验证数据展示
产品信息
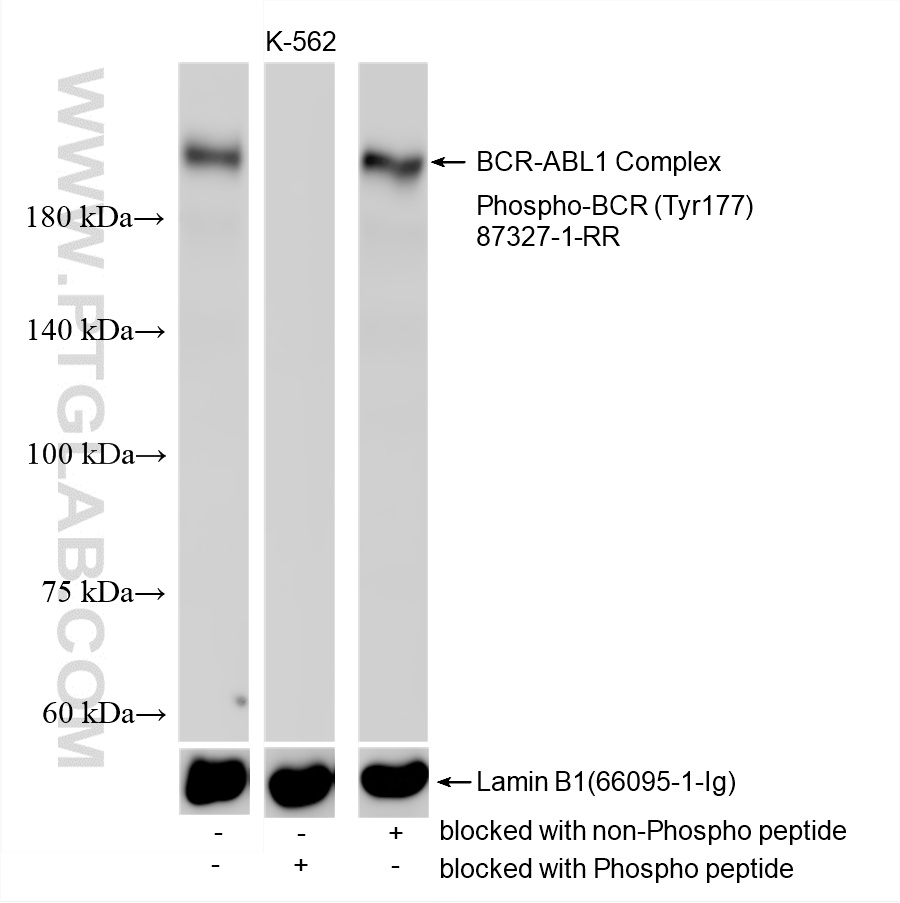
87327-1-PBS targets Phospho-BCR (Tyr177) in WB, Indirect ELISA applications and shows reactivity with human samples.
| 经测试应用 | WB, Indirect ELISA Application Description |
| 经测试反应性 | human |
| 免疫原 |
Peptide 种属同源性预测 |
| 宿主/亚型 | Rabbit / IgG |
| 抗体类别 | Recombinant |
| 产品类型 | Antibody |
| 全称 | breakpoint cluster region |
| 别名 | BCR (Tyr177), p-BCR (Tyr177), p-BCR (Y177), p-BCR Tyr177, Phospho BCR (Tyr177) |
| 计算分子量 | 143 kDa |
| 观测分子量 | 210 kDa |
| GenBank蛋白编号 | NM_004327 |
| 基因名称 | BCR |
| Gene ID (NCBI) | 613 |
| 偶联类型 | Unconjugated |
| 形式 | Liquid |
| 纯化方式 | Protein A purification |
| UNIPROT ID | P11274 |
| 储存缓冲液 | PBS only, pH 7.3. |
| 储存条件 | Store at -80°C. The product is shipped with ice packs. Upon receipt, store it immediately at -80°C |
背景介绍
The Bcr gene, mapping on chromosome22, was orginally identified by its presence in the chimeric Bcr-Abl oncogene. The aminoterminal BCR-encoded sequences of BCR-ABL contain a tyrosine-phosphorylated site that binds the SH2 domain of the adaptor protein GRB2. It is now evident that the phosphorylation of BCR Tyr177 is essential for BCR-ABL-mediated leukemogenesis, and its mutation largely abolishes GRB2 binding and diminishes BCR-ABL-induced Ras activation. (PMID: 22156549)
