
| 纯化方式 | N/A |
| UNIPROT ID | P49756 |
| 储存缓冲液 | PBS with 0.02% sodium azide and 50% glycerol. |
| 储存条件 | Store at -20°C. Stable for one year after shipment. Aliquoting is unnecessary for -20oC storage. |
背景介绍
RNA-binding protein 25 (RBM25), also named as Protein S164 or RNPC7, is a 843 amino acid protein, which contains one RRM domain and one PWI domain. RBM25 localizes in the nucleus and cytoplasm. RBM25 acts as a regulator of alternative pre-mRNA splicing and is involved in apoptotic cell death through the regulation of the apoptotic factor BCL2L1 isoform expression.
实验方案
| Product Specific Protocols | |
|---|---|
| IF protocol for RBM25 antibody RMX00066 | Download protocol |
| IHC protocol for RBM25 antibody RMX00066 | Download protocol |
| IP protocol for RBM25 antibody RMX00066 | Download protocol |
| WB protocol for RBM25 antibody RMX00066 | Download protocol |
| Standard Protocols | |
|---|---|
| Click here to view our Standard Protocols |





