验证数据展示
经过测试的应用
| Positive WB detected in | A431 cells, mouse liver tissue, rat liver tissue, HeLa cells, Jurkat cells |
| Positive IP detected in | HeLa cells |
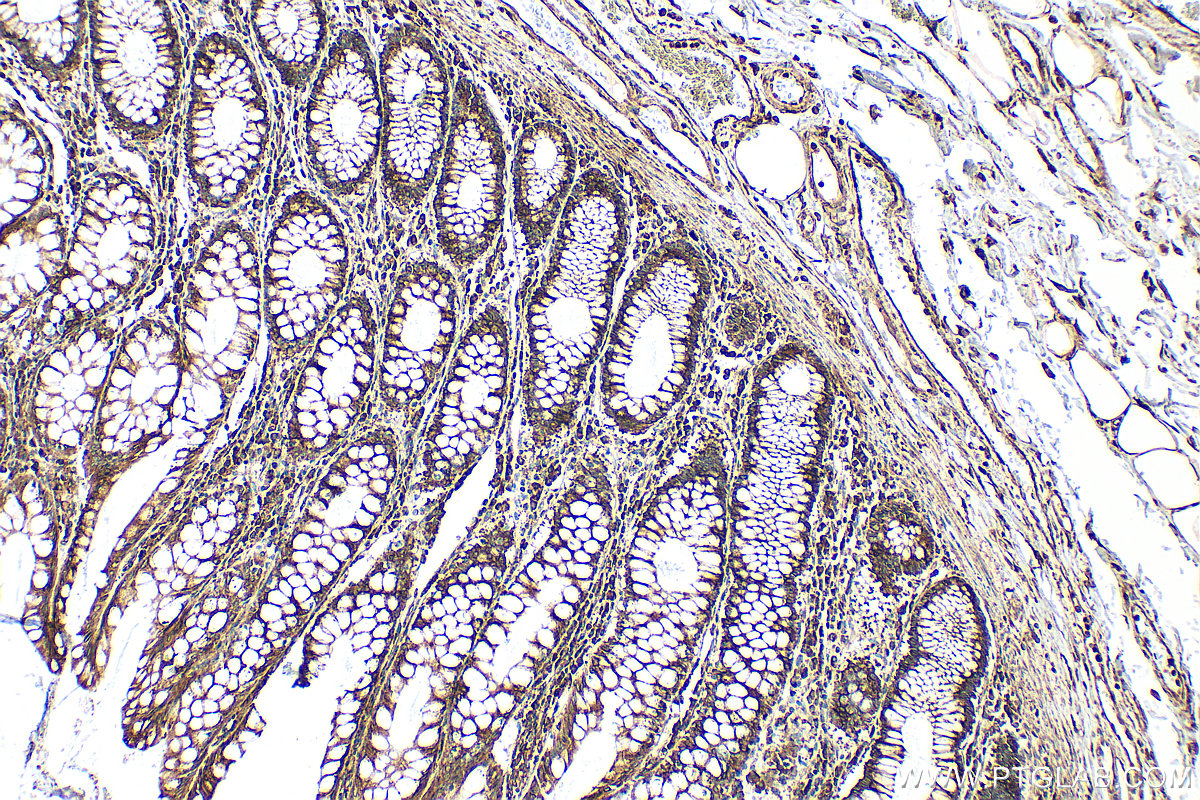
| Positive IHC detected in | human colon tissue, human kidney tissue Note: suggested antigen retrieval with TE buffer pH 9.0; (*) Alternatively, antigen retrieval may be performed with citrate buffer pH 6.0 |
| Positive IF/ICC detected in | HeLa cells |
推荐稀释比
| 应用 | 推荐稀释比 |
|---|---|
| Western Blot (WB) | WB : 1:2000-1:8000 |
| Immunoprecipitation (IP) | IP : 0.5-4.0 ug for 1.0-3.0 mg of total protein lysate |
| Immunohistochemistry (IHC) | IHC : 1:500-1:2000 |
| Immunofluorescence (IF)/ICC | IF/ICC : 1:50-1:500 |
| It is recommended that this reagent should be titrated in each testing system to obtain optimal results. | |
| Sample-dependent, Check data in validation data gallery. | |
产品信息
12148-1-AP targets PRKCSH in WB, IHC, IF/ICC, IP, ELISA applications and shows reactivity with human, mouse, rat samples.
| 经测试应用 | WB, IHC, IF/ICC, IP, ELISA Application Description |
| 文献引用应用 | WB, IHC, IF |
| 经测试反应性 | human, mouse, rat |
| 文献引用反应性 | human, mouse, rat |
| 免疫原 |
CatNo: Ag2796 Product name: Recombinant human PRKCSH protein Source: e coli.-derived, PGEX-4T Tag: GST Domain: 157-506 aa of BC013586 Sequence: TVKEEAEKPEREAKEQHQKLWEEQLAAAKAQQEQELAADAFKELDDDMDGTVSVTELQTHPELDTDGDGALSEAEAQALLSGDTQTDATSFYDRVWAAIRDKYRSEALPTDLPTPSAPDLTEPKEEQPPVPSSPTEEEEEEEEEEEEAEEEEEEEDSEEAPPPLSPPQPASPAEEDKMPPYDEQTQAFIDAAQEARNKFEEAERSLKDMEESIRNLEQEISFDFGPNGEFAYLYSQCYELTTNEYVYRLCPFKLVSQKPKLGGSPTSLGTWGSWIGPDHDKFSAMKYEQGTGCWQGPNRSTTVRLLCGKETMVTSTTEPSRCEYLMELMTPAACPEPPPEAPTEDDHDEL 种属同源性预测 |
| 宿主/亚型 | Rabbit / IgG |
| 抗体类别 | Polyclonal |
| 产品类型 | Antibody |
| 全称 | protein kinase C substrate 80K-H |
| 别名 | 80K H protein, 80K-H protein, G19P1, Glucosidase 2 subunit beta, Glucosidase II subunit beta |
| 计算分子量 | 80 kDa |
| 观测分子量 | 80 kDa |
| GenBank蛋白编号 | BC013586 |
| 基因名称 | PRKCSH |
| Gene ID (NCBI) | 5589 |
| RRID | AB_2253107 |
| 偶联类型 | Unconjugated |
| 形式 | Liquid |
| 纯化方式 | Antigen affinity purification |
| UNIPROT ID | P14314 |
| 储存缓冲液 | PBS with 0.02% sodium azide and 50% glycerol, pH 7.3. |
| 储存条件 | Store at -20°C. Stable for one year after shipment. Aliquoting is unnecessary for -20oC storage. |
背景介绍
PRKCSH encodes the beta-subunit of glucosidase II, an N-linked glycan-processing enzyme in the endoplasmic reticulum (ER). This protein is an acidic phospho-protein known to be a substrate for protein kinase C. Defects in PRKCSH are a cause of an autosomal dominant polycystic liver disease (PCLD). Glucosidase II is an ER-localized enzyme that contains α and β subunits (Glucosidase IIα and Glucosidase IIβ) which form a defined heterodimeric complex.
实验方案
| Product Specific Protocols | |
|---|---|
| IF protocol for PRKCSH antibody 12148-1-AP | Download protocol |
| IHC protocol for PRKCSH antibody 12148-1-AP | Download protocol |
| IP protocol for PRKCSH antibody 12148-1-AP | Download protocol |
| WB protocol for PRKCSH antibody 12148-1-AP | Download protocol |
| Standard Protocols | |
|---|---|
| Click here to view our Standard Protocols |
发表文章
| Species | Application | Title |
|---|---|---|
Exp Mol Med PRKCSH contributes to TNFSF resistance by extending IGF1R half-life and activation in lung cancer | ||
Nat Commun PRKCSH contributes to tumorigenesis by selective boosting of IRE1 signaling pathway.
| ||
J Cell Biol Competition for calnexin binding regulates secretion and turnover of misfolded GPI-anchored proteins | ||
Exp Physiol AGEs-RAGE axis mediates myocardial fibrosis via activation of cardiac fibroblasts induced by autophagy in heart failure. | ||
Cell Rep Spatial region-resolved proteome map reveals mechanism of COVID-19-associated heart injury. | ||
Biochim Biophys Acta Hepatocystin/80K-H inhibits replication of hepatitis B virus through interaction with HBx protein in hepatoma cell. |







