验证数据展示
产品信息
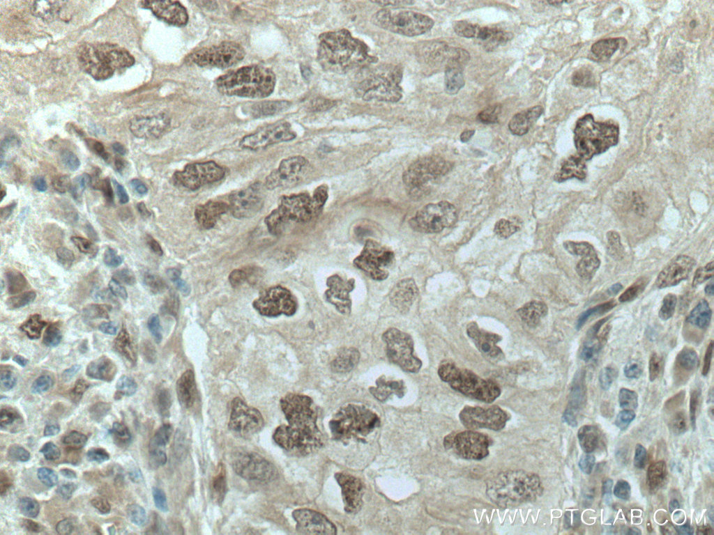
67027-1-PBS targets PRC1 in WB, IHC, IF/ICC, Indirect ELISA applications and shows reactivity with human, mouse, rat samples.
| 经测试应用 | WB, IHC, IF/ICC, Indirect ELISA Application Description |
| 经测试反应性 | human, mouse, rat |
| 免疫原 |
CatNo: Ag5907 Product name: Recombinant human PRC1 protein Source: e coli.-derived, PET28a Tag: 6*His Domain: 154-446 aa of BC003138 Sequence: NQFRQHVTTLRETKASRREEFVSIKRQIILCMEELDHTPDTSFERDVVCEDEDAFCLSLENIATLQKLLRQLEMQKSQNEAVCEGLRTQIRELWDRLQIPEEEREAVATIMSGSKAKVRKALQLEVDRLEELKMQNMKKVIEAIRVELVQYWDQCFYSQEQRQAFAPFCAEDYTESLLQLHDAEIVRLKNYYEVHKELFEGVQKWEETWRLFLEFERKASDPNRFTNRGGNLLKEEKQRAKLQKMLPKLEEELKARIELWEQEHSKAFMVNGQKFMEYVAEQWEMHRLEKERA 种属同源性预测 |
| 宿主/亚型 | Mouse / IgG1 |
| 抗体类别 | Monoclonal |
| 产品类型 | Antibody |
| 全称 | protein regulator of cytokinesis 1 |
| 别名 | 1E1D5, ASE1 |
| 计算分子量 | 72 kDa |
| 观测分子量 | 66-72 kDa |
| GenBank蛋白编号 | BC003138 |
| 基因名称 | PRC1 |
| Gene ID (NCBI) | 9055 |
| RRID | AB_2882342 |
| 偶联类型 | Unconjugated |
| 形式 | Liquid |
| 纯化方式 | Protein A purification |
| UNIPROT ID | O43663 |
| 储存缓冲液 | PBS only, pH 7.3. |
| 储存条件 | Store at -80°C. The product is shipped with ice packs. Upon receipt, store it immediately at -80°C |
背景介绍
PRC1 (protein regulator of cytokinesis 1) is a microtubule-bundling protein that is involved in cytokinesis. Depletion of PRC1 leads to failed cytokinesis. PRC1 is located in the nucleus during interphase, and becomes associated with mitotic spindles in a highly dynamic manner during mitosis, and localizes to the cell mid-body during cytokinesis. PRC1 is a substrate of CDK1 and it was assumed that CDK1 phosphorylation blocks its activity during metaphase. Three isoforms of PRC1 exist due to the alternative splicing, with predictive molecular weight of 71.6 kDa, 70.2 kDa and 66.2 kDa, respectively. The dual bands between 66-72 kDa detected by this antibody may represent different forms of PRC1.







