验证数据展示
经过测试的应用
| Positive WB detected in | mouse brain tissue, human heart tissue, mouse lung tissue, human brain tissue, mouse heart tissue, rat brain tissue | 
| Positive IP detected in | mouse lung tissue | 
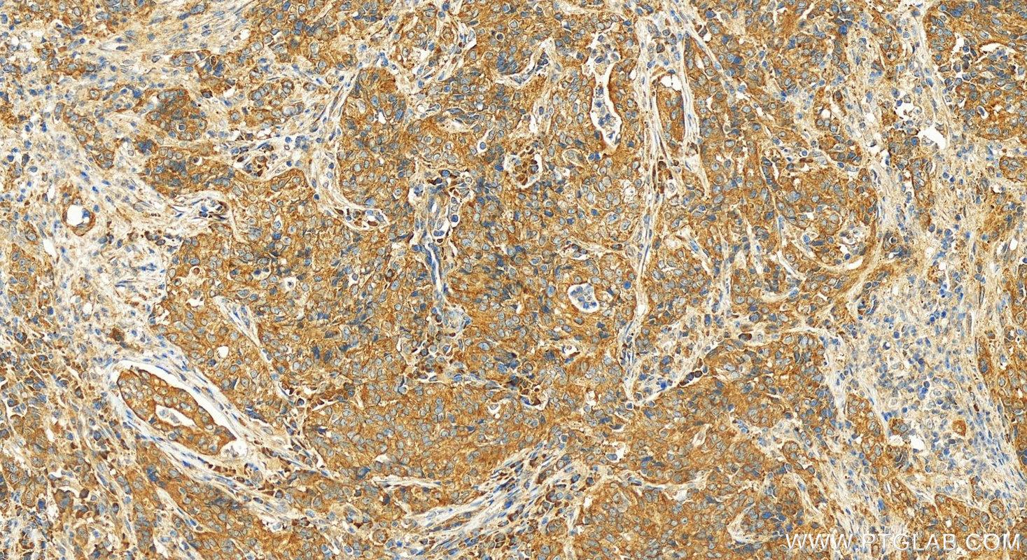
| Positive IHC detected in | human stomach cancer tissue Note: suggested antigen retrieval with TE buffer pH 9.0; (*) Alternatively, antigen retrieval may be performed with citrate buffer pH 6.0 | 
| Positive IF/ICC detected in | HepG2 cells | 
推荐稀释比
| 应用 | 推荐稀释比 | 
|---|---|
| Western Blot (WB) | WB : 1:500-1:3000 | 
| Immunoprecipitation (IP) | IP : 0.5-4.0 ug for 1.0-3.0 mg of total protein lysate | 
| Immunohistochemistry (IHC) | IHC : 1:400-1:1600 | 
| Immunofluorescence (IF)/ICC | IF/ICC : 1:50-1:500 | 
| It is recommended that this reagent should be titrated in each testing system to obtain optimal results. | |
| Sample-dependent, Check data in validation data gallery. | |
产品信息
12321-1-AP targets RAB3IP/Rabin8 in WB, IHC, IF/ICC, IP, ELISA applications and shows reactivity with human, mouse, rat samples.
| 经测试应用 | WB, IHC, IF/ICC, IP, ELISA Application Description | 
| 文献引用应用 | WB, IF, IP | 
| 经测试反应性 | human, mouse, rat | 
| 文献引用反应性 | human, mouse, rat, canine | 
| 免疫原 | CatNo: Ag2974 Product name: Recombinant human RABIN8 protein Source: e coli.-derived, PGEX-4T Tag: GST Domain: 21-254 aa of BC015548 Sequence: GKIDVLQAEVAALKTLVLSSSPTSPTQEPLPGGKTPFKKGHTRNKSTSSAMSGSHQDLSVIQPIVKDCKEADLSLYNEFRLWKDEPTMDRTCPFLDKIYQEDIFPCLTFSKSELASAVLEAVENNTLSIEPVGLQPIRFVKASAVECGGPKKCALTGQSKSCKHRIKLGDSSNYYYISPFCRYRITSVCNFFTYIRYIQQGLVKQQDVDQMFWEVMQLRKEMSLAKLGYFKEEL种属同源性预测 | 
| 宿主/亚型 | Rabbit / IgG | 
| 抗体类别 | Polyclonal | 
| 产品类型 | Antibody | 
| 全称 | RAB3A interacting protein (rabin3) | 
| 别名 | RAB3IP, Rabin8, Rab 3A interacting protein, Rab3A interacting protein, Rab-3A-interacting protein | 
| 计算分子量 | 476 aa, 53 kDa | 
| 观测分子量 | 53/51/43 kDa | 
| GenBank蛋白编号 | BC015548 | 
| 基因名称 | RAB3IP | 
| Gene ID (NCBI) | 117177 | 
| RRID | AB_2177510 | 
| 偶联类型 | Unconjugated | 
| 形式 | Liquid | 
| 纯化方式 | Antigen affinity purification | 
| UNIPROT ID | Q96QF0 | 
| 储存缓冲液 | PBS with 0.02% sodium azide and 50% glycerol, pH 7.3. | 
| 储存条件 | Store at -20°C. Stable for one year after shipment. Aliquoting is unnecessary for -20oC storage. | 
背景介绍
RAB3IP, also hnown as Rabin8, is a deduced 476-amino acid protein containing a central coiled-coil domain, a bipartite nuclear localization signal, and a C-terminal endoplasmic reticulum retention motif. Rabin8 has several sites for N-glycosylation and phosphorylation. Rabin8 plays important roles in various cellular processes, including ciliogenesis.The GEF activity of Rabin8 towards Rab8 is essential for ciliogenesis and cyst apical membrane transport,but not for exocytosis of discoidal/fusiform-shaped vesicles. This antibody can recognize isoforms with predicted MW's of 53 kDa, 51 kDa, 43 kDa, 45 kDa, 33 kDa and 35 kDa, 29 kDa respectively.
实验方案
| Product Specific Protocols | |
|---|---|
| IF protocol for RAB3IP/Rabin8 antibody 12321-1-AP | Download protocol | 
| IHC protocol for RAB3IP/Rabin8 antibody 12321-1-AP | Download protocol | 
| IP protocol for RAB3IP/Rabin8 antibody 12321-1-AP | Download protocol | 
| WB protocol for RAB3IP/Rabin8 antibody 12321-1-AP | Download protocol | 
| Standard Protocols | |
|---|---|
| Click here to view our Standard Protocols | 
发表文章
| Species | Application | Title | 
|---|---|---|
| Nat Cell Biol A molecular network for de novo generation of the apical surface and lumen.
 | ||
| Neuron Chemical genetic identification of NDR1/2 kinase substrates AAK1 and Rabin8 Uncovers their roles in dendrite arborization and spine development. | ||
| J Cell Biol Chibby promotes ciliary vesicle formation and basal body docking during airway cell differentiation. | ||
| EMBO J Phosphoproteomic screening identifies Rab GTPases as novel downstream targets of PINK1. | ||
| EMBO J Insufficiency of ciliary cholesterol in hereditary Zellweger syndrome.
 | 








