验证数据展示
经过测试的应用
| Positive WB detected in | A549 cells, HEK-293 cells, HeLa cells, PC-3 cells, K-562 cells |
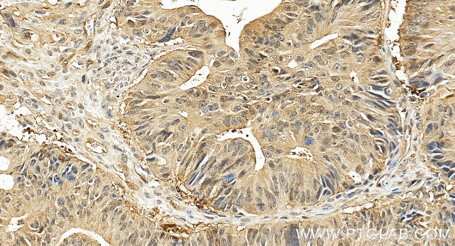
| Positive IHC detected in | human colon cancer tissue Note: suggested antigen retrieval with TE buffer pH 9.0; (*) Alternatively, antigen retrieval may be performed with citrate buffer pH 6.0 |
推荐稀释比
| 应用 | 推荐稀释比 |
|---|---|
| Western Blot (WB) | WB : 1:2000-1:10000 |
| Immunohistochemistry (IHC) | IHC : 1:1000-1:4000 |
| It is recommended that this reagent should be titrated in each testing system to obtain optimal results. | |
| Sample-dependent, Check data in validation data gallery. | |
产品信息
86120-2-RR targets PSMD10/Gankyrin in WB, IHC, ELISA applications and shows reactivity with human samples.
| 经测试应用 | WB, IHC, ELISA Application Description |
| 经测试反应性 | human |
| 免疫原 |
CatNo: Ag2994 Product name: Recombinant human PSMD10 protein Source: e coli.-derived, PGEX-4T Tag: GST Domain: 4-226 aa of BC011960 Sequence: CVSNLMVCNLAYSGKLEELKESILADKSLATRTDQDSRTALHWACSAGHTEIVEFLLQLGVPVNDKDDAGWSPLHIAASAGRDEIVKALLGKGAQVNAVNQNGCTPLHYAASKNRHEIAVMLLEGGANPDAKDHYEATAMHRAAAKGNLKMIHILLYYKASTNIQDTEGNTPLHLACDEERVEEAKLLVSQGASIYIENKEEKTPLQVAKGGLGLILKRMVEG 种属同源性预测 |
| 宿主/亚型 | Rabbit / IgG |
| 抗体类别 | Recombinant |
| 产品类型 | Antibody |
| 全称 | proteasome (prosome, macropain) 26S subunit, non-ATPase, 10 |
| 别名 | PSMD10, 26S proteasome non-ATPase regulatory subunit 10, Gankyrin, p28, p28(GANK) |
| 计算分子量 | 226 aa, 24 kDa |
| 观测分子量 | 24-28 kDa |
| GenBank蛋白编号 | BC011960 |
| 基因名称 | PSMD10 |
| Gene ID (NCBI) | 5716 |
| 偶联类型 | Unconjugated |
| 形式 | Liquid |
| 纯化方式 | Protein A purification |
| UNIPROT ID | O75832 |
| 储存缓冲液 | PBS with 0.02% sodium azide and 50% glycerol, pH 7.3. |
| 储存条件 | Store at -20°C. Stable for one year after shipment. Aliquoting is unnecessary for -20oC storage. |
背景介绍
PSMD10, also known as Gankyrin, is a subunit of the 19S regulatory particle of the proteasome and plays a crucial role in protein degradation. It is a small, 25 kDa cytoplasmic-nuclear shuttling protein, highly conserved throughout evolution (~40% identity to yeast Nas6p). PSMD10 is involved in the regulation of cell cycle progression and apoptosis by interacting with key proteins such as p53 and Rb. PSMD10 has been identified as an oncoprotein, promoting tumor cell proliferation and survival in various cancers (PMID: 16581249, PMID: 31576540).
实验方案
| Product Specific Protocols | |
|---|---|
| IHC protocol for PSMD10/Gankyrin antibody 86120-2-RR | Download protocol |
| WB protocol for PSMD10/Gankyrin antibody 86120-2-RR | Download protocol |
| Standard Protocols | |
|---|---|
| Click here to view our Standard Protocols |



