验证数据展示
经过测试的应用
| Positive WB detected in | A431 cells, SH-SY5Y cells, mouse brain tissue, rat brain tissue |
| Positive IP detected in | mouse brain tissue, SH-SY5Y cells |
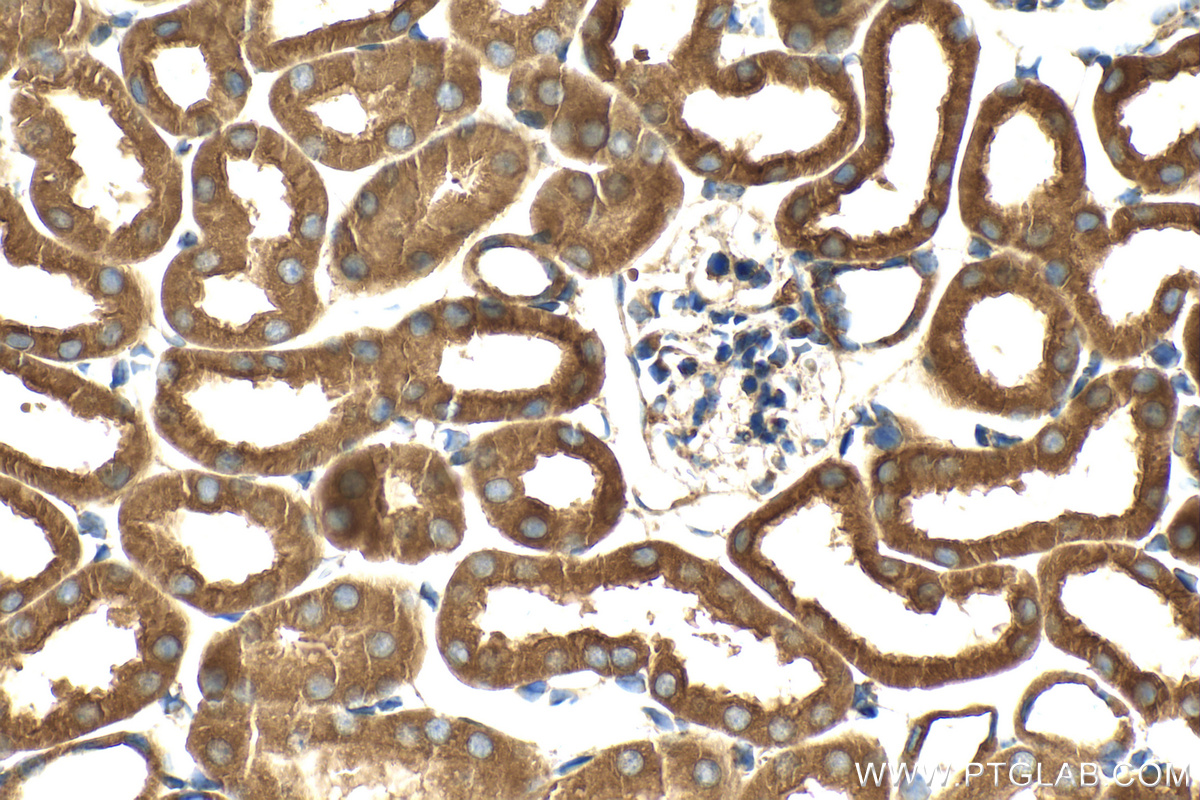
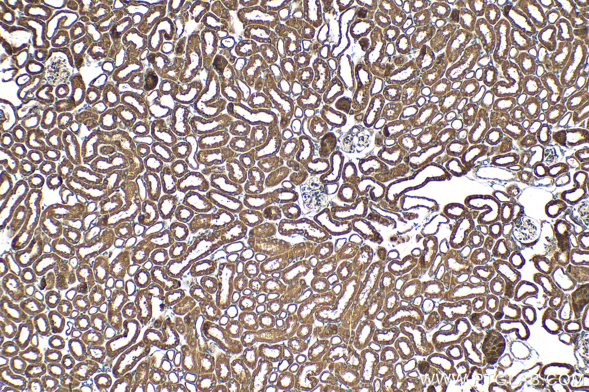
| Positive IHC detected in | mouse kidney tissue Note: suggested antigen retrieval with TE buffer pH 9.0; (*) Alternatively, antigen retrieval may be performed with citrate buffer pH 6.0 |
| Positive IF/ICC detected in | HeLa cells |
推荐稀释比
| 应用 | 推荐稀释比 |
|---|---|
| Western Blot (WB) | WB : 1:5000-1:50000 |
| Immunoprecipitation (IP) | IP : 0.5-4.0 ug for 1.0-3.0 mg of total protein lysate |
| Immunohistochemistry (IHC) | IHC : 1:500-1:2000 |
| Immunofluorescence (IF)/ICC | IF/ICC : 1:200-1:800 |
| It is recommended that this reagent should be titrated in each testing system to obtain optimal results. | |
| Sample-dependent, Check data in validation data gallery. | |
产品信息
RMX00029 targets RAB7A in WB, IHC, IF/ICC, IP, ELISA applications and shows reactivity with human, mouse, rat samples.
| 经测试应用 | WB, IHC, IF/ICC, IP, ELISA Application Description |
| 经测试反应性 | human, mouse, rat |
| 免疫原 |
Peptide 种属同源性预测 |
| 宿主/亚型 | Rabbit / IgG |
| 抗体类别 | Multi-Recombinant |
| 产品类型 | Antibody |
| 全称 | RAB7A, member RAS oncogene family |
| 别名 | RAB7, EC:3.6.5.2, Ras related protein Rab 7a, Ras-related protein Rab-7a |
| 计算分子量 | 23 kDa |
| 观测分子量 | 23 kDa |
| GenBank蛋白编号 | NM_004637 |
| 基因名称 | RAB7A |
| Gene ID (NCBI) | 7879 |
| 偶联类型 | Unconjugated |
| 形式 | Liquid |
| 纯化方式 | N/A |
| UNIPROT ID | P51149 |
| 储存缓冲液 | PBS with 0.02% sodium azide and 50% glycerol. |
| 储存条件 | Store at -20°C. Stable for one year after shipment. Aliquoting is unnecessary for -20oC storage. |
背景介绍
RAB7A, also named as RAB7, belongs to the small GTPase superfamily and Rab family. It is involved in late endocytic transport. RAB7A contributes to the maturation of phagosomes (acidification). Defects in RAB7A are the cause of Charcot-Marie-Tooth disease type 2B (CMT2B). This antibody is specific to RAB7A.
实验方案
| Product Specific Protocols | |
|---|---|
| IF protocol for RAB7A antibody RMX00029 | Download protocol |
| IHC protocol for RAB7A antibody RMX00029 | Download protocol |
| IP protocol for RAB7A antibody RMX00029 | Download protocol |
| WB protocol for RAB7A antibody RMX00029 | Download protocol |
| Standard Protocols | |
|---|---|
| Click here to view our Standard Protocols |





