验证数据展示
经过测试的应用
| Positive WB detected in | HeLa cells, C6 cells, MCF-7 cells, mouse brain tissue, NIH/3T3 cells, rat brain tissue, MDCK cells |
| Positive IP detected in | mouse brain tissue |
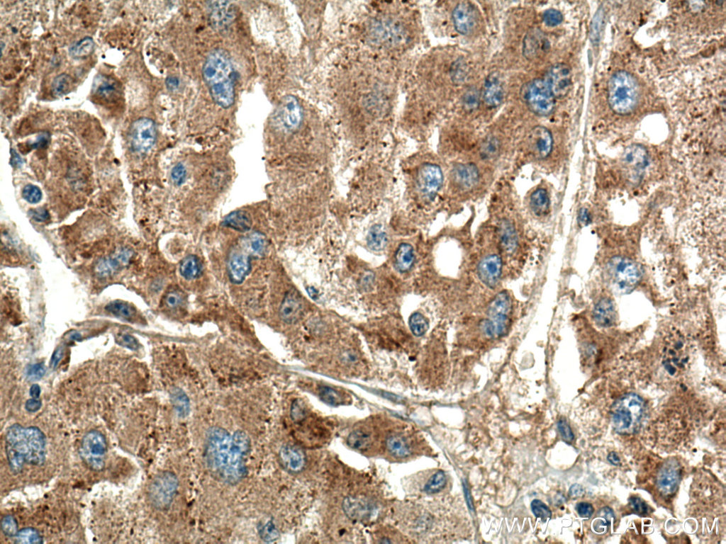
| Positive IHC detected in | human liver cancer tissue Note: suggested antigen retrieval with TE buffer pH 9.0; (*) Alternatively, antigen retrieval may be performed with citrate buffer pH 6.0 |
| Positive IF/ICC detected in | NIH/3T3 cells |
推荐稀释比
| 应用 | 推荐稀释比 |
|---|---|
| Western Blot (WB) | WB : 1:1000-1:6000 |
| Immunoprecipitation (IP) | IP : 0.5-4.0 ug for 1.0-3.0 mg of total protein lysate |
| Immunohistochemistry (IHC) | IHC : 1:50-1:500 |
| Immunofluorescence (IF)/ICC | IF/ICC : 1:200-1:800 |
| It is recommended that this reagent should be titrated in each testing system to obtain optimal results. | |
| Sample-dependent, Check data in validation data gallery. | |
产品信息
11808-1-AP targets RAB10 in WB, IHC, IF/ICC, IP, CoIP, ELISA applications and shows reactivity with human, mouse, rat, canine samples.
| 经测试应用 | WB, IHC, IF/ICC, IP, ELISA Application Description |
| 文献引用应用 | WB, IHC, IF, IP, CoIP |
| 经测试反应性 | human, mouse, rat, canine |
| 文献引用反应性 | human, mouse, rat, pig, zebrafish |
| 免疫原 |
CatNo: Ag2473 Product name: Recombinant human RAB10 protein Source: e coli.-derived, PGEX-4T Tag: GST Domain: 1-200 aa of BC000896 Sequence: MAKKTYDLLFKLLLIGDSGVGKTCVLFRFSDDAFNTTFISTIGIDFKIKTVELQGKKIKLQIWDTAGQERFHTITTSYYRGAMGIMLVYDITNGKSFENISKWLRNIDEHANEDVERMLLGNKCDMDDKRVVPKGKGEQIAREHGIRFFETSAKANINIEKAFLTLAEDILRKTPVKEPNSENVDISSGGGVTGWKSKCC 种属同源性预测 |
| 宿主/亚型 | Rabbit / IgG |
| 抗体类别 | Polyclonal |
| 产品类型 | Antibody |
| 全称 | RAB10, member RAS oncogene family |
| 别名 | EC:3.6.5.2, Ras related protein Rab 10, Ras-related protein Rab-10 |
| 计算分子量 | 200 aa, 23 kDa |
| 观测分子量 | 23 kDa |
| GenBank蛋白编号 | BC000896 |
| 基因名称 | RAB10 |
| Gene ID (NCBI) | 10890 |
| RRID | AB_2173442 |
| 偶联类型 | Unconjugated |
| 形式 | Liquid |
| 纯化方式 | Antigen affinity purification |
| UNIPROT ID | P61026 |
| 储存缓冲液 | PBS with 0.02% sodium azide and 50% glycerol, pH 7.3. |
| 储存条件 | Store at -20°C. Stable for one year after shipment. Aliquoting is unnecessary for -20oC storage. |
背景介绍
RAB10 belongs to the RAS superfamily of small GTPases. RAB10 localizes to a system of tubules and vesicles, and it may be involved in vesicular trafficking and neurotransmitter release. It is also associated with Glut4 translocation in adipocytes.
实验方案
| Product Specific Protocols | |
|---|---|
| IF protocol for RAB10 antibody 11808-1-AP | Download protocol |
| IHC protocol for RAB10 antibody 11808-1-AP | Download protocol |
| IP protocol for RAB10 antibody 11808-1-AP | Download protocol |
| WB protocol for RAB10 antibody 11808-1-AP | Download protocol |
| Standard Protocols | |
|---|---|
| Click here to view our Standard Protocols |
发表文章
| Species | Application | Title |
|---|---|---|
Cell Res MARCKS regulates membrane targeting of Rab10 vesicles to promote axon development. | ||
Nat Commun Myosin Vb controls biogenesis of post-Golgi Rab10 carriers during axon development. | ||
Proc Natl Acad Sci U S A Ras-related protein Rab10 facilitates TLR4 signaling by promoting replenishment of TLR4 onto the plasma membrane. | ||
Curr Biol Stretch triggers microtubule stabilization and MARCKS-dependent membrane incorporation in the shaft of embryonic axons | ||
Int J Biol Macromol Dihydroartemisinin requires NR1D1 mediated Rab7 ubiquitination to regulate hepatic stellate cells lipophagy in liver fibrosis | ||
Elife Rab10 regulates neuropeptide release by maintaining Ca2+ homeostasis and protein synthesis |










