Phospho-FOXO1 (Ser319) Recombinant monoclonal antibody

Phospho-FOXO1 (Ser319) Uni-rAb® Recombinant Antibody for WB, ELISA
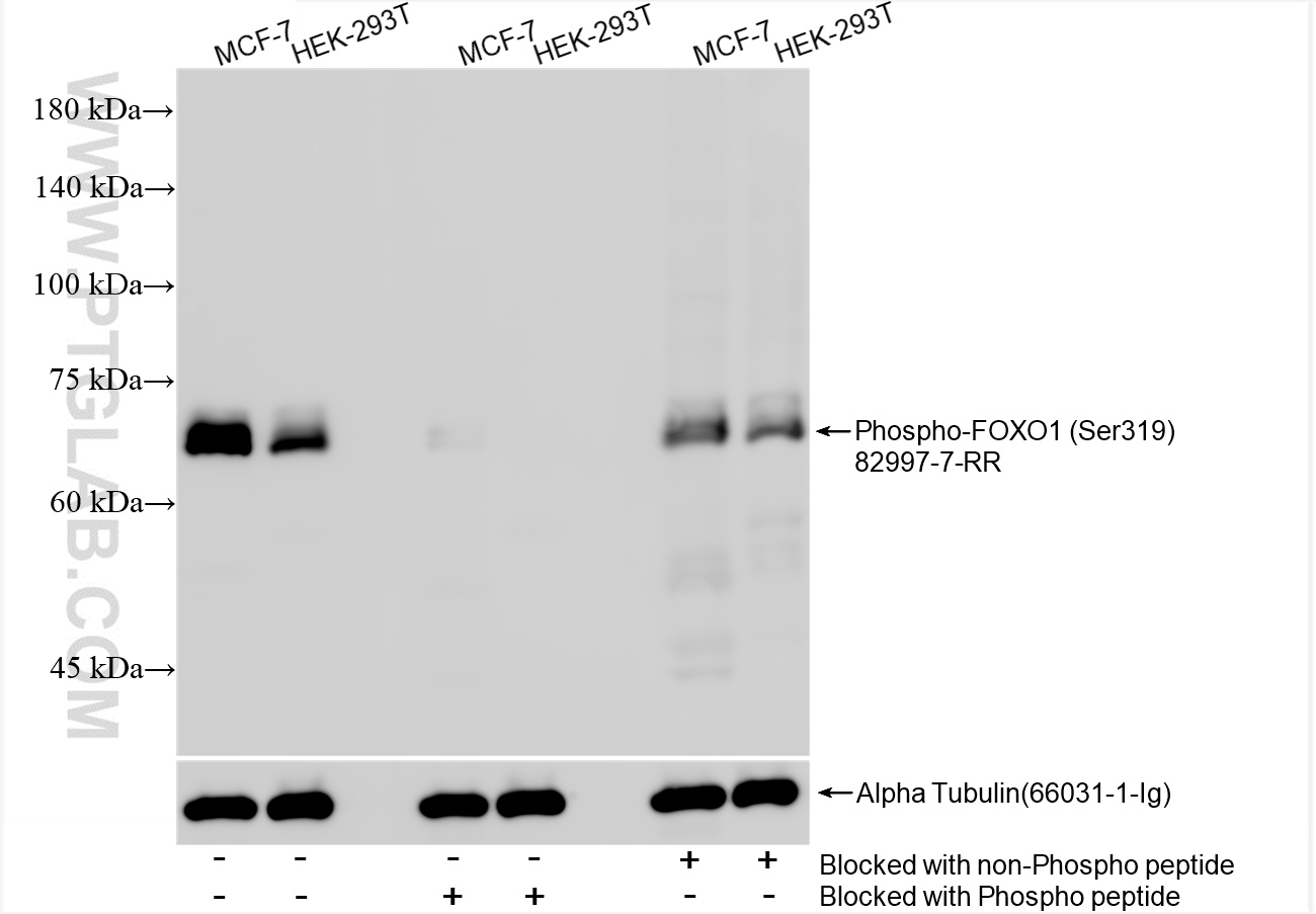
Cat No. 82997-7-RR

产品说明书

CloneNo. 250275C3

宿主/亚型

Rabbit / IgG

种属反应性

human

应用

WB, ELISA

FOXO1 (Ser319), p FOXO1 (Ser319), p-FOXO1, p-FOXO1 (Ser319), p-FOXO1(Ser319)

缓冲液配方:  PBS, Azide, Glycerol
PBS, Azide, Glycerol
PBS Only
偶联物:  Unconjugated
Unconjugated
规格价格库存


经过测试的应用

Positive WB detected inMCF-7 cells
Planning an IHC experiment? We recommend our IHCeasy FOXO1 Ready-To-Use IHC Kit. FOXO1 primary antibody included.

推荐稀释比

应用推荐稀释比
Western Blot (WB)WB : 1:2000-1:10000
It is recommended that this reagent should be titrated in each testing system to obtain optimal results.
Sample-dependent, Check data in validation data gallery.

产品信息

82997-7-RR targets Phospho-FOXO1 (Ser319) in WB, ELISA applications and shows reactivity with human samples.

经测试应用 WB, ELISA Application Description
经测试反应性 human
免疫原

Peptide

种属同源性预测
宿主/亚型 Rabbit / IgG
抗体类别 Recombinant
产品类型 Antibody
全称 forkhead box O1
别名 FOXO1 (Ser319), p FOXO1 (Ser319), p-FOXO1, p-FOXO1 (Ser319), p-FOXO1(Ser319)
计算分子量 655 aa, 70 kDa
观测分子量 70-80 kDa
GenBank蛋白编号BC021981
基因名称 FOXO1
Gene ID (NCBI) 2308
偶联类型 Unconjugated
形式Liquid
纯化方式Protein A purification
UNIPROT IDQ12778
储存缓冲液 PBS with 0.02% sodium azide and 50% glycerol, pH 7.3.
储存条件Store at -20°C. Stable for one year after shipment. Aliquoting is unnecessary for -20oC storage.

背景介绍

The forkhead box class O (FoxO) family in mammals is comprised of the evolutionally highly conserved forkhead transcription factors, FoxO1, FoxO3a, FoxO4, and FoxO6. FoxO1 is highly expressed in lymphoid cells, especially in T and B cells. FoxO1 phosphorylation determines the transcriptional activity and cellular localization of FoxO1. Results showed that GLK-IKKβ signaling triggered the nuclear export of FoxO1. (PMID: 35966593)

Loading...
||
New chat Able
正在加载,请稍候...