验证数据展示
经过测试的应用
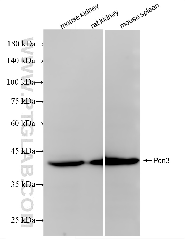
| Positive WB detected in | mouse kidney tissue, rat kidney tissue, mouse spleen tissue |
推荐稀释比
| 应用 | 推荐稀释比 |
|---|---|
| Western Blot (WB) | WB : 1:5000-1:50000 |
| It is recommended that this reagent should be titrated in each testing system to obtain optimal results. | |
| Sample-dependent, Check data in validation data gallery. | |
产品信息
86577-1-RR targets Pon3 in WB, ELISA applications and shows reactivity with mouse, rat samples.
| 经测试应用 | WB, ELISA Application Description |
| 经测试反应性 | mouse, rat |
| 免疫原 |
CatNo: Eg2743 Product name: Recombinant Mouse Pon3 protein (rFc Tag) Source: mammalian cells-derived, V37 Tag: C-rFc Domain: 20-354 aa of NM_173006.1 Sequence: RLLNFRERVSTTREIKATEPQNCHLIEGLENGSEDIDILPSGLAFISTGLKYPGMPAFAPDKPGRIFLMDLNEQNPEAQALEISGGLDQESLNPHGISTFIDKDNTAYLYVVNHPNMDSTVEIFKFEEQQRSLIHLKTLKHELLKSVNDIVVLGPEQFYATRDHYFTSYFLVLLEMILDPHWTSVVFYSPKEVKVVAQGFSSANGITVSLDQKFVYVADVTAKNIHIMKKHDNWDLTPVKVIQLGTLVDNLTVDPATGDILAGCHPNPMKLLIYNPEDPPGSEVLRIQDSLSDKPRVSTLYANNGSVLQGSTVASVYHKRMLIGTIFHKALYCDL 种属同源性预测 |
| 宿主/亚型 | Rabbit / IgG |
| 抗体类别 | Recombinant |
| 产品类型 | Antibody |
| 全称 | paraoxonase 3 |
| 别名 | EC:3.1.8.1, Paraoxanase-3, Serum paraoxonase/lactonase 3 |
| 计算分子量 | 39 kDa |
| 观测分子量 | 40 kDa |
| GenBank蛋白编号 | NM_173006.1 |
| 基因名称 | Pon3 |
| Gene ID (NCBI) | 269823 |
| 偶联类型 | Unconjugated |
| 形式 | Liquid |
| 纯化方式 | Protein A purification |
| UNIPROT ID | Q62087 |
| 储存缓冲液 | PBS with 0.02% sodium azide and 50% glycerol, pH 7.3. |
| 储存条件 | Store at -20°C. Stable for one year after shipment. Aliquoting is unnecessary for -20oC storage. |
背景介绍
PON3 (paraoxonase 3) is a member of the paraoxonase gene family and shares high homology with PON1 and PON2. The PON3 protein is primarily synthesized by the liver and can bind to high-density lipoprotein (HDL), where it exerts antioxidant functions. PON3 can prevent the oxidation of low-density lipoprotein (LDL) and disrupt bacterial quorum-sensing molecules. Additionally, PON3 is expressed in mouse models of Alzheimer's disease (AD), with positive staining for PON3 detected in astrocytes surrounding Aβ plaques. These findings suggest that PON3 plays an important role in antioxidant stress and lipid peroxidation and may have potential protective effects on pathological processes such as neurodegenerative diseases and atherosclerosis.
实验方案
| Product Specific Protocols | |
|---|---|
| WB protocol for Pon3 antibody 86577-1-RR | Download protocol |
| Standard Protocols | |
|---|---|
| Click here to view our Standard Protocols |
