验证数据展示
经过测试的应用
| Positive WB detected in | IFN gamma treated HeLa cells |
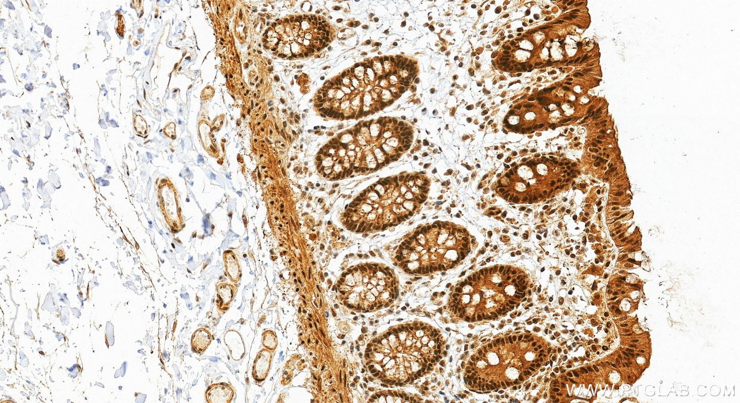
| Positive IHC detected in | human colon tissue Note: suggested antigen retrieval with TE buffer pH 9.0; (*) Alternatively, antigen retrieval may be performed with citrate buffer pH 6.0 |
| Positive ChIP-qPCR detected in | IFN-γ (50 ng/ml, 30 min) HT-1080 cells |
推荐稀释比
| 应用 | 推荐稀释比 |
|---|---|
| Western Blot (WB) | WB : 1:1000-1:4000 |
| Immunohistochemistry (IHC) | IHC : 1:200-1:800 |
| CHIP-QPCR | CHIP-QPCR : 1:10-1:100 |
| It is recommended that this reagent should be titrated in each testing system to obtain optimal results. | |
| Sample-dependent, Check data in validation data gallery. | |
发表文章中的应用
| WB | See 1 publications below |
产品信息
80683-7-RR targets Phospho-STAT1 (Ser727) in WB, IHC, ELISA, ChIP-qPCR applications and shows reactivity with human samples.
| 经测试应用 | WB, IHC, ELISA, ChIP-qPCR Application Description |
| 文献引用应用 | WB |
| 经测试反应性 | human |
| 文献引用反应性 | human |
| 免疫原 |
Peptide 种属同源性预测 |
| 宿主/亚型 | Rabbit / IgG |
| 抗体类别 | Recombinant |
| 产品类型 | Antibody |
| 全称 | signal transducer and activator of transcription 1, 91kDa |
| 别名 | p Stat1 (S727), Phospho STAT1, Phospho STAT1 (Ser727), phospho-S727 STAT1, phospho-STAT1 |
| 计算分子量 | 83 kDa |
| 观测分子量 | 84-91 kDa |
| GenBank蛋白编号 | BC002704 |
| 基因名称 | STAT1 |
| Gene ID (NCBI) | 6772 |
| RRID | AB_3670483 |
| 偶联类型 | Unconjugated |
| 形式 | Liquid |
| 纯化方式 | Protein A purfication |
| UNIPROT ID | P42224 |
| 储存缓冲液 | PBS with 0.02% sodium azide and 50% glycerol, pH 7.3. |
| 储存条件 | Store at -20°C. Stable for one year after shipment. Aliquoting is unnecessary for -20oC storage. |
背景介绍
STAT1 (signal transducers and activators of transcription 1) is a member of the STAT protein family. STAT family members are phosphorylated by the receptor associated kinases, and then form homo-or heterodimers that translocate to the cell nucleus where they act as transcription activators. STAT1 activating phosphorylation at Ser727 is p38-dependant duringlipotoxic stress. MLK3 activation triggers a MAPK signaling cascade resulting in STAT1 Ser727 phosphorylation. The phosphorylation of STAT1 Ser727 increases its nuclear localization, and transcriptional activity. (PMID: 28262979).
实验方案
| Product Specific Protocols | |
|---|---|
| IHC protocol for Phospho-STAT1 (Ser727) antibody 80683-7-RR | Download protocol |
| WB protocol for Phospho-STAT1 (Ser727) antibody 80683-7-RR | Download protocol |
| Standard Protocols | |
|---|---|
| Click here to view our Standard Protocols |


