IHCeasy® FOXO1 Ready-To-Use IHC Kit
FOXO1 Ready-to-use reagent kit for IHC.
Reactivity
Human, Mouse, Rat
Sample Type
FFPE tissue
Cat no : KHC0328
Synonyms
FKH1, FKHR, forkhead box O1, Forkhead box protein O1, Forkhead box protein O1A, Forkhead in rhabdomyosarcoma, FOXO1, FOXO1A
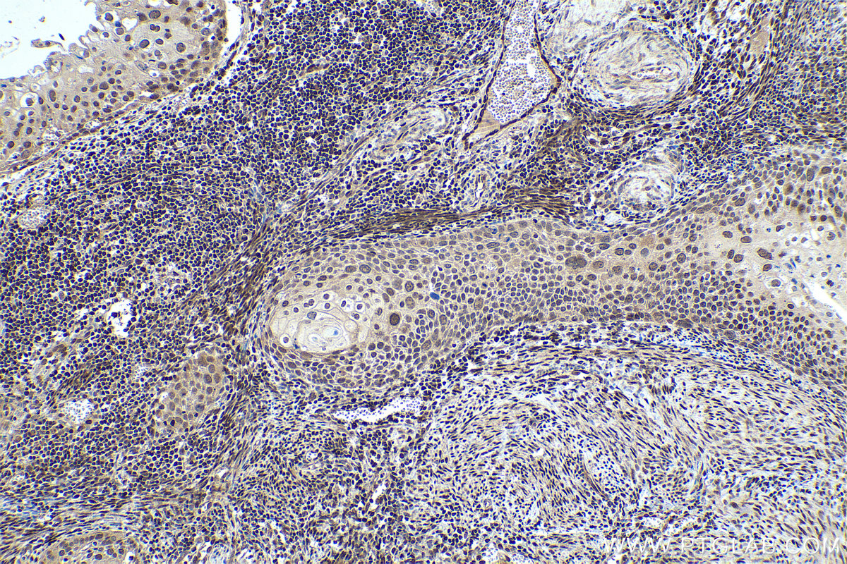
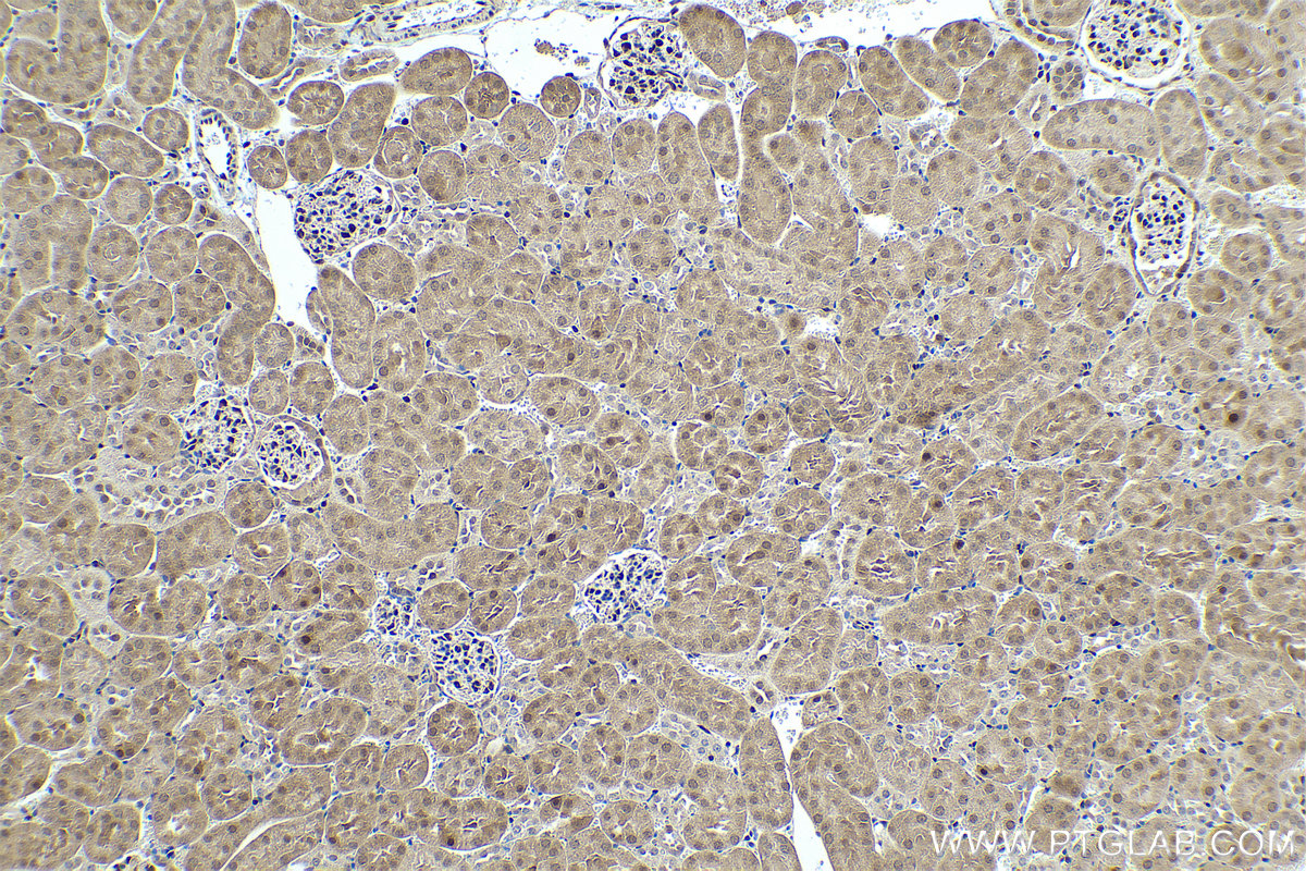
Validation Data Gallery
Product Information
KHC0328 is a ready-to-use IHC kit for staining of FOXO1. The kit provides all reagents, from antigen retrieval to cover slip mounting, that require little to no diluting or handling prior to use. Simply apply the reagents to your sample slide according to the protocol and you're steps away from obtaining high-quality IHC data.
| Product name | IHCeasy FOXO1 Ready-To-Use IHC Kit |
| Sample type | FFPE tissue |
| Assay type | Immunohistochemistry |
| Primary antibody type | Rabbit Polyclonal |
| Secondary antibody type | Polymer-HRP-Goat anti-Rabbit |
| Reactivity | Human, Mouse, Rat |
Kit components
| Component | Size | Concentration |
|---|---|---|
| Antigen Retrieval Buffer | 100 mL | 50× |
| Washing Buffer | 100 mL ×2 | 20× |
| Blocking Buffer | 5 mL | RTU |
| Primary Antibody | 5 mL | RTU |
| Secondary Antibody | 5 mL | RTU |
| Chromogen Component A | 0.2 mL | RTU |
| Chromogen Component B | 4 mL | RTU |
| Signal Enhancer | 5 mL | RTU |
| Counter Staining Reagent | 5 mL | RTU |
| Mounting Media | 5 mL | RTU |
| Datasheet | 1 Copy | |
| Manual | 1 Copy |
Background Information
FOXO1, also named as FOXO1A, FKHR and FKH1, is a member of the FOXO subfamily of Forkhead transcription factors. FOXO1 is a transcription factor which acts as a regulator of cell responses to oxidative stress. FOXO1 interacts with LRPPRC and SIRT1. In the presence of KIRT1, FOXO1 mediates down-regulation of cyclin D1 and up-regulation of CDKN1B levels which are required for cell transition from proliferative growth to quiescence. FOXO1 contains three predicted protein kinase B phosphorylation sites (Thr-24, Ser-256, and Ser-319) that are conserved in other FOXO proteins. The t(2;13) and the variant t(1;13) translocations generate PAX3/FKHR and PAX7/FKHR fusion proteins respectively. The resulting protein is a transcriptional activator. Defects in FOXO1 are a cause of rhabdomyosarcoma type 2 (RMS2).
Properties
| Storage Instructions | All the reagents are stored at 2-8°C. The kit is stable for 6 months from the date of receipt. |
| Synonyms | FKH1, FKHR, forkhead box O1, Forkhead box protein O1, Forkhead box protein O1A, Forkhead in rhabdomyosarcoma, FOXO1, FOXO1A |







