验证数据展示
经过测试的应用
| Positive WB detected in | C6 cells, A549 cells, NIH/3T3 cells |
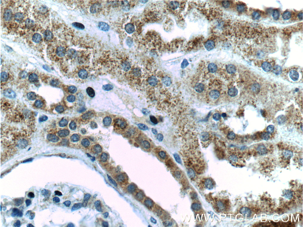
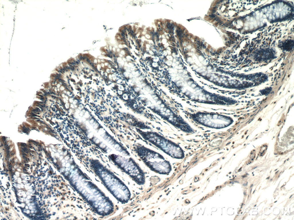
| Positive IHC detected in | human kidney tissue, human placenta tissue, human colon tissue, mouse brain tissue, human breast cancer tissue Note: suggested antigen retrieval with TE buffer pH 9.0; (*) Alternatively, antigen retrieval may be performed with citrate buffer pH 6.0 |
推荐稀释比
| 应用 | 推荐稀释比 |
|---|---|
| Western Blot (WB) | WB : 1:300-1:800 |
| Immunohistochemistry (IHC) | IHC : 1:20-1:200 |
| It is recommended that this reagent should be titrated in each testing system to obtain optimal results. | |
| Sample-dependent, Check data in validation data gallery. | |
发表文章中的应用
| WB | See 2 publications below |
产品信息
16168-1-AP targets PSEN2-Specific in WB, IHC, ELISA applications and shows reactivity with human, mouse, rat samples.
| 经测试应用 | WB, IHC, ELISA Application Description |
| 文献引用应用 | WB |
| 经测试反应性 | human, mouse, rat |
| 文献引用反应性 | mouse |
| 免疫原 |
Peptide 种属同源性预测 |
| 宿主/亚型 | Rabbit / IgG |
| 抗体类别 | Polyclonal |
| 产品类型 | Antibody |
| 全称 | presenilin 2 (Alzheimer disease 4) |
| 别名 | AD3L, AD3LP, AD4, AD5, E5 1, Presenilin 2, PS 2, PS2, PSEN2, PSEN2-Specific, PSNL2, STM 2, STM2 |
| 计算分子量 | 50 kDa |
| 观测分子量 | 55-60 kDa |
| GenBank蛋白编号 | NM_000447 |
| 基因名称 | PSEN2 |
| Gene ID (NCBI) | 5664 |
| RRID | AB_2170748 |
| 偶联类型 | Unconjugated |
| 形式 | Liquid |
| 纯化方式 | Antigen affinity purification |
| UNIPROT ID | P49810 |
| 储存缓冲液 | PBS with 0.02% sodium azide and 50% glycerol, pH 7.3. |
| 储存条件 | Store at -20°C. Stable for one year after shipment. Aliquoting is unnecessary for -20oC storage. |
背景介绍
Presenilins can regulate APP processing through their effects on gamma-secretase, an enzyme that cleaves APP. These transmembrane proteins are considered to be involved in early onset of Alzheimer's disease. Presenilin 2 mainly localizes in large neurons. It exists in a heterodimeric complex formed from the endoproteolytically processed amino-terminal (34 kDa) and carboxy-terminal (about 23 kDa) fragments.This antibody is specific to presenilin 2. It will not bind presenilin 1.
实验方案
| Product Specific Protocols | |
|---|---|
| IHC protocol for PSEN2-Specific antibody 16168-1-AP | Download protocol |
| WB protocol for PSEN2-Specific antibody 16168-1-AP | Download protocol |
| Standard Protocols | |
|---|---|
| Click here to view our Standard Protocols |
发表文章
| Species | Application | Title |
|---|---|---|
Gut Microbes Gut-derived β-amyloid: Likely a centerpiece of the gut-brain axis contributing to Alzheimer's pathogenesis | ||
Neural Regen Res MicroRNA-502-3p regulates GABAergic synapse function in hippocampal neurons |










