验证数据展示
经过测试的应用
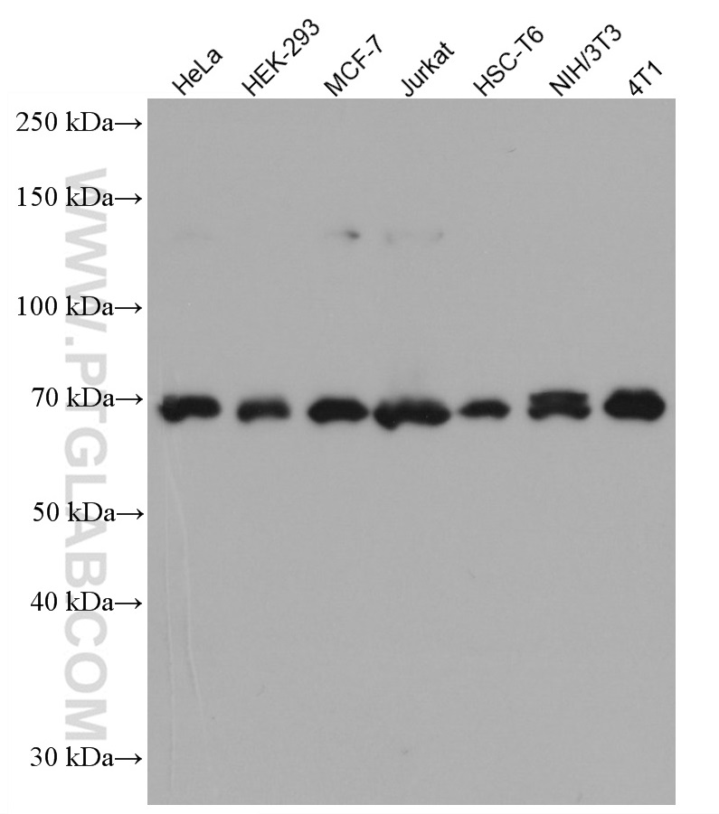
| Positive WB detected in | HeLa cells, HEK-293 cells, MCF-7 cells, Jurkat cells, HSC-T6 cells, NIH/3T3 cells, 4T1 cells |
| Positive IHC detected in | mouse testis tissue Note: suggested antigen retrieval with TE buffer pH 9.0; (*) Alternatively, antigen retrieval may be performed with citrate buffer pH 6.0 |
| Positive IF/ICC detected in | MCF-7 cells |
| Positive FC (Intra) detected in | MCF-7 cells |
推荐稀释比
| 应用 | 推荐稀释比 |
|---|---|
| Western Blot (WB) | WB : 1:1000-1:4000 |
| Immunohistochemistry (IHC) | IHC : 1:50-1:500 |
| Immunofluorescence (IF)/ICC | IF/ICC : 1:400-1:1600 |
| Flow Cytometry (FC) (INTRA) | FC (INTRA) : 0.40 ug per 10^6 cells in a 100 µl suspension |
| It is recommended that this reagent should be titrated in each testing system to obtain optimal results. | |
| Sample-dependent, Check data in validation data gallery. | |
产品信息
66795-1-Ig targets SHP2 in WB, IHC, IF/ICC, FC (Intra), ELISA applications and shows reactivity with human, mouse, rat samples.
| 经测试应用 | WB, IHC, IF/ICC, FC (Intra), ELISA Application Description |
| 经测试反应性 | human, mouse, rat |
| 免疫原 |
CatNo: Ag13649 Product name: Recombinant human PTPN11 protein Source: e coli.-derived, PET28a Tag: 6*His Domain: 1-357 aa of BC008692 Sequence: MTSRRWFHPNITGVEAENLLLTRGVDGSFLARPSKSNPGDFTLSVRRNGAVTHIKIQNTGDYYDLYGGEKFATLAELVQYYMEHHGQLKEKNGDVIELKYPLNCADPTSERWFHGHLSGKEAEKLLTEKGKHGSFLVRESQSHPGDFVLSVRTGDDKGESNDGKSKVTHVMIRCQELKYDVGGGERFDSLTDLVEHYKKNPMVETLGTVLQLKQPLNTTRINAAEIESRVRELSKLAETTDKVKQGFWEEFETLQQQECKLLYSRKEGQRQENKNKNRYKNILPFDHTRVVLHDGDPNEPVSDYINANIIMPEFETKCNNSKPKKSYIATQGCLQNTVNDFWRMVFQENSRVIVMTT 种属同源性预测 |
| 宿主/亚型 | Mouse / IgG1 |
| 抗体类别 | Monoclonal |
| 产品类型 | Antibody |
| 全称 | protein tyrosine phosphatase, non-receptor type 11 |
| 别名 | PTPN11/SHP2, PTPN11, BPTP 3, BPTP3, CFC |
| 计算分子量 | 597 aa, 68 kDa |
| 观测分子量 | 68 kDa |
| GenBank蛋白编号 | BC008692 |
| 基因名称 | PTPN11 |
| Gene ID (NCBI) | 5781 |
| RRID | AB_2882139 |
| 偶联类型 | Unconjugated |
| 形式 | Liquid |
| 纯化方式 | Protein G purification |
| UNIPROT ID | Q06124 |
| 储存缓冲液 | PBS with 0.02% sodium azide and 50% glycerol, pH 7.3. |
| 储存条件 | Store at -20°C. Stable for one year after shipment. Aliquoting is unnecessary for -20oC storage. |
背景介绍
PTPN11 (protein tyrosine phosphatase, non-receptor type 11) is also named as PTP-1D, PTP2, PTP2C, PTP3, SHP2, CFC, CFC, BPTP3, SH-PTP2, SH-PTP3, MGC14433 and belongs to the protein-tyrosine phosphatase family and non-receptor class 2 subfamily. It modulates and regulates signaling through numerous pathways, many of which are active in the developing endocardial cushions and implicated the ERK pathway as a central mechanism (PMID: 19017799). Its signaling may play equally important roles in retinal survival in both physiological and pathological conditions (PMID: 21576358). Defects in PTPN11 are the cause of LEOPARD syndrome type 1 (LEOPARD1), Noonan syndrome type 1 (NS1), juvenile myelomonocytic leukemia (JMML) and metachondromatosis (MC). It has 3 isoforms produced by alternative splicing.
实验方案
| Product Specific Protocols | |
|---|---|
| FC protocol for SHP2 antibody 66795-1-Ig | Download protocol |
| IF protocol for SHP2 antibody 66795-1-Ig | Download protocol |
| IHC protocol for SHP2 antibody 66795-1-Ig | Download protocol |
| WB protocol for SHP2 antibody 66795-1-Ig | Download protocol |
| Standard Protocols | |
|---|---|
| Click here to view our Standard Protocols |






