验证数据展示
经过测试的应用
| Positive WB detected in | human plasma tissue, Raji cells |
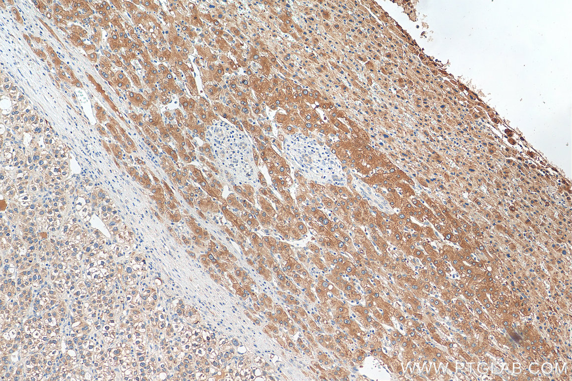
| Positive IHC detected in | human liver cancer tissue Note: suggested antigen retrieval with TE buffer pH 9.0; (*) Alternatively, antigen retrieval may be performed with citrate buffer pH 6.0 |
推荐稀释比
| 应用 | 推荐稀释比 |
|---|---|
| Western Blot (WB) | WB : 1:5000-1:20000 |
| Immunohistochemistry (IHC) | IHC : 1:200-1:800 |
| It is recommended that this reagent should be titrated in each testing system to obtain optimal results. | |
| Sample-dependent, Check data in validation data gallery. | |
产品信息
26768-1-AP targets Plasminogen in WB, IHC, ELISA applications and shows reactivity with human samples.
| 经测试应用 | WB, IHC, ELISA Application Description |
| 经测试反应性 | human |
| 免疫原 |
CatNo: Ag25243 Product name: Recombinant human PLG protein Source: e coli.-derived, PET30a Tag: 6*His Domain: 17-231 aa of BC060513 Sequence: GQGEPLDDYVNTQGASLFSVTKKQLGAGSIEECAAKCEEDEEFTCRAFQYHSKEQQCVIMAENRKSSIIIRMRDVVLFEKKVYLSECKTGNGKNYRGTMSKTKNGITCQKWSSTSPHRPRFSPATHPSEGLEENYCRNPDNDPQGPWCYTTDPEKRYDYCDILECEEECMHCSGENYDGKISKTMSGLECQAWDSQSPHAHGYIPSKFPNKNLKK 种属同源性预测 |
| 宿主/亚型 | Rabbit / IgG |
| 抗体类别 | Polyclonal |
| 产品类型 | Antibody |
| 全称 | plasminogen |
| 别名 | Angiostatin, plasminogen, PLG |
| 计算分子量 | 810 aa, 91 kDa |
| 观测分子量 | 91 kDa |
| GenBank蛋白编号 | BC060513 |
| 基因名称 | Plasminogen |
| Gene ID (NCBI) | 5340 |
| RRID | AB_2880627 |
| 偶联类型 | Unconjugated |
| 形式 | Liquid |
| 纯化方式 | Antigen affinity purification |
| UNIPROT ID | P00747 |
| 储存缓冲液 | PBS with 0.02% sodium azide and 50% glycerol, pH 7.3. |
| 储存条件 | Store at -20°C. Stable for one year after shipment. Aliquoting is unnecessary for -20oC storage. |
背景介绍
Plasminogen is a secreted blood zymogen that is activated by proteolysis and converted to plasmin and angiostatin. Plasminogen plays an important role in fibrinolysis as well as wound healing, cell migration, tissue modeling and angiogenesis. Plasminogen is synthesized in the liver, and it circulates in the blood, with a half-life of 2.2 days. Plasminogen is the precursor of plasmin, which lyses fibrin clots to fibrin degradation products (FDP) and D-dimer; the conversion to active protease is mediated by tissue-type (tPA) and urokinase-type (uPA) plasminogen activators. Defects in plasminogen are likely a cause of thrombophilia and ligneous conjunctivitis.
实验方案
| Product Specific Protocols | |
|---|---|
| IHC protocol for Plasminogen antibody 26768-1-AP | Download protocol |
| WB protocol for Plasminogen antibody 26768-1-AP | Download protocol |
| Standard Protocols | |
|---|---|
| Click here to view our Standard Protocols |



