验证数据展示
经过测试的应用
| Positive WB detected in | Jurkat cells, MOLT-4 cells, Raji cells |
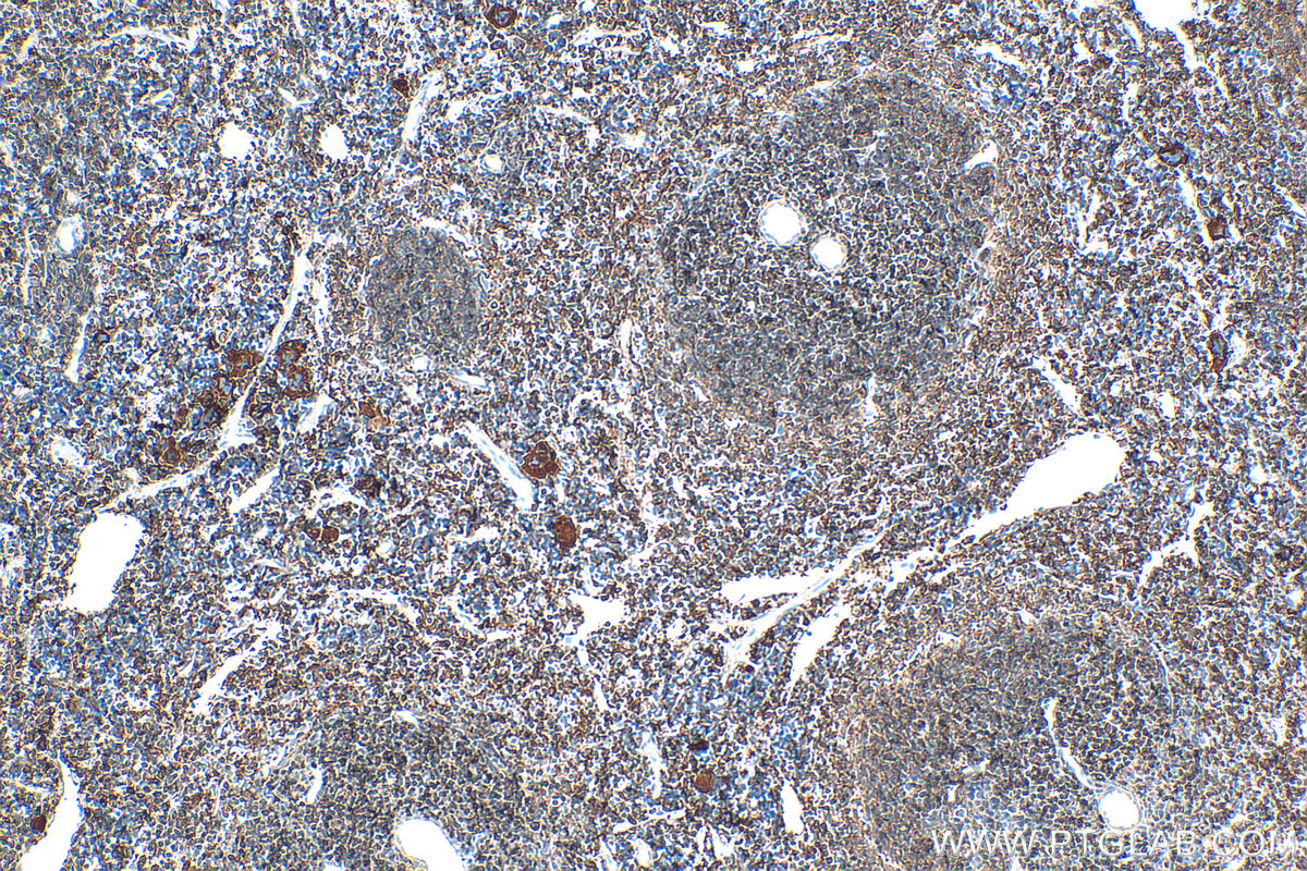
| Positive IHC detected in | mouse spleen tissue Note: suggested antigen retrieval with TE buffer pH 9.0; (*) Alternatively, antigen retrieval may be performed with citrate buffer pH 6.0 |
| Positive IF/ICC detected in | Jurkat cells |
| Positive FC (Intra) detected in | Jurkat cells |
推荐稀释比
| 应用 | 推荐稀释比 |
|---|---|
| Western Blot (WB) | WB : 1:1000-1:6000 |
| Immunohistochemistry (IHC) | IHC : 1:50-1:500 |
| Immunofluorescence (IF)/ICC | IF/ICC : 1:50-1:500 |
| Flow Cytometry (FC) (INTRA) | FC (INTRA) : 0.40 ug per 10^6 cells in a 100 µl suspension |
| It is recommended that this reagent should be titrated in each testing system to obtain optimal results. | |
| Sample-dependent, Check data in validation data gallery. | |
发表文章中的应用
| WB | See 1 publications below |
| CoIP | See 1 publications below |
产品信息
30189-1-AP targets RASGRP2 in WB, IHC, IF/ICC, FC (Intra), CoIP, ELISA applications and shows reactivity with human samples.
| 经测试应用 | WB, IHC, IF/ICC, FC (Intra), ELISA Application Description |
| 文献引用应用 | WB, CoIP |
| 经测试反应性 | human |
| 文献引用反应性 | human |
| 免疫原 |
CatNo: Ag32762 Product name: Recombinant human RASGRP2 protein Source: e coli.-derived, PGEX-4T Tag: GST Domain: 370-609 aa of NM_153819 Sequence: QYQTEDELYQLSLQREPRSKSSPTSPTSCTPPPRPPVLEEWTSAAKPKLDQALVVEHIEKMVESVFRNFDVDGDGHISQEEFQIIRGNFPYLSAFGDLDQNQDGCISREEMVSYFLRSSSVLGGRMGFVHNFQESNSLRPVACRHCKALILGIYKQGLKCRACGVNCHKQCKDRLSVECRRRAQSVSLEGSAPSPSPMHSHHHRAFSFSLPRPGRRGSRPPEIREEEVQTVEDGVFDIHL 种属同源性预测 |
| 宿主/亚型 | Rabbit / IgG |
| 抗体类别 | Polyclonal |
| 产品类型 | Antibody |
| 全称 | RAS guanyl releasing protein 2 (calcium and DAG-regulated) |
| 别名 | Calcium and DAG-regulated guanine nucleotide exchange factor I, CalDAG-GEFI, CDC25L, Cdc25-like protein, F25B3.3 kinase-like protein |
| 计算分子量 | 69kd |
| 观测分子量 | 69 kDa |
| GenBank蛋白编号 | NM_153819 |
| 基因名称 | RASGRP2 |
| Gene ID (NCBI) | 10235 |
| RRID | AB_3086257 |
| 偶联类型 | Unconjugated |
| 形式 | Liquid |
| 纯化方式 | Antigen affinity purification |
| UNIPROT ID | Q7LDG7 |
| 储存缓冲液 | PBS with 0.02% sodium azide and 50% glycerol, pH 7.3. |
| 储存条件 | Store at -20°C. Stable for one year after shipment. Aliquoting is unnecessary for -20oC storage. |
背景介绍
RASGRP2, also named as CDC25L and MCG7, belongs to the RASGRP family. It functions as a calcium- and DAG-regulated nucleotide exchange factor specifically activating Rap through the exchange of bound GDP for GTP. RASGRP2 may also activate other GTPases such as RRAS, RRAS2, NRAS, KRAS but not HRAS. RASGRO2 functions in aggregation of platelets and adhesion of T-lymphocytes and neutrophils probably through inside-out integrin activation. It may function in the muscarinic acetylcholine receptor M1/CHRM1 signaling pathway. The antibody recognizes the C-term of RASGRP2.
实验方案
| Product Specific Protocols | |
|---|---|
| FC protocol for RASGRP2 antibody 30189-1-AP | Download protocol |
| IF protocol for RASGRP2 antibody 30189-1-AP | Download protocol |
| IHC protocol for RASGRP2 antibody 30189-1-AP | Download protocol |
| WB protocol for RASGRP2 antibody 30189-1-AP | Download protocol |
| Standard Protocols | |
|---|---|
| Click here to view our Standard Protocols |



