验证数据展示
经过测试的应用
| Positive WB detected in | HeLa cells, MCF-7 cells |
| Positive IP detected in | HeLa cells |
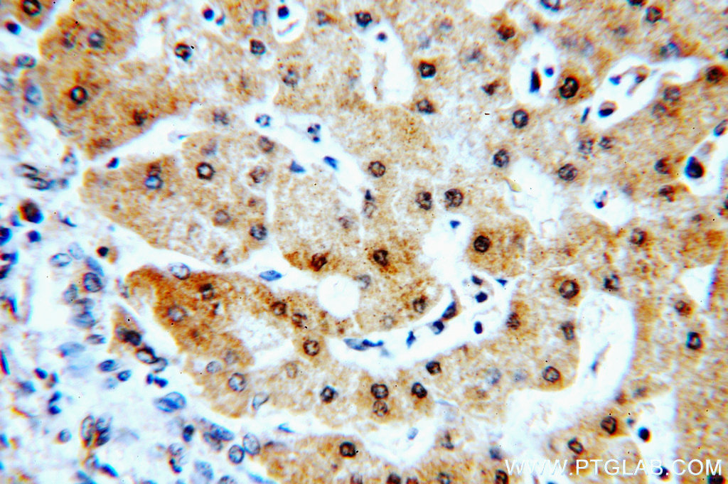
| Positive IHC detected in | human hepatocirrhosis tissue, human placenta tissue Note: suggested antigen retrieval with TE buffer pH 9.0; (*) Alternatively, antigen retrieval may be performed with citrate buffer pH 6.0 |
| Positive IF/ICC detected in | Hela cells |
推荐稀释比
| 应用 | 推荐稀释比 |
|---|---|
| Western Blot (WB) | WB : 1:500-1:2000 |
| Immunoprecipitation (IP) | IP : 0.5-4.0 ug for 1.0-3.0 mg of total protein lysate |
| Immunohistochemistry (IHC) | IHC : 1:20-1:200 |
| Immunofluorescence (IF)/ICC | IF/ICC : 1:10-1:100 |
| It is recommended that this reagent should be titrated in each testing system to obtain optimal results. | |
| Sample-dependent, Check data in validation data gallery. | |
产品信息
13894-1-AP targets RABGAP1L in WB, IHC, IF/ICC, IP, ELISA applications and shows reactivity with human, mouse, rat samples.
| 经测试应用 | WB, IHC, IF/ICC, IP, ELISA Application Description |
| 文献引用应用 | WB, IHC, IF |
| 经测试反应性 | human, mouse, rat |
| 文献引用反应性 | human, mouse, rat |
| 免疫原 |
CatNo: Ag4856 Product name: Recombinant human RABGAP1L protein Source: e coli.-derived, PGEX-4T Tag: GST Domain: 1-355 aa of BC041888 Sequence: MEVRASLQKIVSNGDEQLEKAMEEILRDSEKRPSSLLVDCQSSSEISDHSFGDIPASQTNKPSLQLILDPSNTEISTPRPSSPGGLPEEDSVLFNKLTYLGCMKVSSPRNEVEALRAMATMKSSSQYPFPVTLYVPNVPEGSVRIIDQSSNVEIASFPIYKVLFCARGHDGTTESNCFAFTESSHGSEEFQIHVFSCEIKEAVSRILYSFCTAFKRSSRQVSDVKDSVIPTPDSDVFTFSVSLEVKEDDGKGNFSPVPKDRDKFYFKLKQGIEKKVVITVQQLSNKELAIERCFGMLLSPGRNVKNSDMHLLDMESMGKSYDGRAYVITGMWNPNAPVFLALNEETPKDKQVYMT 种属同源性预测 |
| 宿主/亚型 | Rabbit / IgG |
| 抗体类别 | Polyclonal |
| 产品类型 | Antibody |
| 全称 | RAB GTPase activating protein 1-like |
| 别名 | Rab GTPase-activating protein 1-like, isoform 10 |
| 计算分子量 | 815 aa, 93 kDa |
| 观测分子量 | 93-105 kDa |
| GenBank蛋白编号 | BC041888 |
| 基因名称 | RABGAP1L |
| Gene ID (NCBI) | 9910 |
| RRID | AB_10638308 |
| 偶联类型 | Unconjugated |
| 形式 | Liquid |
| 纯化方式 | Antigen affinity purification |
| UNIPROT ID | Q5R372 |
| 储存缓冲液 | PBS with 0.02% sodium azide and 50% glycerol, pH 7.3. |
| 储存条件 | Store at -20°C. Stable for one year after shipment. Aliquoting is unnecessary for -20oC storage. |
背景介绍
RABGAP1L, also known as TBC1D18, is a member of the Tre2/Bub2/Cdc16 (TBC)-domain-containing protein family. Overexpression of RABGAP1L potentiated the antiviral action of IFN against a panel of viruses, including IAV, and its function required a catalytically active TBC domain.
实验方案
| Product Specific Protocols | |
|---|---|
| IF protocol for RABGAP1L antibody 13894-1-AP | Download protocol |
| IHC protocol for RABGAP1L antibody 13894-1-AP | Download protocol |
| IP protocol for RABGAP1L antibody 13894-1-AP | Download protocol |
| WB protocol for RABGAP1L antibody 13894-1-AP | Download protocol |
| Standard Protocols | |
|---|---|
| Click here to view our Standard Protocols |
发表文章
| Species | Application | Title |
|---|---|---|
Nat Commun The oncogene AAMDC links PI3K-AKT-mTOR signaling with metabolic reprograming in estrogen receptor-positive breast cancer. | ||
Cell Rep Restriction factor screening identifies RABGAP1L-mediated disruption of endocytosis as a host antiviral defense. | ||
J Cell Biol TBC1D18 is a Rab5-GAP that coordinates endosome maturation together with Mon1
| ||
BMC Pregnancy Childbirth Core biomarkers analysis benefit for diagnosis on human intrahepatic cholestasis of pregnancy | ||







