验证数据展示
经过测试的应用
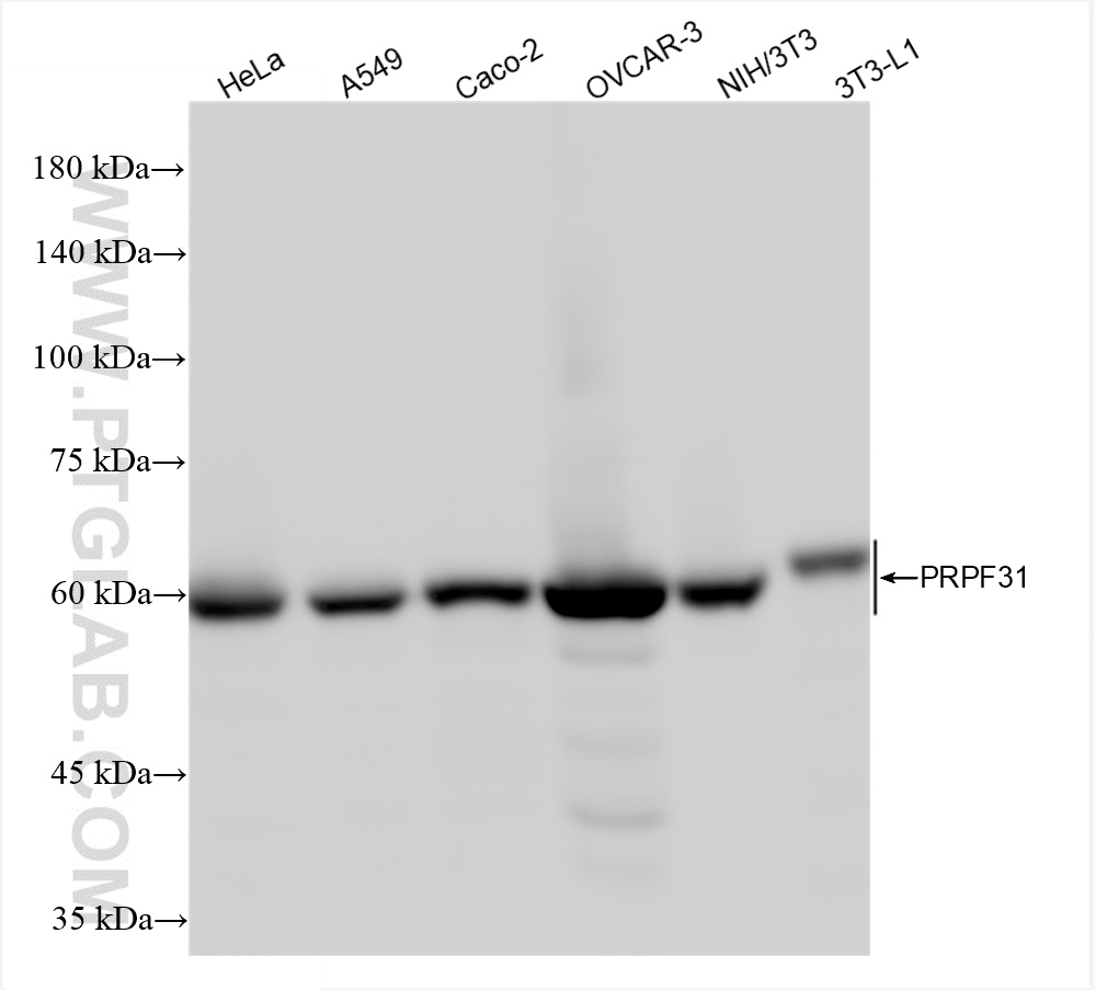
| Positive WB detected in | HeLa cells, A549 cells, Caco-2 cells, OVCAR-3 cells, NIH/3T3 cells, 3T3-L1 cells |
推荐稀释比
| 应用 | 推荐稀释比 |
|---|---|
| Western Blot (WB) | WB : 1:5000-1:50000 |
| It is recommended that this reagent should be titrated in each testing system to obtain optimal results. | |
| Sample-dependent, Check data in validation data gallery. | |
产品信息
86315-1-RR targets PRPF31 in WB, ELISA applications and shows reactivity with human, mouse samples.
| 经测试应用 | WB, ELISA Application Description |
| 经测试反应性 | human, mouse |
| 免疫原 |
CatNo: Ag26716 Product name: Recombinant human PRPF31 protein Source: e coli.-derived, PGEX-4T Tag: GST Domain: 101-212 aa of NM_015629 Sequence: MVEIENELNIIHKFIRDKYSKRFPELESLVPNALDYIRTVKELGNSLDKCKNNENLQQILTNATIMVVSVTASTTQGQQLSEEELERLEEACDMALELNASKHRIYEYVESRM 种属同源性预测 |
| 宿主/亚型 | Rabbit / IgG |
| 抗体类别 | Recombinant |
| 产品类型 | Antibody |
| 全称 | PRP31 pre-mRNA processing factor 31 homolog (S. cerevisiae) |
| 别名 | hPrp31, NY BR 99, Protein 61K, PRP31, RP11 |
| 计算分子量 | 55 kDa |
| 观测分子量 | 55-60 kDa |
| GenBank蛋白编号 | NM_015629 |
| 基因名称 | PRPF31 |
| Gene ID (NCBI) | 26121 |
| 偶联类型 | Unconjugated |
| 形式 | Liquid |
| 纯化方式 | Protein A purification |
| UNIPROT ID | Q8WWY3 |
| 储存缓冲液 | PBS with 0.02% sodium azide and 50% glycerol, pH 7.3. |
| 储存条件 | Store at -20°C. Stable for one year after shipment. Aliquoting is unnecessary for -20oC storage. |
背景介绍
PRPF31 is a component of the spliceosome complex. It is recruited to introns following the attachment of U4 and U6 RNAs and the 15.5K protein. The addition of PRPF31 is crucial for the transition of the spliceosomal complex to the activated state.
实验方案
| Product Specific Protocols | |
|---|---|
| WB protocol for PRPF31 antibody 86315-1-RR | Download protocol |
| Standard Protocols | |
|---|---|
| Click here to view our Standard Protocols |
