IHCeasy® RAB7A Ready-To-Use IHC Kit
RAB7A Ready-to-use reagent kit for IHC.
Reactivity
Human, Mouse, Rat
Sample Type
FFPE tissue
Cat no : KHC0700
Synonyms
PRO2706, RAB7, RAB7A, Ras related protein Rab 7a
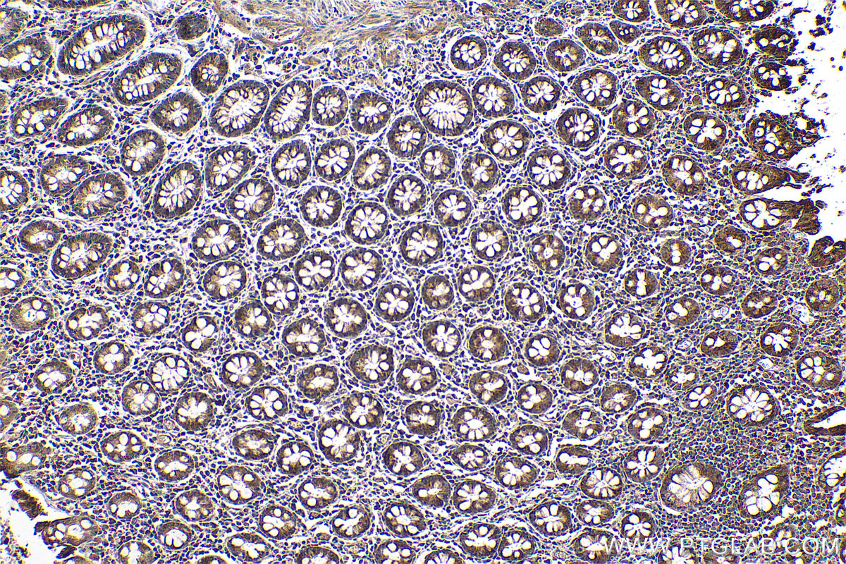
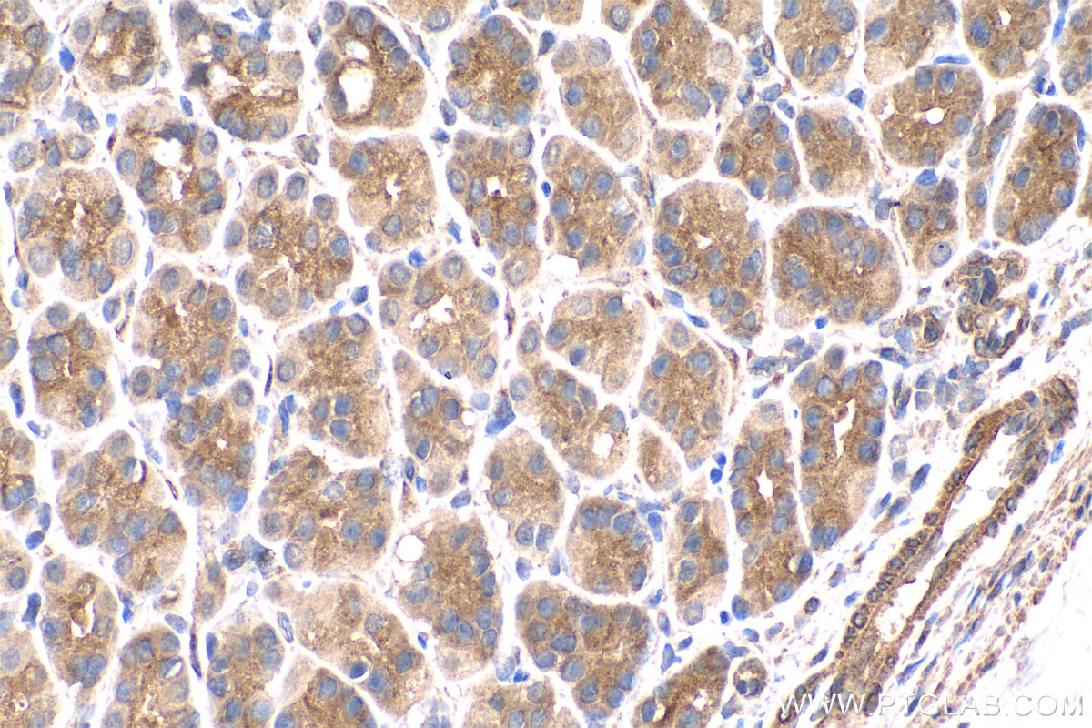
Validation Data Gallery
Product Information
KHC0700 is a ready-to-use IHC kit for staining of RAB7A. The kit provides all reagents, from antigen retrieval to cover slip mounting, that require little to no diluting or handling prior to use. Simply apply the reagents to your sample slide according to the protocol and you're steps away from obtaining high-quality IHC data.
| Product name | IHCeasy RAB7A Ready-To-Use IHC Kit |
| Sample type | FFPE tissue |
| Assay type | Immunohistochemistry |
| Primary antibody type | Rabbit Polyclonal |
| Secondary antibody type | Polymer-HRP-Goat anti-Rabbit |
| Reactivity | Human, Mouse, Rat |
Kit components
| Component | Size | Concentration |
|---|---|---|
| Antigen Retrieval Buffer | 100 mL | 50× |
| Washing Buffer | 100 mL ×2 | 20× |
| Blocking Buffer | 5 mL | RTU |
| Primary Antibody | 5 mL | RTU |
| Secondary Antibody | 5 mL | RTU |
| Chromogen Component A | 0.2 mL | RTU |
| Chromogen Component B | 4 mL | RTU |
| Signal Enhancer | 5 mL | RTU |
| Counter Staining Reagent | 5 mL | RTU |
| Mounting Media | 5 mL | RTU |
| Datasheet | 1 Copy | |
| Manual | 1 Copy |
Background Information
RAB7A, also named as RAB7, belongs to the small GTPase superfamily and Rab family. It is involved in late endocytic transport. RAB7A contributes to the maturation of phagosomes (acidification). Defects in RAB7A are the cause of Charcot-Marie-Tooth disease type 2B (CMT2B). Primary antibody in this kit is specific to RAB7A.
Properties
| Storage Instructions | All the reagents are stored at 2-8°C. The kit is stable for 6 months from the date of receipt. |
| Synonyms | PRO2706, RAB7, RAB7A, Ras related protein Rab 7a |






