验证数据展示
经过测试的应用
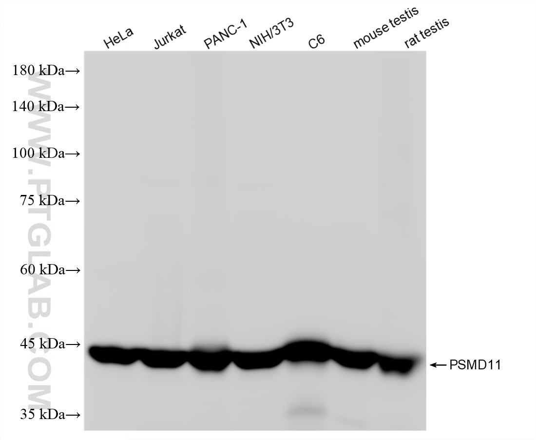
| Positive WB detected in | HeLa cells, Jurkat cells, PANC-1 cells, NIH/3T3 cells, C6 cells, mouse testis tissue, rat testis tissue |
| Positive IHC detected in | mouse testis tissue Note: suggested antigen retrieval with TE buffer pH 9.0; (*) Alternatively, antigen retrieval may be performed with citrate buffer pH 6.0 |
| Positive IF/ICC detected in | HeLa cells |
推荐稀释比
| 应用 | 推荐稀释比 |
|---|---|
| Western Blot (WB) | WB : 1:5000-1:50000 |
| Immunohistochemistry (IHC) | IHC : 1:500-1:2000 |
| Immunofluorescence (IF)/ICC | IF/ICC : 1:50-1:500 |
| It is recommended that this reagent should be titrated in each testing system to obtain optimal results. | |
| Sample-dependent, Check data in validation data gallery. | |
产品信息
86596-3-RR targets PSMD11 in WB, IHC, IF/ICC, ELISA applications and shows reactivity with human, mouse, rat samples.
| 经测试应用 | WB, IHC, IF/ICC, ELISA Application Description |
| 经测试反应性 | human, mouse, rat |
| 免疫原 |
CatNo: Ag6435 Product name: Recombinant human PSMD11 protein Source: e coli.-derived, PGEX-4T Tag: GST Domain: 76-422 aa of BC000437 Sequence: FLNSISKAKAARLVRSLLDLFLDMEAATGQEVELCLECIEWAKSEKRTFLRQALEARLVSLYFDTKRYQEALHLGSQLLRELKKMDDKALLVEVQLLESKTYHALSNLPKARAALTSARTTANAIYCPPKLQATLDMQSGIIHAAEEKDWKTAYSYFYEAFEGYDSIDSPKAITSLKYMLLCKIMLNTPEDVQALVSGKLALRYAGRQTEALKCVAQASKNRSLADFEKALTDYRAELRDDPIISTHLAKLYDNLLEQNLIRVIEPFSRVQIEHISSLIKLSKADVERKLSQMILDKKFHGILDQGEGVLIIFDEPPVDKTYEAALETIQNMSKVVDSLYNKAKKLT 种属同源性预测 |
| 宿主/亚型 | Rabbit / IgG |
| 抗体类别 | Recombinant |
| 产品类型 | Antibody |
| 全称 | proteasome (prosome, macropain) 26S subunit, non-ATPase, 11 |
| 别名 | 26S proteasome non-ATPase regulatory subunit 11, p44.5, Rpn6, S9 |
| 计算分子量 | 47 kDa |
| 观测分子量 | 47 kDa |
| GenBank蛋白编号 | BC000437 |
| 基因名称 | PSMD11 |
| Gene ID (NCBI) | 5717 |
| 偶联类型 | Unconjugated |
| 形式 | Liquid |
| 纯化方式 | Protein A purification |
| UNIPROT ID | O00231 |
| 储存缓冲液 | PBS with 0.02% sodium azide and 50% glycerol, pH 7.3. |
| 储存条件 | Store at -20°C. Stable for one year after shipment. Aliquoting is unnecessary for -20oC storage. |
背景介绍
The 26 S proteasome is a 2.5-MDa molecular machine that degrades ubiquitinated proteins in eukaryotic cells. It consists of a proteolytic core particle and two 19 S regulatory particles (RPs) composed of 6 ATPase (RPT) and 13 non-ATPase (RPN) subunits. PSMD11 gene encodes 19S proteasome subunit RPN6. Increased levels of PSMD11 and a corresponding increased assembly of the 26S/30S proteasome is correlated with high proteasome activity. In vitro ectopic expression of PSMD11 is sufficient to increase proteasome assembly and activity. Latest research has implicated PSMD11 in regulation of human embryonic stem cells function.
实验方案
| Product Specific Protocols | |
|---|---|
| IF protocol for PSMD11 antibody 86596-3-RR | Download protocol |
| IHC protocol for PSMD11 antibody 86596-3-RR | Download protocol |
| WB protocol for PSMD11 antibody 86596-3-RR | Download protocol |
| Standard Protocols | |
|---|---|
| Click here to view our Standard Protocols |


