验证数据展示
经过测试的应用
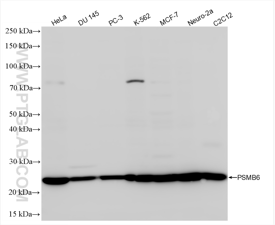
| Positive WB detected in | HeLa cells, DU 145 cells, PC-3 cells, K-562 cells, MCF-7 cells, Neuro-2a cells, C2C12 cells |
| Positive IF/ICC detected in | HeLa cells |
推荐稀释比
| 应用 | 推荐稀释比 |
|---|---|
| Western Blot (WB) | WB : 1:5000-1:50000 |
| Immunofluorescence (IF)/ICC | IF/ICC : 1:250-1:1000 |
| It is recommended that this reagent should be titrated in each testing system to obtain optimal results. | |
| Sample-dependent, Check data in validation data gallery. | |
产品信息
86491-1-RR targets PSMB6 in WB, IF/ICC, ELISA applications and shows reactivity with human, mouse samples.
| 经测试应用 | WB, IF/ICC, ELISA Application Description |
| 经测试反应性 | human, mouse |
| 免疫原 |
CatNo: Ag2296 Product name: Recombinant human PSMB6 protein Source: e coli.-derived, PGEX-4T Tag: GST Domain: 1-239 aa of BC000835 Sequence: MAATLLAARGAGPAPAWGPEAFTPDWESREVSTGTTIMAVQFDGGVVLGADSRTTTGSYIANRVTDKLTPIHDRIFCCRSGSAADTQAVADAVTYQLGFHSIELNEPPLVHTAASLFKEMCYRYREDLMAGIIIAGWDPQEGGQVYSVPMGGMMVRQSFAIGGSGSSYIYGYVDATYREGMTKEECLQFTANALALAMERDGSSGGVIRLAAIAESGVERQVLLGDQIPKFAVATLPPA 种属同源性预测 |
| 宿主/亚型 | Rabbit / IgG |
| 抗体类别 | Recombinant |
| 产品类型 | Antibody |
| 全称 | proteasome (prosome, macropain) subunit, beta type, 6 |
| 别名 | EC:3.4.25.1, LMPY, Proteasome subunit beta type-6, Y |
| 计算分子量 | 239 aa, 25 kDa |
| 观测分子量 | 25 kDa |
| GenBank蛋白编号 | BC000835 |
| 基因名称 | PSMB6 |
| Gene ID (NCBI) | 5694 |
| RRID | AB_3744922 |
| 偶联类型 | Unconjugated |
| 形式 | Liquid |
| 纯化方式 | Protein A purification |
| UNIPROT ID | P28072 |
| 储存缓冲液 | PBS with 0.02% sodium azide and 50% glycerol, pH 7.3. |
| 储存条件 | Store at -20°C. Stable for one year after shipment. Aliquoting is unnecessary for -20oC storage. |
背景介绍
PSMB6(Proteasome subunit beta type-6) is also named as LMPY, Y and belongs to the peptidase T1B family.The proteasome is a multicatalytic proteinase complex which is characterized by its ability to cleave peptides with Arg, Phe, Tyr, Leu, and Glu adjacent to the leaving group at neutral or slightly basic pH.It may also catalyzes basal processing of intracellular antigens.It can be up-regulated in anaplastic thyroid cancer cell lines and down-regulated by IFNG/IFN-gamma (at protein level)(PMID:8066462;15613457).
实验方案
| Product Specific Protocols | |
|---|---|
| IF protocol for PSMB6 antibody 86491-1-RR | Download protocol |
| WB protocol for PSMB6 antibody 86491-1-RR | Download protocol |
| Standard Protocols | |
|---|---|
| Click here to view our Standard Protocols |


