验证数据展示
经过测试的应用
| Positive WB detected in | NIH/3T3 cells, Raji cells |
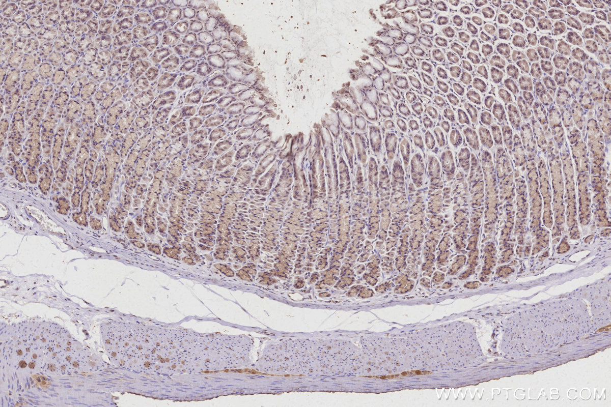
| Positive IHC detected in | rat stomach tissue Note: suggested antigen retrieval with TE buffer pH 9.0; (*) Alternatively, antigen retrieval may be performed with citrate buffer pH 6.0 |
| Positive IF/ICC detected in | U2OS cells |
推荐稀释比
| 应用 | 推荐稀释比 |
|---|---|
| Western Blot (WB) | WB : 1:2000-1:10000 |
| Immunohistochemistry (IHC) | IHC : 1:250-1:1000 |
| Immunofluorescence (IF)/ICC | IF/ICC : 1:50-1:500 |
| It is recommended that this reagent should be titrated in each testing system to obtain optimal results. | |
| Sample-dependent, Check data in validation data gallery. | |
发表文章中的应用
| WB | See 2 publications below |
产品信息
22103-1-AP targets RBM22 in WB, IHC, IF/ICC, ELISA applications and shows reactivity with human, mouse, rat samples.
| 经测试应用 | WB, IHC, IF/ICC, ELISA Application Description |
| 文献引用应用 | WB |
| 经测试反应性 | human, mouse, rat |
| 文献引用反应性 | human |
| 免疫原 |
CatNo: Ag17315 Product name: Recombinant human RBM22 protein Source: e coli.-derived, PGEX-4T Tag: GST Domain: 1-420 aa of BC003402 Sequence: MATSLGSNTYNRQNWEDADFPILCQTCLGENPYIRMTKEKYGKECKICARPFTVFRWCPGVRMRFKKTEVCQTCSKLKNVCQTCLLDLEYGLPIQVRDAGLSFKDDMPKSDVNKEYYTQNMEREISNSDGTRPVGMLGKATSTSDMLLKLARTTPYYKRNRPHICSFWVKGECKRGEECPYRHEKPTDPDDPLADQNIKDRYYGINDPVADKLLKRASTMPRLDPPEDKTITTLYVGGLGDTITETDLRNHFYQFGEIRTITVVQRQQCAFIQFATRQAAEVAAEKSFNKLIVNGRRLNVKWGRSQAARGKEKEKDGTTDSGIKLEPVPGLPGALPPPPAAEEEASANYFNLPPSGPPAVVNIALPPPPGIAPPPPPGFGPHMFHPMGPPPPFMRAPGPIHYPSQDPQRMGAHAGKHSSP 种属同源性预测 |
| 宿主/亚型 | Rabbit / IgG |
| 抗体类别 | Polyclonal |
| 产品类型 | Antibody |
| 全称 | RNA binding motif protein 22 |
| 别名 | 199G4, fSAP47, Pre mRNA splicing factor RBM22, Pre-mRNA-splicing factor RBM22, RNA binding motif protein 22 |
| 计算分子量 | 420 aa, 47 kDa |
| 观测分子量 | 47-50 kDa |
| GenBank蛋白编号 | BC003402 |
| 基因名称 | RBM22 |
| Gene ID (NCBI) | 55696 |
| RRID | AB_2878996 |
| 偶联类型 | Unconjugated |
| 形式 | Liquid |
| 纯化方式 | Antigen affinity purification |
| UNIPROT ID | Q9NW64 |
| 储存缓冲液 | PBS with 0.02% sodium azide and 50% glycerol, pH 7.3. |
| 储存条件 | Store at -20°C. Stable for one year after shipment. Aliquoting is unnecessary for -20oC storage. |
背景介绍
RBM22 is mainly involved in pre-mRNA splicing, playing the essential role of maintaining the conformation of the catalytic core of the spliceosome and acting as a bridge between the catalytic core and other essential protein components of the spliceosome. RBM22 is also involved in gene regulation, and is able to bind DNA, acting as a bona fide transcription factor on a large number of target genes. Due to its wide scope in the regulation of gene expression, RBM22 has been associated with several pathologies and, notably, with the aggressiveness of cancer cells and with the phenotype of a myelodysplastic syndrome. (PMID: 35158909)
实验方案
| Product Specific Protocols | |
|---|---|
| IF protocol for RBM22 antibody 22103-1-AP | Download protocol |
| IHC protocol for RBM22 antibody 22103-1-AP | Download protocol |
| WB protocol for RBM22 antibody 22103-1-AP | Download protocol |
| Standard Protocols | |
|---|---|
| Click here to view our Standard Protocols |
发表文章
| Species | Application | Title |
|---|---|---|
Molecules RNA-Binding Motif Protein 22 Induces Apoptosis via c-Myc Pathway in Colon Cancer Cells | ||
J Adv Res AnnoNet-TCMs: An annotation network-driven discovery of novel active compounds and mechanisms in traditional Chinese medicine. |




