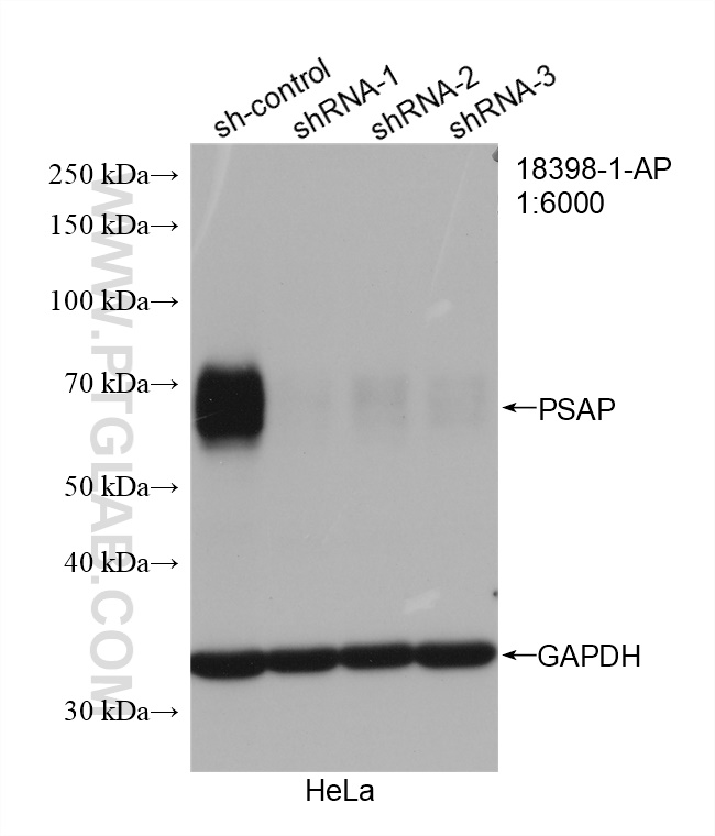
验证数据展示
经过测试的应用
| Positive WB detected in | HeLa cells, HepG2 cells |
| Positive IHC detected in | human liver cancer tissue Note: suggested antigen retrieval with TE buffer pH 9.0; (*) Alternatively, antigen retrieval may be performed with citrate buffer pH 6.0 |
| Positive IF/ICC detected in | PC-3 cells |
推荐稀释比
| 应用 | 推荐稀释比 |
|---|---|
| Western Blot (WB) | WB : 1:1000-1:4000 |
| Immunohistochemistry (IHC) | IHC : 1:20-1:200 |
| Immunofluorescence (IF)/ICC | IF/ICC : 1:50-1:500 |
| It is recommended that this reagent should be titrated in each testing system to obtain optimal results. | |
| Sample-dependent, Check data in validation data gallery. | |
发表文章中的应用
| WB | See 3 publications below |
| CoIP | See 1 publications below |
产品信息
18398-1-AP targets PSAP in WB, IHC, IF/ICC, CoIP, ELISA applications and shows reactivity with human samples.
| 经测试应用 | WB, IHC, IF/ICC, ELISA Application Description |
| 文献引用应用 | WB, CoIP |
| 经测试反应性 | human |
| 文献引用反应性 | human |
| 免疫原 |
CatNo: Ag13265 Product name: Recombinant human PSAP protein Source: e coli.-derived, PGEX-4T Tag: GST Domain: 312-392 aa of BC001503 Sequence: DVYCEVCEFLVKEVTKLIDNNKTEKEILDAFDKMCSKLPKSLSEECQEVVDTYGSSILSILLEEVSPELVCSMLHLCSGTR 种属同源性预测 |
| 宿主/亚型 | Rabbit / IgG |
| 抗体类别 | Polyclonal |
| 产品类型 | Antibody |
| 全称 | prosaposin |
| 别名 | Dispersin, CSAct, Component C, Co beta glucosidase, Cerebroside sulfate activator |
| 计算分子量 | 58 kDa |
| 观测分子量 | 60-70 kDa |
| GenBank蛋白编号 | BC001503 |
| 基因名称 | PSAP |
| Gene ID (NCBI) | 5660 |
| RRID | AB_10598315 |
| 偶联类型 | Unconjugated |
| 形式 | Liquid |
| 纯化方式 | Antigen affinity purification |
| UNIPROT ID | P07602 |
| 储存缓冲液 | PBS with 0.02% sodium azide and 50% glycerol, pH 7.3. |
| 储存条件 | Store at -20°C. Stable for one year after shipment. Aliquoting is unnecessary for -20oC storage. |
背景介绍
proteins' (SAPs) that assist in the lysosomal hydrolysis of sphingolipids. After proteolytic processing of the presaposin protein, these 4 released polypeptides are functional activators. Saposin A was encoded by residues 60 to 143 of PSAP, saposin B by 195 to 275, saposin C by 311 to 390, and saposin D by 405 to 487. There are four 12-14 kDa heatstable glycoproteins. This antibody should recognize saposin C.
实验方案
| Product Specific Protocols | |
|---|---|
| IF protocol for PSAP antibody 18398-1-AP | Download protocol |
| IHC protocol for PSAP antibody 18398-1-AP | Download protocol |
| WB protocol for PSAP antibody 18398-1-AP | Download protocol |
| Standard Protocols | |
|---|---|
| Click here to view our Standard Protocols |
发表文章
| Species | Application | Title |
|---|---|---|
Hum Mol Genet Lysosomal ceramides regulate Cathepsin B-mediated processing of saposin C and glucocerebrosidase activity. | ||
JCI Insight Inhibition of cysteine protease cathepsin Lincreases the level and activity of lysosomal glucocerebrosidase | ||
J Neurochem Prosaposin Is Cleaved Into Saposins by Multiple Cathepsins in a Progranulin-Regulated Fashion. |





