验证数据展示
经过测试的应用
| Positive WB detected in | human testis tissue |
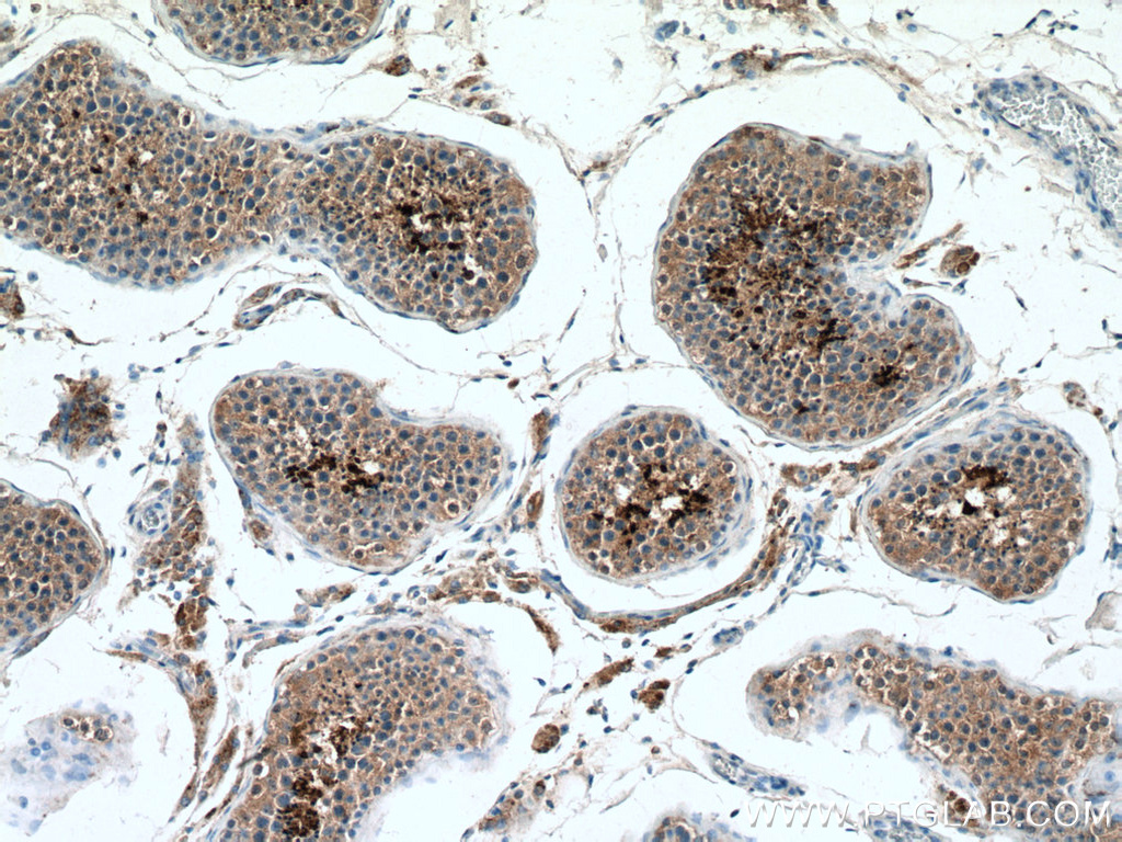
| Positive IHC detected in | human testis tissue Note: suggested antigen retrieval with TE buffer pH 9.0; (*) Alternatively, antigen retrieval may be performed with citrate buffer pH 6.0 |
推荐稀释比
| 应用 | 推荐稀释比 |
|---|---|
| Western Blot (WB) | WB : 1:200-1:1000 |
| Immunohistochemistry (IHC) | IHC : 1:250-1:1000 |
| It is recommended that this reagent should be titrated in each testing system to obtain optimal results. | |
| Sample-dependent, Check data in validation data gallery. | |
产品信息
14500-1-AP targets PRM2 in WB, IHC, IF, ELISA applications and shows reactivity with human samples.
| 经测试应用 | WB, IHC, ELISA Application Description |
| 文献引用应用 | WB, IHC, IF |
| 经测试反应性 | human |
| 文献引用反应性 | human, mouse |
| 免疫原 |
CatNo: Ag5952 Product name: Recombinant human PRM2 protein Source: e coli.-derived, PGEX-4T Tag: GST Domain: 1-102 aa of BC066338 Sequence: MVRYRVRSLSERSHEVYRQQLHGQEQGHHGQEEQGLSPEHVEVYERTHGQSHYRRRHCSRRRLHRIHRRQHRSCRRRKRRSCRHRRRHRRGCRTRKRTCRRH 种属同源性预测 |
| 宿主/亚型 | Rabbit / IgG |
| 抗体类别 | Polyclonal |
| 产品类型 | Antibody |
| 全称 | protamine 2 |
| 别名 | Sperm histone HP2, Protamine-2, Basic nuclear protein HPS2, Basic nuclear protein HPS1, Basic nuclear protein HPI2 |
| 计算分子量 | 13 kDa |
| 观测分子量 | 10-25 kDa |
| GenBank蛋白编号 | BC066338 |
| 基因名称 | PRM2 |
| Gene ID (NCBI) | 5620 |
| RRID | AB_2721024 |
| 偶联类型 | Unconjugated |
| 形式 | Liquid |
| 纯化方式 | Antigen affinity purification |
| UNIPROT ID | P04554 |
| 储存缓冲液 | PBS with 0.02% sodium azide and 50% glycerol, pH 7.3. |
| 储存条件 | Store at -20°C. Stable for one year after shipment. Aliquoting is unnecessary for -20oC storage. |
背景介绍
PRM2 (Protamine-2) is the main DNA-binding protein in the sperm nucleus, consisting of a C-terminal mature PRM2 (mPRM2) domain and an N-terminal lytic PRM2 (cPRM2) domain, which is lyzed sequentially after binding to DNA. PRM2 plays an important role in spermatogenesis and development. PRM2 is specifically expressed in sperm and localized in the sperm nucleus.
实验方案
| Product Specific Protocols | |
|---|---|
| IHC protocol for PRM2 antibody 14500-1-AP | Download protocol |
| WB protocol for PRM2 antibody 14500-1-AP | Download protocol |
| Standard Protocols | |
|---|---|
| Click here to view our Standard Protocols |
发表文章
| Species | Application | Title |
|---|---|---|
Mol Cell Chromodomain Protein CDYL Acts as a Crotonyl-CoA Hydratase to Regulate Histone Crotonylation and Spermatogenesis. | ||
J Hazard Mater Multi-omics analyses reveal the mechanisms of Arsenic-induced male reproductive toxicity in mice. | ||
Environ Pollut Silica nanoparticles induce spermatogenesis disorders via L3MBTL2-DNA damage-p53 apoptosis and RNF8-ubH2A/ubH2B pathway in mice. | ||
Environ Pollut Silica nanoparticles inhibiting the differentiation of round spermatid and chromatin remodeling of haploid period via MIWI in mice. | ||
Hum Reprod Posttranslational lysine 2-hydroxyisobutyrylation of human sperm tail proteins affects motility. |


