验证数据展示
经过测试的应用
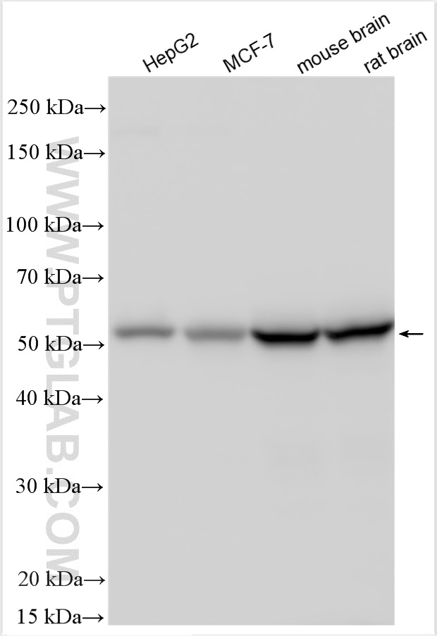
| Positive WB detected in | HepG2 cells, MCF-7 cells, mouse brain tissue, rat brain tissue |
| Positive IHC detected in | mouse brain tissue Note: suggested antigen retrieval with TE buffer pH 9.0; (*) Alternatively, antigen retrieval may be performed with citrate buffer pH 6.0 |
推荐稀释比
| 应用 | 推荐稀释比 |
|---|---|
| Western Blot (WB) | WB : 1:1000-1:6000 |
| Immunohistochemistry (IHC) | IHC : 1:400-1:800 |
| It is recommended that this reagent should be titrated in each testing system to obtain optimal results. | |
| Sample-dependent, Check data in validation data gallery. | |
发表文章中的应用
| WB | See 1 publications below |
产品信息
29237-1-AP targets PPP2R2B/A/C/D in WB, IHC, ELISA applications and shows reactivity with Human, Mouse, Rat samples.
| 经测试应用 | WB, IHC, ELISA Application Description |
| 文献引用应用 | WB |
| 经测试反应性 | Human, Mouse, Rat |
| 文献引用反应性 | mouse |
| 免疫原 |
CatNo: Ag30757 Product name: Recombinant human PPP2R2B protein Source: e coli.-derived, PGEX-4T Tag: GST Domain: 290-443 aa of BC031790 Sequence: SHSGRYIMTRDYLTVKVWDLNMENRPIETYQVHDYLRSKLCSLYENDCIFDKFECVWNGSDSVIMTGSYNNFFRMFDRNTKRDVTLEASRENSKPRAILKPRKVCVGGKRRKDEISVDSLDFSKKILHTAWHPSENIIAVAATNNLYIFQDKVN 种属同源性预测 |
| 宿主/亚型 | Rabbit / IgG |
| 抗体类别 | Polyclonal |
| 产品类型 | Antibody |
| 全称 | protein phosphatase 2 (formerly 2A), regulatory subunit B, beta isoform |
| 别名 | B55 BETA, B55β, FLJ95686, PP2A B55BETA, PP2A PR55B, PP2A subunit B isoform beta, PP2A subunit B isoform R2 beta, PP2AB BETA, PP2APR55 BETA, PPP2R2B, PPP2R2B/A/C/D, PR2AB BETA, PR2AB55 BETA, PR2APR55 BETA, PR52B, PR55 BETA, SCA12 |
| 计算分子量 | 443 aa, 52 kDa |
| 观测分子量 | 52 kDa |
| GenBank蛋白编号 | BC031790 |
| 基因名称 | PPP2R2B |
| Gene ID (NCBI) | 5521 |
| RRID | AB_3086106 |
| 偶联类型 | Unconjugated |
| 形式 | Liquid |
| 纯化方式 | Antigen affinity purification |
| UNIPROT ID | Q00005 |
| 储存缓冲液 | PBS with 0.02% sodium azide and 50% glycerol, pH 7.3. |
| 储存条件 | Store at -20°C. Stable for one year after shipment. Aliquoting is unnecessary for -20oC storage. |
背景介绍
The PPP2R2B gene encodes a deduced 443 amino acid protein of approximately 52 kDa, which is a brain-specific regulatory subunit B of protein phosphatase 2. PPP2R2B is a Subunit of PP2A, a highly conserved constitutive enzyme(PMID:11719278). PPP2R2B (Bβ) is an important regulator of protein phosphatase 2A (PP2A) activity in the brain. Through differential promoter usage and alternative splicing, two major isoforms Bβ1 and Bβ2 with divergent sub-cellular targeting N termini are produced. Bβ plays an important role in neuronal survival. It has 5 isoforms produced by alternative splicing. The antibody cross-reacts with PPP2R2A, PPP2R2C, and PPP2R2D due to high immunogen homology between PPP2R2B and PPP2R2A, PPP2R2C, and PPP2R2D.
实验方案
| Product Specific Protocols | |
|---|---|
| IHC protocol for PPP2R2B/A/C/D antibody 29237-1-AP | Download protocol |
| WB protocol for PPP2R2B/A/C/D antibody 29237-1-AP | Download protocol |
| Standard Protocols | |
|---|---|
| Click here to view our Standard Protocols |


