验证数据展示
产品信息
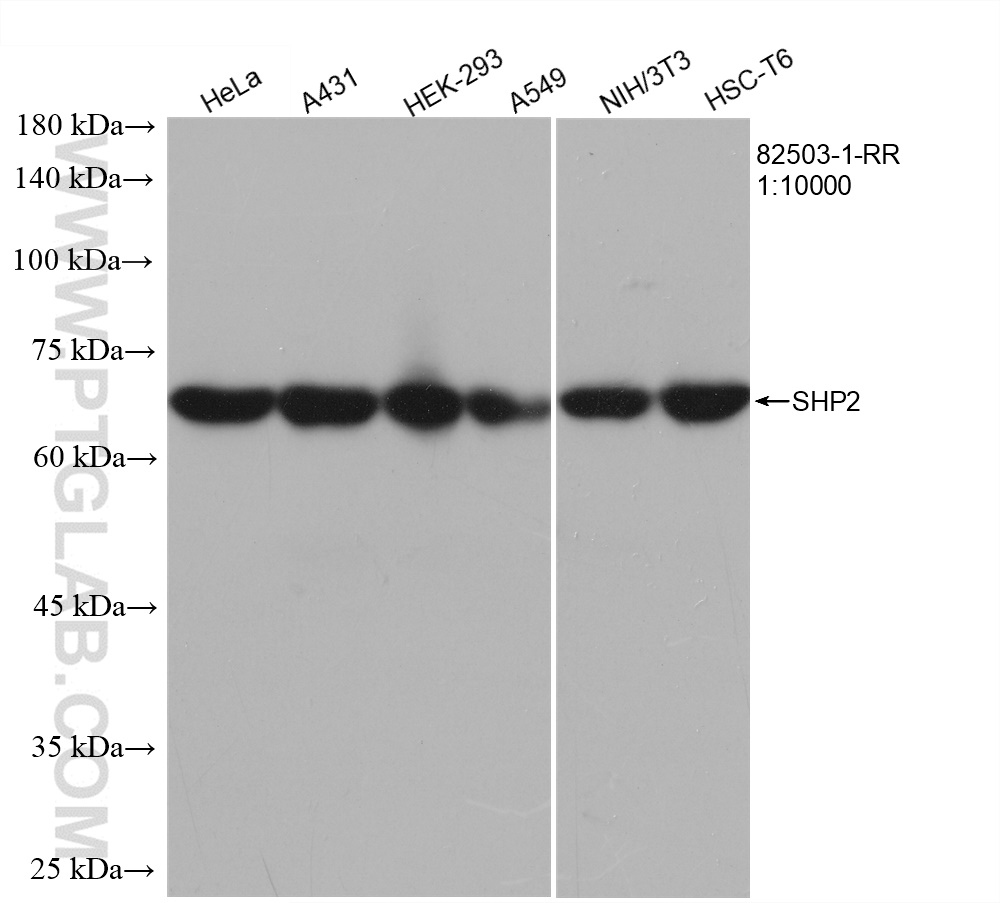
82503-1-PBS targets SHP2 in WB, IHC, IP, Indirect ELISA applications and shows reactivity with human, mouse, rat samples.
| 经测试应用 | WB, IHC, IP, Indirect ELISA Application Description |
| 经测试反应性 | human, mouse, rat |
| 免疫原 |
CatNo: Ag13660 Product name: Recombinant human PTPN11 protein Source: e coli.-derived, PGEX-4T Tag: GST Domain: 1-357 aa of BC008692 Sequence: MTSRRWFHPNITGVEAENLLLTRGVDGSFLARPSKSNPGDFTLSVRRNGAVTHIKIQNTGDYYDLYGGEKFATLAELVQYYMEHHGQLKEKNGDVIELKYPLNCADPTSERWFHGHLSGKEAEKLLTEKGKHGSFLVRESQSHPGDFVLSVRTGDDKGESNDGKSKVTHVMIRCQELKYDVGGGERFDSLTDLVEHYKKNPMVETLGTVLQLKQPLNTTRINAAEIESRVRELSKLAETTDKVKQGFWEEFETLQQQECKLLYSRKEGQRQENKNKNRYKNILPFDHTRVVLHDGDPNEPVSDYINANIIMPEFETKCNNSKPKKSYIATQGCLQNTVNDFWRMVFQENSRVIVMTT 种属同源性预测 |
| 宿主/亚型 | Rabbit / IgG |
| 抗体类别 | Recombinant |
| 产品类型 | Antibody |
| 全称 | protein tyrosine phosphatase, non-receptor type 11 |
| 别名 | PTPN11/SHP2, PTPN11, 5L23, BPTP 3, BPTP3 |
| 计算分子量 | 597 aa, 68 kDa |
| 观测分子量 | 68 kDa |
| GenBank蛋白编号 | BC008692 |
| 基因名称 | PTPN11 |
| Gene ID (NCBI) | 5781 |
| 偶联类型 | Unconjugated |
| 形式 | Liquid |
| 纯化方式 | Protein A purification |
| UNIPROT ID | Q06124 |
| 储存缓冲液 | PBS only, pH 7.3. |
| 储存条件 | Store at -80°C. The product is shipped with ice packs. Upon receipt, store it immediately at -80°C |
背景介绍
PTPN11(protein tyrosine phosphatase, non-receptor type 11), also named as PTP-1D, PTP2, PTP2C, PTP3, SHP2, CFC, CFC, BPTP3, SH-PTP2, SH-PTP3, and MGC14433, belongs to the protein-tyrosine phosphatase family and non-receptor class 2 subfamily. It modulates and regulates signaling through numerous pathways, many of which are active in the developing endocardial cushions and implicated the ERK pathway as a central mechanism(PMID:19017799). Its signaling may play equally important roles in retinal survival in both physiological and pathological conditions(PMID:21576358). Defects in PTPN11 are the cause of LEOPARD syndrome type 1 (LEOPARD1), Noonan syndrome type 1 (NS1), juvenile myelomonocytic leukemia (JMML), and metachondromatosis (MC). It has 3 isoforms produced by alternative splicing.




