验证数据展示
经过测试的应用
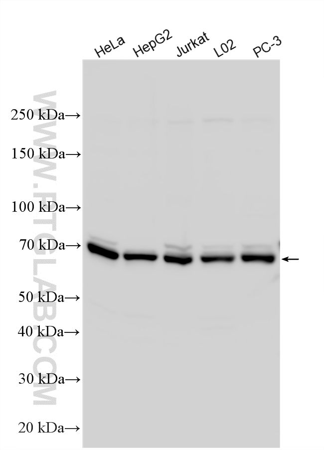
| Positive WB detected in | HepG2 cells, mouse liver tissue, Jurkat cells, L02 cells, PC-3 cells |
| Positive IP detected in | mouse liver tissue |
| Positive IHC detected in | human cervical cancer tissue, human prostate cancer tissue Note: suggested antigen retrieval with TE buffer pH 9.0; (*) Alternatively, antigen retrieval may be performed with citrate buffer pH 6.0 |
| Positive IF/ICC detected in | MCF-7 cells |
推荐稀释比
| 应用 | 推荐稀释比 |
|---|---|
| Western Blot (WB) | WB : 1:1000-1:8000 |
| Immunoprecipitation (IP) | IP : 0.5-4.0 ug for 1.0-3.0 mg of total protein lysate |
| Immunohistochemistry (IHC) | IHC : 1:400-1:1600 |
| Immunofluorescence (IF)/ICC | IF/ICC : 1:200-1:800 |
| It is recommended that this reagent should be titrated in each testing system to obtain optimal results. | |
| Sample-dependent, Check data in validation data gallery. | |
发表文章中的应用
| WB | See 7 publications below |
| IF | See 2 publications below |
产品信息
14625-1-AP targets RABEP2 in WB, IHC, IF/ICC, IP, ELISA applications and shows reactivity with human, mouse, rat samples.
| 经测试应用 | WB, IHC, IF/ICC, IP, ELISA Application Description |
| 文献引用应用 | WB, IF |
| 经测试反应性 | human, mouse, rat |
| 文献引用反应性 | human, mouse |
| 免疫原 |
CatNo: Ag6197 Product name: Recombinant human RABEP2 protein Source: e coli.-derived, PET28a Tag: 6*His Domain: 1-299 aa of BC058900 Sequence: MAAAAPVAADDDERRRRPGAALEDSRSQEGANGEAESGELSRLRAELAGALAEMETMKAVAEVSESTKAEAVAAVQRQCQEEVASLQAILKDSISSYEAQITALKQERQQQQQDCEEKERELGRLKQLLSRAYPLDSLEKQMEKAHEDSEKLREIVLPMEKEIEELKAKLLRAEELIQEIQRRPRHAPSLHGSTELLPLSRDPSPPLEPLEELSGDGGPAAEAFAHNCDDSASISSFSLGGGVGSSSSLPQSRQGLSPEQEETASLVSTGTLVPEGIYLPPPGYQLVPDTQWEQLQTEM 种属同源性预测 |
| 宿主/亚型 | Rabbit / IgG |
| 抗体类别 | Polyclonal |
| 产品类型 | Antibody |
| 全称 | rabaptin, RAB GTPase binding effector protein 2 |
| 别名 | FRA, Rab GTPase-binding effector protein 2, Rabaptin-5beta, RABEP 2, RABPT5B |
| 计算分子量 | 64 kDa |
| 观测分子量 | 59-62 kDa |
| GenBank蛋白编号 | BC058900 |
| 基因名称 | RABEP2 |
| Gene ID (NCBI) | 79874 |
| RRID | AB_2175655 |
| 偶联类型 | Unconjugated |
| 形式 | Liquid |
| 纯化方式 | Antigen affinity purification |
| UNIPROT ID | Q9H5N1 |
| 储存缓冲液 | PBS with 0.02% sodium azide and 50% glycerol, pH 7.3. |
| 储存条件 | Store at -20°C. Stable for one year after shipment. Aliquoting is unnecessary for -20oC storage. |
背景介绍
RABEP2, also named as RABPT5B, plays a role in membrane trafficking and in homotypic early endosome fusion. It has two isoforms with MW 59-63 kDa.
实验方案
| Product Specific Protocols | |
|---|---|
| IF protocol for RABEP2 antibody 14625-1-AP | Download protocol |
| IHC protocol for RABEP2 antibody 14625-1-AP | Download protocol |
| IP protocol for RABEP2 antibody 14625-1-AP | Download protocol |
| WB protocol for RABEP2 antibody 14625-1-AP | Download protocol |
| Standard Protocols | |
|---|---|
| Click here to view our Standard Protocols |
发表文章
| Species | Application | Title |
|---|---|---|
Am J Hum Genet A cross-species approach using an in vivo evaluation platform in mice demonstrates that sequence variation in human RABEP2 modulates ischemic stroke outcomes | ||
Stroke Variants of Rab GTPase-Effector Binding Protein-2 Cause Variation in the Collateral Circulation and Severity of Stroke. | ||
Sci Rep Rab-GTPase binding effector protein 2 (RABEP2) is a primed substrate for Glycogen Synthase kinase-3 (GSK3). | ||
J Mol Cell Cardiol Decreased inspired oxygen stimulates de novo formation of coronary collaterals in adult heart. | ||
J Hematol Oncol LncRNAs H19 and HULC, activated by oxidative stress, promote cell migration and invasion in cholangiocarcinoma through a ceRNA manner. | ||
Arterioscler Thromb Vasc Biol Hypoxia-Preconditioned Bone Marrow Mesenchymal Stem Cells Improved Cerebral Collateral Circulation and Stroke Outcome in Mice |







