验证数据展示
经过测试的应用
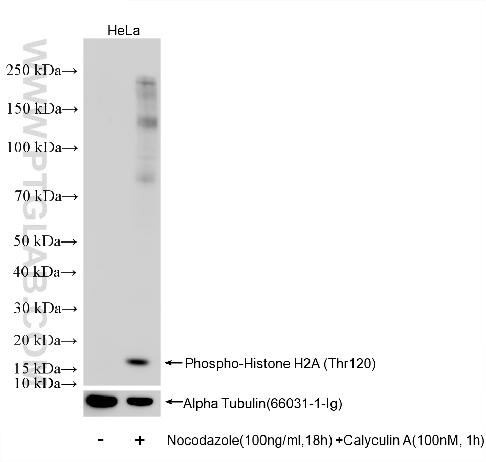
| Positive WB detected in | Nocodazole and Calyculin A treated HeLa cells |
| Positive ChIP-qPCR detected in | Nocodazole (100 ng/ml) for 16 h HeLa cells |
推荐稀释比
| 应用 | 推荐稀释比 |
|---|---|
| Western Blot (WB) | WB : 1:2000-1:10000 |
| CHIP-QPCR | CHIP-QPCR : 1:10-1:100 |
| It is recommended that this reagent should be titrated in each testing system to obtain optimal results. | |
| Sample-dependent, Check data in validation data gallery. | |
产品信息
83041-8-RR targets Phospho-Histone H2A (Thr120) in WB, ELISA, ChIP-qPCR applications and shows reactivity with human samples.
| 经测试应用 | WB, ELISA, ChIP-qPCR Application Description |
| 经测试反应性 | human |
| 免疫原 |
Peptide 种属同源性预测 |
| 宿主/亚型 | Rabbit / IgG |
| 抗体类别 | Recombinant |
| 产品类型 | Antibody |
| 全称 | histone cluster 1, H2ae |
| 别名 | H2A, Histone H2A (Thr120), p Histone H2A, p Histone H2A (Thr120), p Histone H2A Thr120 |
| 计算分子量 | 14 kDa |
| 观测分子量 | 15 kDa |
| GenBank蛋白编号 | BC093836 |
| 基因名称 | HIST1H2AE |
| Gene ID (NCBI) | 3012 |
| 偶联类型 | Unconjugated |
| 形式 | Liquid |
| 纯化方式 | Protein A purification |
| UNIPROT ID | P04908 |
| 储存缓冲液 | PBS with 0.02% sodium azide and 50% glycerol, pH 7.3. |
| 储存条件 | Store at -20°C. Stable for one year after shipment. Aliquoting is unnecessary for -20oC storage. |
背景介绍
Phospho-Histone H2A (Thr120) refers to the phosphorylation of threonine 120 on histone H2A, a modification that is increasingly recognized for its roles in chromatin organization, gene regulation, and disease development, particularly in oncogenesis and bone remodeling. The phosphorylation is predominantly associated with gene silencing. High levels of H2AT120p correlate with increased cell proliferation, tumor growth, and poor prognosis, underscoring its role as an oncogenic signal.
实验方案
| Product Specific Protocols | |
|---|---|
| WB protocol for Phospho-Histone H2A (Thr120) antibody 83041-8-RR | Download protocol |
| Standard Protocols | |
|---|---|
| Click here to view our Standard Protocols |

