验证数据展示
经过测试的应用
| Positive WB detected in | HaCaT cells, A431 cells, HT-29 cells, mouse skin tissue, rat skin tissue, rat colon tissue |
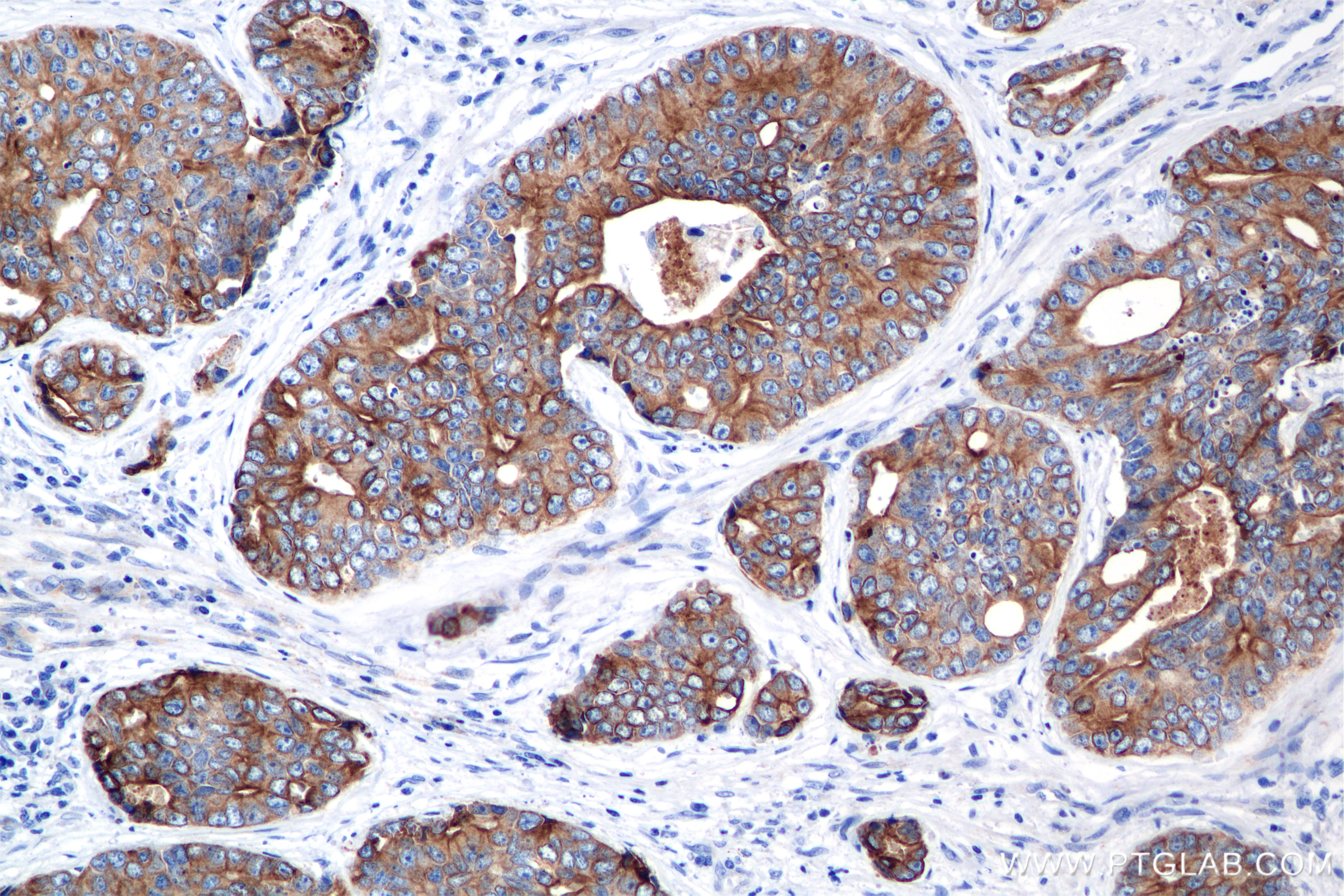
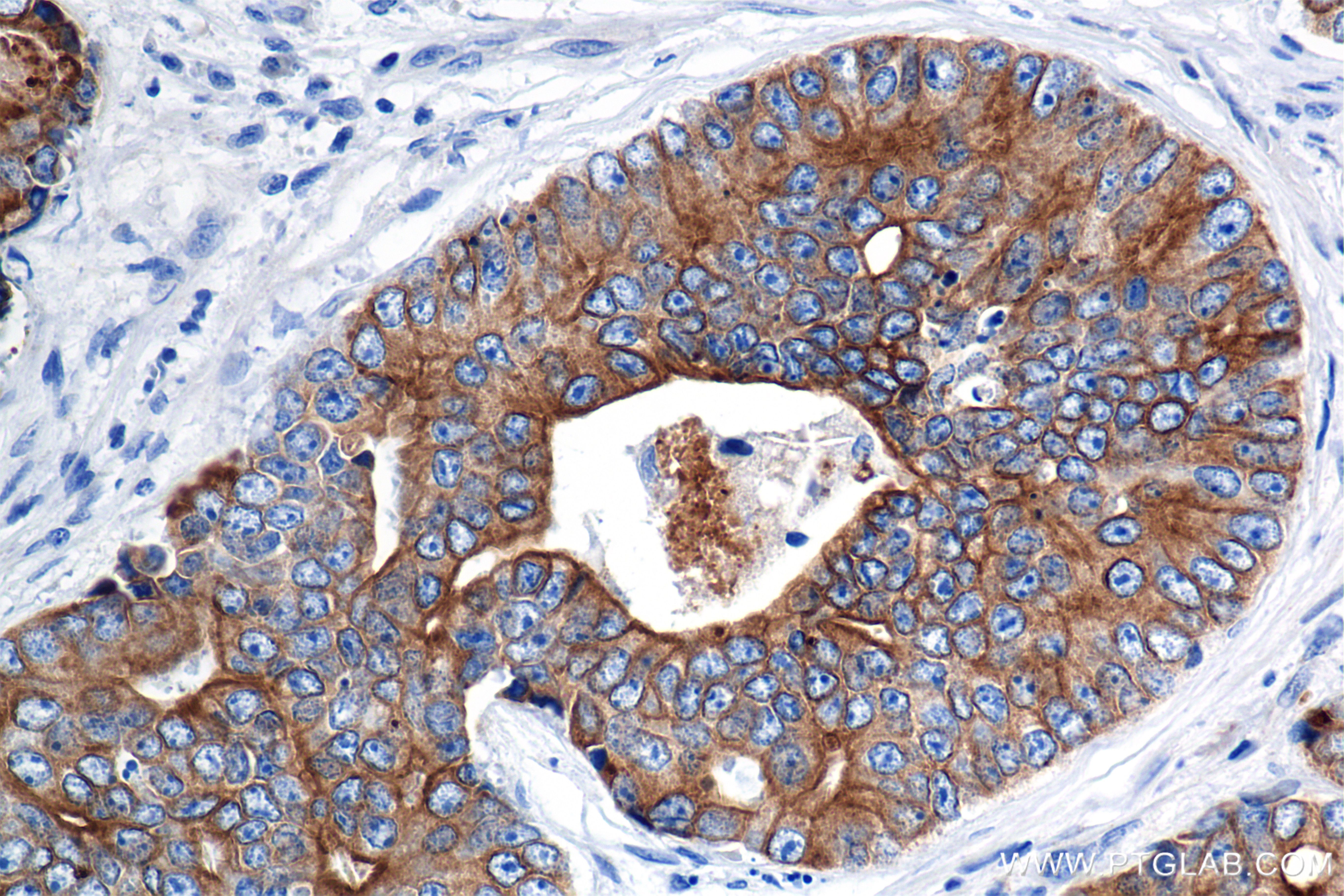
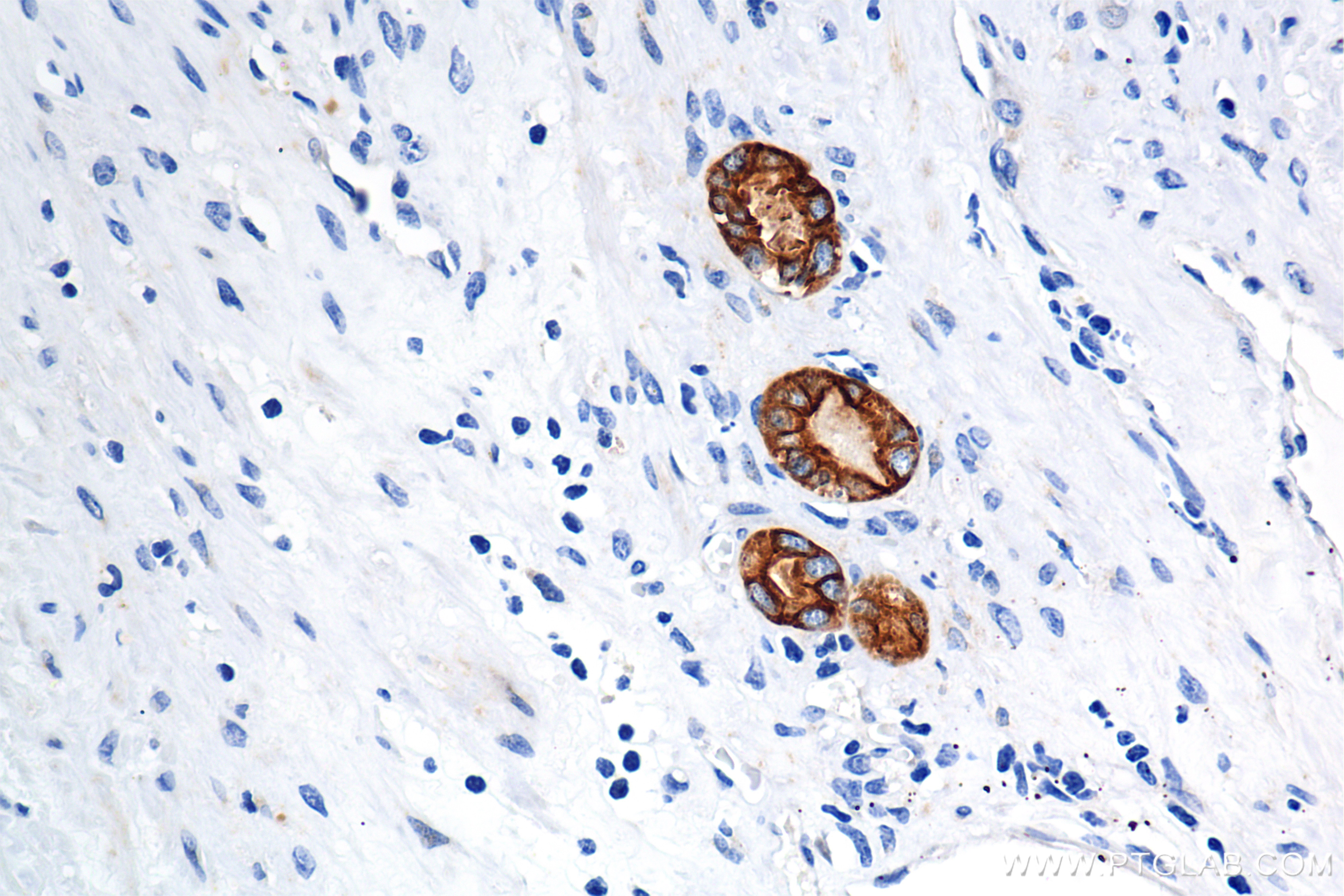
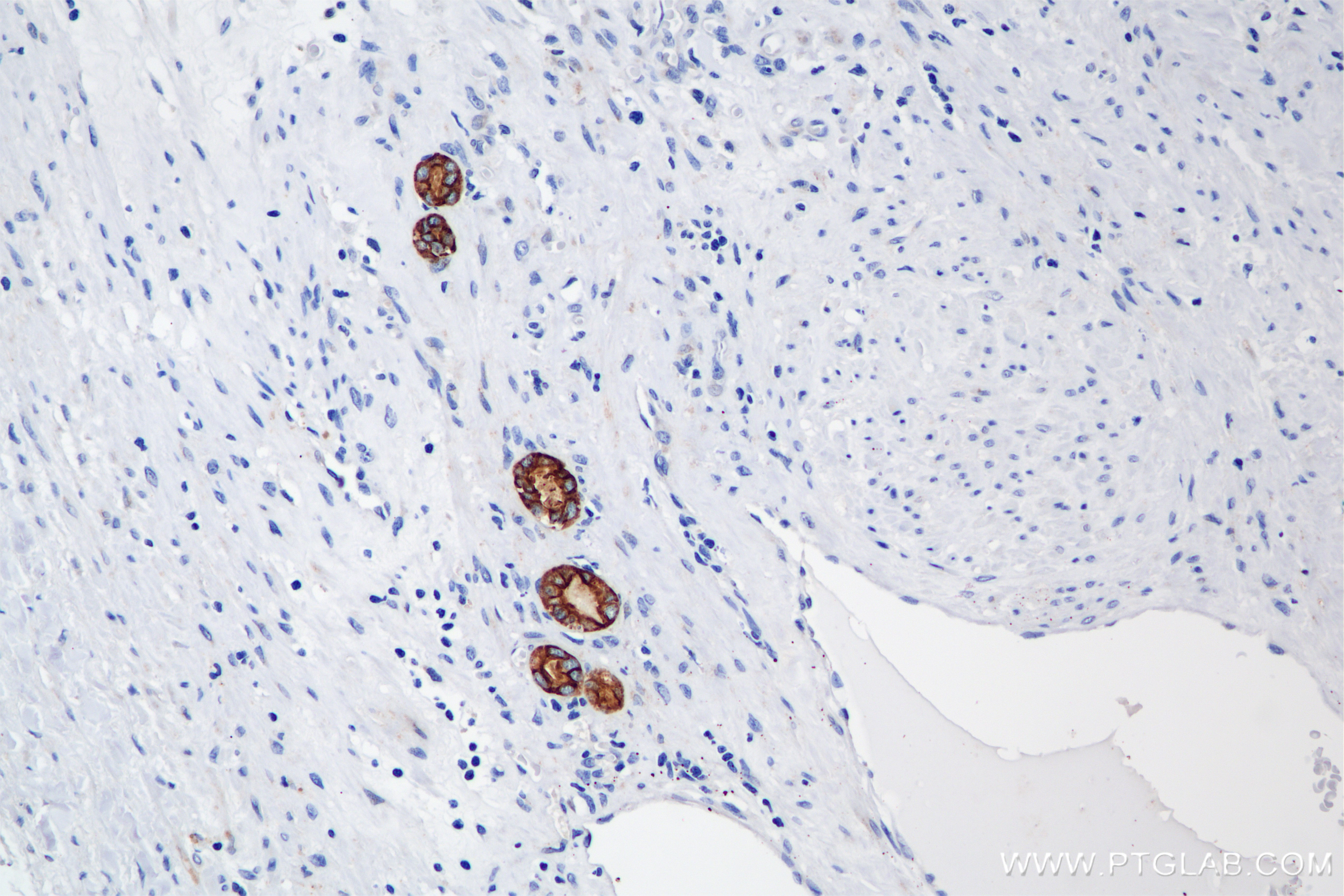
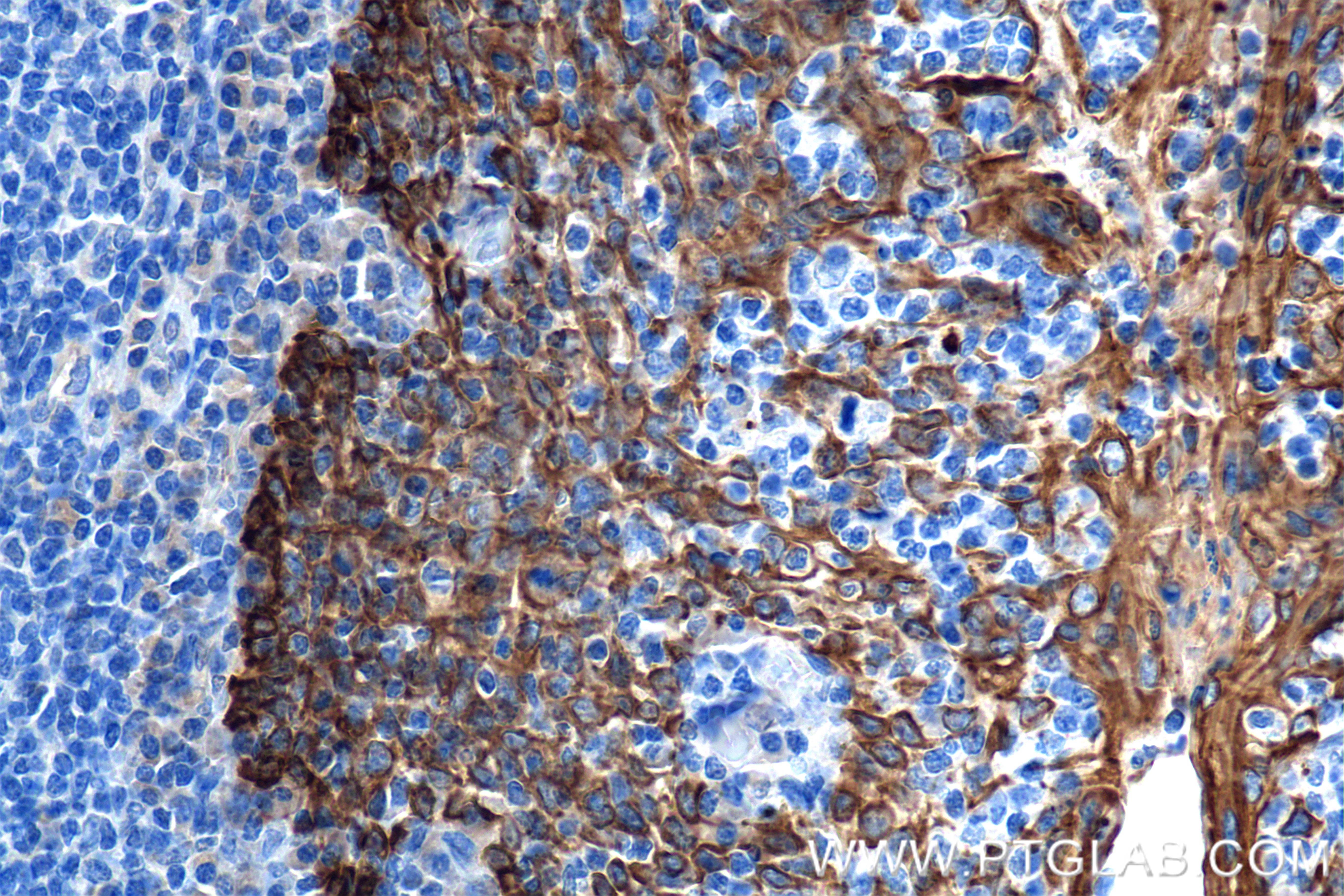
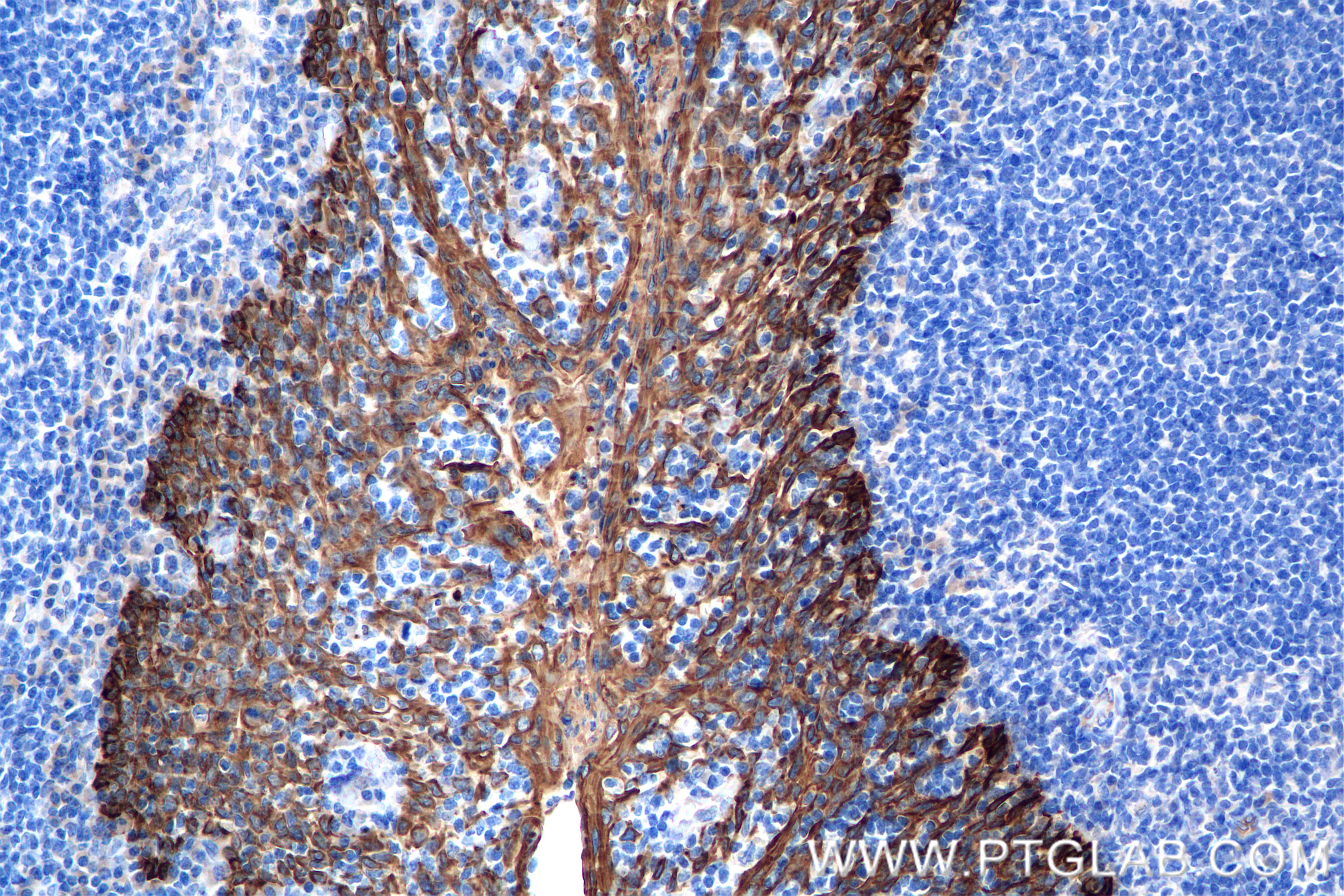
| Positive IHC detected in | human prostate cancer tissue, Human Kidney(renal cell) Cancer, human tonsil tissue Note: suggested antigen retrieval with TE buffer pH 9.0; (*) Alternatively, antigen retrieval may be performed with citrate buffer pH 6.0 |
| Positive IF-P detected in | human cervical cancer tissue, human colon cancer tissue, human lung cancer tissue, mouse skin tissue |
推荐稀释比
| 应用 | 推荐稀释比 |
|---|---|
| Western Blot (WB) | WB : 1:5000-1:50000 |
| Immunohistochemistry (IHC) | IHC : 1:500-1:2000 |
| Immunofluorescence (IF)-P | IF-P : 1:250-1:1000 |
| It is recommended that this reagent should be titrated in each testing system to obtain optimal results. | |
| Sample-dependent, Check data in validation data gallery. | |
产品信息
86238-2-RR targets Pan-Keratin (Type I) in WB, IHC, IF-P, ELISA applications and shows reactivity with human, mouse, rat samples.
| 经测试应用 | WB, IHC, IF-P, ELISA Application Description |
| 经测试反应性 | human, mouse, rat |
| 免疫原 |
Peptide 种属同源性预测 |
| 宿主/亚型 | Rabbit / IgG |
| 抗体类别 | Recombinant |
| 产品类型 | Antibody |
| 全称 | Pan-Keratin (Type I) |
| 别名 | Pan Keratin, pan-CK, Pan-CK (Type I), Pan-Keratin, Type I keratin |
| 观测分子量 | 45-65 kDa |
| 基因名称 | |
| Gene ID (NCBI) | Pan-Keratin (Type I) |
| 偶联类型 | Unconjugated |
| 形式 | Liquid |
| 纯化方式 | Protein A purification |
| UNIPROT ID | Q15323 |
| 储存缓冲液 | PBS with 0.02% sodium azide and 50% glycerol, pH 7.3. |
| 储存条件 | Store at -20°C. Stable for one year after shipment. Aliquoting is unnecessary for -20oC storage. |
背景介绍
Keratin is a family of fibrous structural proteins that are key components in hair, nails, feathers, hooves, and the outer layer of skin (epidermis). There are two main types of keratin: Type I (acidic) and Type II (basic/neutral), which form heterodimers to create intermediate filaments, providing mechanical strength to cells. Type I keratins (or Type I cytokeratins) are acidic, low molecular weight (40-64 kDa) proteins that form Type I intermediate filaments (IFs) in the cytoplasmic cytoskeleton of all mammalian epithelial cells. They are encoded on chromosome 17q and include keratins K9-K10, K12-K28, and K31-K40.
实验方案
| Product Specific Protocols | |
|---|---|
| IF protocol for Pan-Keratin (Type I) antibody 86238-2-RR | Download protocol |
| IHC protocol for Pan-Keratin (Type I) antibody 86238-2-RR | Download protocol |
| WB protocol for Pan-Keratin (Type I) antibody 86238-2-RR | Download protocol |
| Standard Protocols | |
|---|---|
| Click here to view our Standard Protocols |












