验证数据展示
经过测试的应用
| Positive WB detected in | HEK-293 cells, mouse brain tissue, HeLa cells, MCF-7 cells |
| Positive IP detected in | HEK-293 cells |
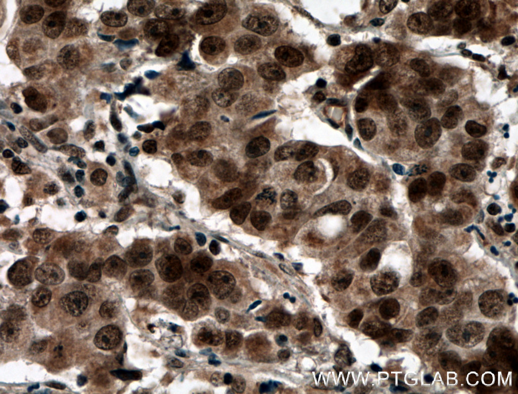
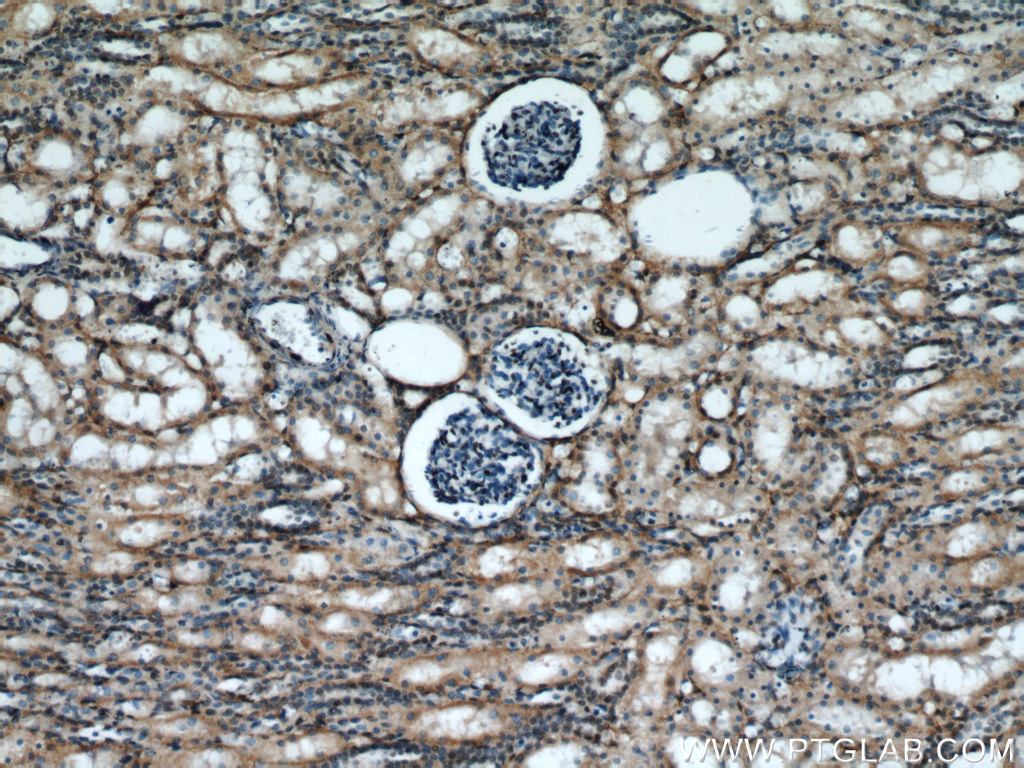
| Positive IHC detected in | human prostate cancer tissue, human kidney tissue, human breast cancer tissue, human testis tissue Note: suggested antigen retrieval with TE buffer pH 9.0; (*) Alternatively, antigen retrieval may be performed with citrate buffer pH 6.0 |
| Positive IF/ICC detected in | MCF-7 cells |
| Positive FC (Intra) detected in | MCF-7 cells |
推荐稀释比
| 应用 | 推荐稀释比 |
|---|---|
| Western Blot (WB) | WB : 1:2000-1:10000 |
| Immunoprecipitation (IP) | IP : 0.5-4.0 ug for 1.0-3.0 mg of total protein lysate |
| Immunohistochemistry (IHC) | IHC : 1:50-1:500 |
| Immunofluorescence (IF)/ICC | IF/ICC : 1:300-1:1200 |
| Flow Cytometry (FC) (INTRA) | FC (INTRA) : 0.40 ug per 10^6 cells in a 100 µl suspension |
| It is recommended that this reagent should be titrated in each testing system to obtain optimal results. | |
| Sample-dependent, Check data in validation data gallery. | |
产品信息
15395-1-AP targets PRMT6 in WB, IHC, IF/ICC, FC (Intra), IP, ELISA applications and shows reactivity with human, mouse samples.
| 经测试应用 | WB, IHC, IF/ICC, FC (Intra), IP, ELISA Application Description |
| 文献引用应用 | WB, IHC, IF |
| 经测试反应性 | human, mouse |
| 文献引用反应性 | human, mouse |
| 免疫原 |
CatNo: Ag7592 Product name: Recombinant human PRMT6 protein Source: e coli.-derived, PGEX-4T Tag: GST Domain: 1-316 aa of BC002729 Sequence: MIADRVRTDAYRLGILRNWAALRGKTVLDVGAGTGILSIFCAQAGARRVYAVEASAIWQQAREVVRFNGLEDRVHVLPGPVETVELPEQVDAIVSEWMGYGLLHESMLSSVLHARTKWLKEGGLLLPASAELFIAPISDQMLEWRLGFWSQVKQHYGVDMSCLEGFATRCLMGHSEIVVQGLSGEDVLARPQRFAQLELSRAGLEQELEAGVGGRFRCSCYGSAPMHGFAIWFQVTFPGGESEKPLVLSTSPFHPATHWKQALLYLNEPVQVEQDTDVSGEITLLPSRDNPRRLRVLLRYKVGDQEEKTKDFAMED 种属同源性预测 |
| 宿主/亚型 | Rabbit / IgG |
| 抗体类别 | Polyclonal |
| 产品类型 | Antibody |
| 全称 | protein arginine methyltransferase 6 |
| 别名 | EC:2.1.1.319, Heterogeneous nuclear ribonucleoprotein methyltransferase-like protein 6, Histone-arginine N-methyltransferase PRMT6, HRMT1L6, PRMT 6 |
| 计算分子量 | 42 kDa |
| 观测分子量 | 42 kDa |
| GenBank蛋白编号 | BC002729 |
| 基因名称 | PRMT6 |
| Gene ID (NCBI) | 55170 |
| RRID | AB_2237723 |
| 偶联类型 | Unconjugated |
| 形式 | Liquid |
| 纯化方式 | Antigen affinity purification |
| UNIPROT ID | Q96LA8 |
| 储存缓冲液 | PBS with 0.02% sodium azide and 50% glycerol, pH 7.3. |
| 储存条件 | Store at -20°C. Stable for one year after shipment. Aliquoting is unnecessary for -20oC storage. |
背景介绍
PRMT6 belongs to the protein arginine methyltransferase (PRMT) family that catalyzes the mono- and dimethylation of arginine residues in a variety of proteins. PRMT6 is a nuclear protein and is predominantly expressed in testis and kidney. Western blot analysis using this antibody detected a major band around 42 kDa in HeLa cells.
实验方案
| Product Specific Protocols | |
|---|---|
| FC protocol for PRMT6 antibody 15395-1-AP | Download protocol |
| IF protocol for PRMT6 antibody 15395-1-AP | Download protocol |
| IHC protocol for PRMT6 antibody 15395-1-AP | Download protocol |
| IP protocol for PRMT6 antibody 15395-1-AP | Download protocol |
| WB protocol for PRMT6 antibody 15395-1-AP | Download protocol |
| Standard Protocols | |
|---|---|
| Click here to view our Standard Protocols |
发表文章
| Species | Application | Title |
|---|---|---|
EMBO Rep Arginine methylation of SIRT7 couples glucose sensing with mitochondria biogenesis.
| ||
PLoS Pathog SHMT2 and the BRCC36/BRISC deubiquitinase regulate HIV-1 Tat K63-ubiquitylation and destruction by autophagy. | ||
Mol Metab Disrupted Liver Oxidative Metabolism in Glycine N-Methyltransferase-Deficient Mice is Mitigated by Dietary Methionine Restriction. | ||
Aging (Albany NY) Cigarette smoke extract induces airway epithelial cell death via repressing PRMT6/AKT signaling. | ||
Front Cell Dev Biol F-Box Protein FBXW17-Mediated Proteasomal Degradation of Protein Methyltransferase PRMT6 Exaggerates CSE-Induced Lung Epithelial Inflammation and Apoptosis. | ||
Int J Oncol Inhibition of protein arginine methyltransferase 6 activates interferon signaling and induces the apoptosis of endometrial cancer cells via histone modification |












