验证数据展示
经过测试的应用
| Positive WB detected in | COLO 320 cells, HeLa cells, human brain tissue, mouse embryo tissue, mouse liver tissue, NIH/3T3 cells, HT-1080 cells,mouse brain tissue, rat brain tissue |
| Positive IP detected in | mouse brain tissue |
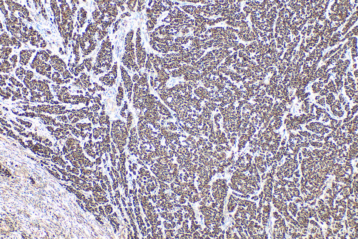
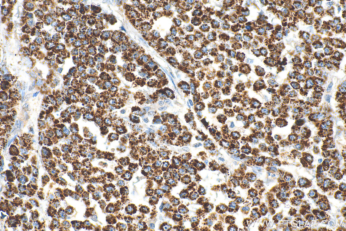
| Positive IHC detected in | human colon cancer tissue, human prostate cancer tissue Note: suggested antigen retrieval with TE buffer pH 9.0; (*) Alternatively, antigen retrieval may be performed with citrate buffer pH 6.0 |
| Positive IF/ICC detected in | HepG2 cells, MCF-7 cells |
推荐稀释比
| 应用 | 推荐稀释比 |
|---|---|
| Western Blot (WB) | WB : 1:1000-1:4000 |
| Immunoprecipitation (IP) | IP : 0.5-4.0 ug for 1.0-3.0 mg of total protein lysate |
| Immunohistochemistry (IHC) | IHC : 1:200-1:800 |
| Immunofluorescence (IF)/ICC | IF/ICC : 1:200-1:800 |
| It is recommended that this reagent should be titrated in each testing system to obtain optimal results. | |
| Sample-dependent, Check data in validation data gallery. | |
产品信息
13108-1-AP targets PYCR1 in WB, IHC, IF/ICC, IP, CoIP, ELISA applications and shows reactivity with human, mouse, rat samples.
| 经测试应用 | WB, IHC, IF/ICC, IP, ELISA Application Description |
| 文献引用应用 | WB, IHC, IF, IP, CoIP |
| 经测试反应性 | human, mouse, rat |
| 文献引用反应性 | human, mouse, zebrafish |
| 免疫原 |
CatNo: Ag3764 Product name: Recombinant human PYCR1 protein Source: e coli.-derived, PGEX-4T Tag: GST Domain: 1-171 aa of BC022244 Sequence: MEQLLSSVGFCTEVEEDLIDAVTGLSGSGPAYAFTALDALADGGVKMGLPRRLAVRLGAQALLGAAKMLLHSEQHPGQLKDNVSSPGGATIHALHVLESGGFRSLLINAVEASCIRTRELQSMADQEQVSPAAIKKTILDKVKLDSPAGTALSPSGHTKLLPRSLAPAGKD 种属同源性预测 |
| 宿主/亚型 | Rabbit / IgG |
| 抗体类别 | Polyclonal |
| 产品类型 | Antibody |
| 全称 | pyrroline-5-carboxylate reductase 1 |
| 别名 | EC:1.5.1.2, P5C, P5C reductase 1, P5CR, P5CR 1 |
| 计算分子量 | 319 aa, 33.8 kDa |
| 观测分子量 | 33 kDa, 35 kDa |
| GenBank蛋白编号 | BC022244 |
| 基因名称 | PYCR1 |
| Gene ID (NCBI) | 5831 |
| RRID | AB_2174878 |
| 偶联类型 | Unconjugated |
| 形式 | Liquid |
| 纯化方式 | Antigen affinity purification |
| UNIPROT ID | P32322 |
| 储存缓冲液 | PBS with 0.02% sodium azide and 50% glycerol, pH 7.3. |
| 储存条件 | Store at -20°C. Stable for one year after shipment. Aliquoting is unnecessary for -20oC storage. |
背景介绍
PYCR1,also named as P5CR1, belongs to the pyrroline-5-carboxylate reductase family. It is a housekeeping enzyme that catalyzes the last step in proline biosynthesis. PYCR1 can utilize both NAD and NADP, but has higher affinity for NAD. It is involved in the cellular response to oxidative stress. Mutation in PYCR1 will cause ARCL type II(ARCL2B ). Some mutation will cause DeBarsy syndrome (DBS) which is characterized by progeroid features, ophthalmological abnormalities, intrauterine growth retardation, and cutis laxa. The MW of PYCR1 is about 33-35 kDa. PYCR1 has 3 isoforms produced by alternative splicing. This antibody may have cross reaction to PYCR2 due to the high homology.
实验方案
| Product Specific Protocols | |
|---|---|
| IF protocol for PYCR1 antibody 13108-1-AP | Download protocol |
| IHC protocol for PYCR1 antibody 13108-1-AP | Download protocol |
| IP protocol for PYCR1 antibody 13108-1-AP | Download protocol |
| WB protocol for PYCR1 antibody 13108-1-AP | Download protocol |
| Standard Protocols | |
|---|---|
| Click here to view our Standard Protocols |
发表文章
| Species | Application | Title |
|---|---|---|
Nature Tumour-specific proline vulnerability uncovered by differential ribosome codon reading.
| ||
Nature Functional genomics reveal that the serine synthesis pathway is essential in breast cancer. | ||
J Hepatol Metabolic pathway analyses identify proline biosynthesis pathway as a promoter of liver tumorigenesis. | ||
Neuron Loss of PYCR2 Causes Neurodegeneration by Increasing Cerebral Glycine Levels via SHMT2. |













