验证数据展示
经过测试的应用
| Positive WB detected in | HeLa cells, Jurkat cells. Daudi cells, HEK-293T cells, K-562 cells, NIH/3T3 cells, C6 cells |
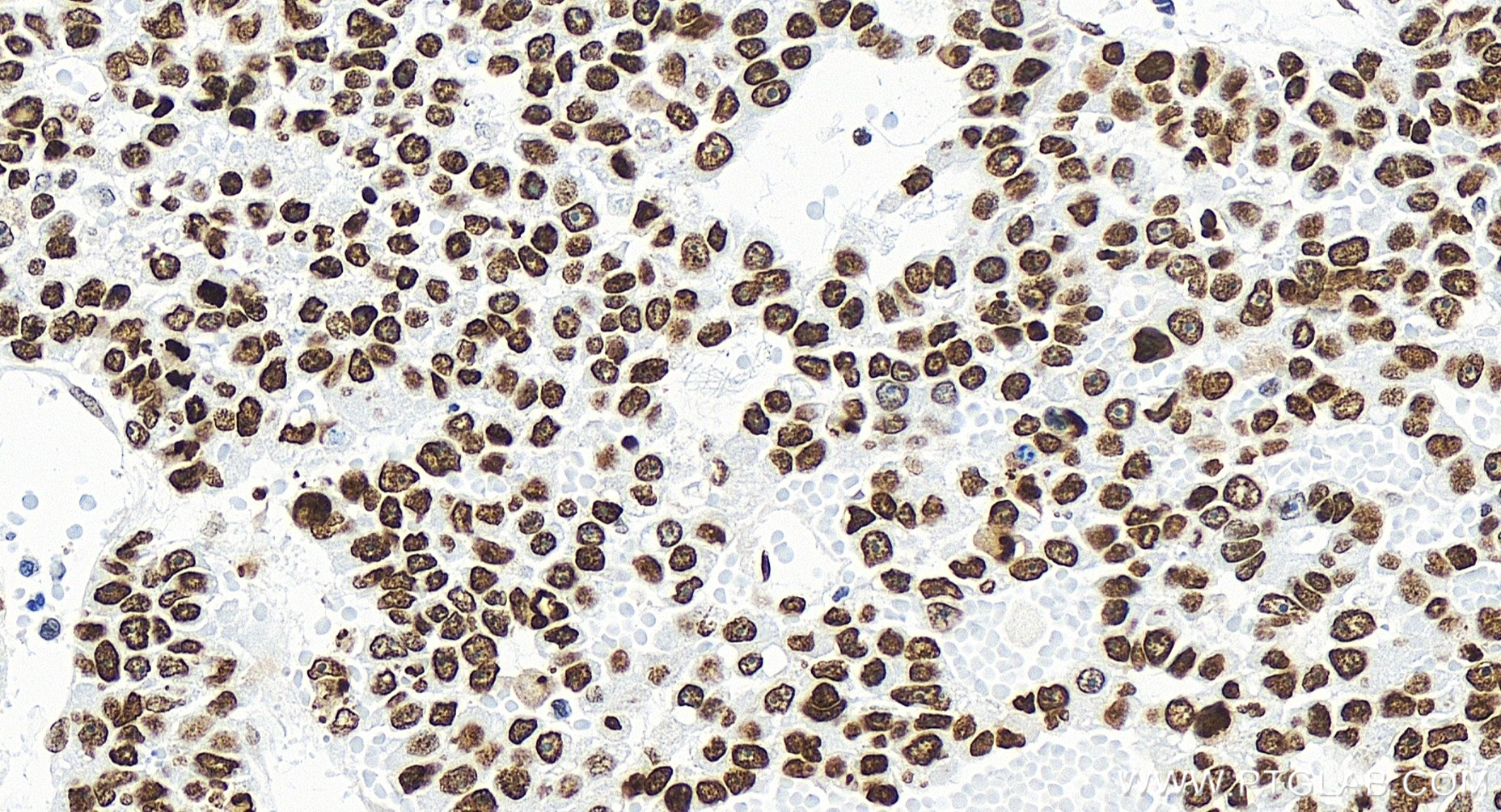
| Positive IHC detected in | human liver cancer tissue, human colon cancer tissue Note: suggested antigen retrieval with TE buffer pH 9.0; (*) Alternatively, antigen retrieval may be performed with citrate buffer pH 6.0 |
| Positive IF/ICC detected in | HepG2 cells |
推荐稀释比
| 应用 | 推荐稀释比 |
|---|---|
| Western Blot (WB) | WB : 1:5000-1:50000 |
| Immunohistochemistry (IHC) | IHC : 1:500-1:2000 |
| Immunofluorescence (IF)/ICC | IF/ICC : 1:250-1:1000 |
| It is recommended that this reagent should be titrated in each testing system to obtain optimal results. | |
| Sample-dependent, Check data in validation data gallery. | |
产品信息
85395-1-RR targets PSIP1 in WB, IHC, IF/ICC, ELISA applications and shows reactivity with human, mouse, rat samples.
| 经测试应用 | WB, IHC, IF/ICC, ELISA Application Description |
| 经测试反应性 | human, mouse, rat |
| 免疫原 |
CatNo: Ag21886 Product name: Recombinant human PSIP1 protein Source: e coli.-derived, PET28a Tag: 6*His Domain: 104-324 aa of BC064135 Sequence: ASSDVEVEEKETSVSKEDTDHEEKASNEDVTKAVDITTPKAARRGRKRKAGVVTTATASVNLKVSPKRGRPAATEVKIPKPRGRPKMVKQPCPSESDIITEEDKSKKKGQEEKQPKKQPKKDEEGQKEEDKPRKEPDKKEGKKEVESKRKNLAKTGVTSTSDSEEEGDDQEGEKKRKGGRNFQTAHRRNMLKGQHEKEAADRKRKQEEQMETEHQTTCNLQ 种属同源性预测 |
| 宿主/亚型 | Rabbit / IgG |
| 抗体类别 | Recombinant |
| 产品类型 | Antibody |
| 全称 | PC4 and SFRS1 interacting protein 1 |
| 别名 | 242841C5, CLL associated antigen KW 7, CLL-associated antigen KW-7, DFS70, LEDGF |
| 计算分子量 | 530 aa, 60 kDa |
| 观测分子量 | 75 kDa |
| GenBank蛋白编号 | BC064135 |
| 基因名称 | PSIP1 |
| Gene ID (NCBI) | 11168 |
| RRID | AB_3744193 |
| 偶联类型 | Unconjugated |
| 形式 | Liquid |
| 纯化方式 | Protein A purification |
| UNIPROT ID | O75475 |
| 储存缓冲液 | PBS with 0.02% sodium azide and 50% glycerol, pH 7.3. |
| 储存条件 | Store at -20°C. Stable for one year after shipment. Aliquoting is unnecessary for -20oC storage. |
背景介绍
PSIP1, also known as PC4 and SRSF1 Interacting Protein 1 or Lens Epithelium-Derived Growth Factor (LEDGF), is a transcriptional coactivator involved in neuroepithelial stem cell differentiation and neurogenesis. It also plays a role in lens epithelial cell gene regulation and stress responses. It is a chromatin-associated protein with histone chaperone activity, involved in transcriptional elongation. PSIP1 may act as an adapter to coordinate pre-mRNA splicing. PSIP1 encodes two protein isoforms with molecular masses of 52 and 75 kDa. p52 and p75 were identified as interacting with transcription factor PC4 and shown to act as transcriptional coactivators.
实验方案
| Product Specific Protocols | |
|---|---|
| IF protocol for PSIP1 antibody 85395-1-RR | Download protocol |
| IHC protocol for PSIP1 antibody 85395-1-RR | Download protocol |
| WB protocol for PSIP1 antibody 85395-1-RR | Download protocol |
| Standard Protocols | |
|---|---|
| Click here to view our Standard Protocols |







