验证数据展示
经过测试的应用
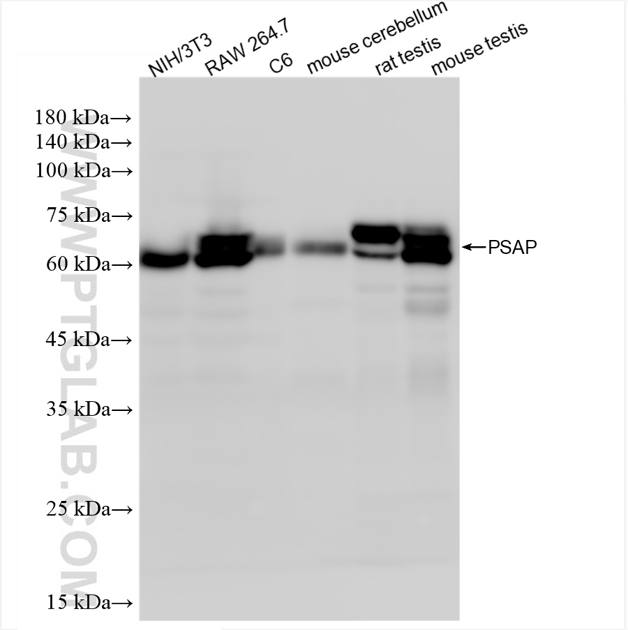
| Positive WB detected in | NIH/3T3 cells, RAW 264.7 cells, C6 cells, mouse cerebellum tissue, rat testis tissue, mouse testis tissue |
| Positive IF/ICC detected in | NIH/3T3 cells |
推荐稀释比
| 应用 | 推荐稀释比 |
|---|---|
| Western Blot (WB) | WB : 1:2000-1:10000 |
| Immunofluorescence (IF)/ICC | IF/ICC : 1:200-1:800 |
| It is recommended that this reagent should be titrated in each testing system to obtain optimal results. | |
| Sample-dependent, Check data in validation data gallery. | |
产品信息
86043-3-RR targets PSAP in WB, IF/ICC, ELISA applications and shows reactivity with mouse, rat samples.
| 经测试应用 | WB, IF/ICC, ELISA Application Description |
| 经测试反应性 | mouse, rat |
| 免疫原 |
CatNo: Eg3155 Product name: Recombinant Mouse PSAP/Prosaposin protein (rFc Tag) Source: mammalian cells-derived, V37 Tag: C-rFc Domain: 17-557 aa of NM_011179.3 Sequence: SPVQDPKTCSGGSAVLCRDVKTAVDCGAVKHCQQMVWSKPTAKSLPCDICKTVVTEAGNLLKDNATQEEILHYLEKTCEWIHDSSLSASCKEVVDSYLPVILDMIKGEMSNPGEVCSALNLCQSLQEYLAEQNQKQLESNKIPEVDMARVVAPFMSNIPLLLYPQDHPRSQPQPKANEDVCQDCMKLVSDVQTAVKTNSSFIQGFVDHVKEDCDRLGPGVSDICKNYVDQYSEVCVQMLMHMQDQQPKEICVLAGFCNEVKRVPMKTLVPATETIKNILPALEMMDPYEQNLVQAHNVILCQTCQFVMNKFSELIVNNATEELLVKGLSNACALLPDPARTKCQEVVGTFGPSLLDIFIHEVNPSSLCGVIGLCAARPELVEALEQPAPAIVSALLKEPTPPKQPAQPKQSALPAHVPPQKNGGFCEVCKKLVLYLEHNLEKNSTKEEILAALEKGCSFLPDPYQKQCDDFVAEYEPLLLEILVEVMDPGFVCSKIGVCPSAYKLLLGTEKCVWGPSYWCQNMETAARCNAVDHCKRHVWN 种属同源性预测 |
| 宿主/亚型 | Rabbit / IgG |
| 抗体类别 | Recombinant |
| 产品类型 | Antibody |
| 全称 | prosaposin |
| 别名 | Prosaposin, Saposin-A, Saposin-B, Saposin-B-Val, Saposin-C |
| 计算分子量 | 61 kDa |
| 观测分子量 | 65-70 kDa |
| GenBank蛋白编号 | NM_011179.3 |
| 基因名称 | Psap |
| Gene ID (NCBI) | 19156 |
| RRID | AB_3744573 |
| 偶联类型 | Unconjugated |
| 形式 | Liquid |
| 纯化方式 | Protein A purification |
| UNIPROT ID | NP_035309.3 |
| 储存缓冲液 | PBS with 0.02% sodium azide and 50% glycerol, pH 7.3. |
| 储存条件 | Store at -20°C. Stable for one year after shipment. Aliquoting is unnecessary for -20oC storage. |
背景介绍
Prosaposin (PSAP) is also named as Sulfated glycoprotein 1 (SGP-1). PSAP is a secreted neurotrophic factor and a lysosomal protein serving as the precursor of saposins (A-D), which are cofactors for hydrolases of sphingolipids (PMID: 25130661, PMID: 31220974). PSAP modulates glycosphingolipid metabolism and variants have been linked to Parkinson's disease (PD) (PMID: 37726325). As a dual-function protein, PSAP is a lysosome-associated protein that participates in a variety of cellular processes. In the lysosome, PSAP is processed to activate enzymes that degrade lipids. PSAP proteins located extracellularly are involved in cancer progression, such as proliferation and tumor death suppression signaling (PMID: 39405903). Prosaposin (PSAP) has two forms: a precursor and a secreted form. The secreted form has neurotrophic, myelinotrophic, and myotrophic properties. The precursor form is a precursor protein of saposins A-D (PMID: 33242172). Both human and mouse prosaposin are 65-70 kDa proteins cleaved in the lysosomes into four 10-15 kDa proteins designated saposins A, B, C and D (PMID: 8573994). Sulfated glycoprotein-1 (prosaposin) exists in 2 forms: a 65 kDa form targeted to lysosomes and a post-translationally modified to the 70 kDa form secreted extracellularly (PMID: 8593668).
实验方案
| Product Specific Protocols | |
|---|---|
| IF protocol for PSAP antibody 86043-3-RR | Download protocol |
| WB protocol for PSAP antibody 86043-3-RR | Download protocol |
| Standard Protocols | |
|---|---|
| Click here to view our Standard Protocols |

