验证数据展示
产品信息
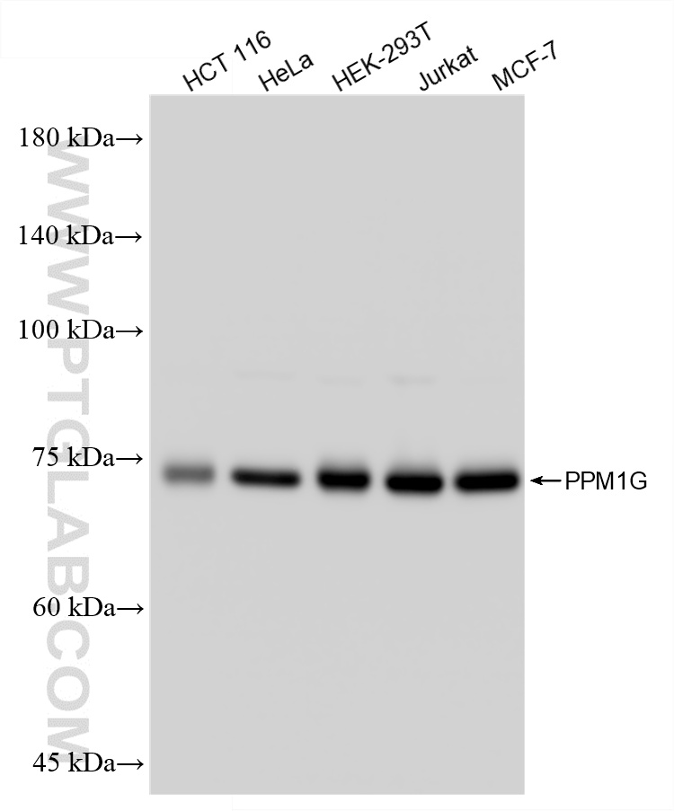
87250-3-PBS targets PPM1G in WB, IHC, IF/ICC, Indirect ELISA applications and shows reactivity with human samples.
| 经测试应用 | WB, IHC, IF/ICC, Indirect ELISA Application Description |
| 经测试反应性 | human |
| 免疫原 |
CatNo: Ag7751 Product name: Recombinant human PPM1G protein Source: e coli.-derived, T-HIS Tag: 6*His Domain: 191-546 aa of BC000057 Sequence: GPEDSTRETPSQENGPTAKAYTGFSSNSERGTEAGQVGEPGIPTGEAGPSCSSASDKLPRVAKSKFFEDSEDESDEAEEEEEDSEECSEEEDGYSSEEAENEEDEDDTEEAEEDDEEEEEEMMVPGMEGKEEPGSDSGTTAVVALIRGKQLIVANAGDSRCVVSEAGKALDMSYDHKPEDEVELARIKNAGGKVTMDGRVNGGLNLSRAIGDHFYKRNKNLPPEEQMISALPDIKVLTLTDDHEFMVIACDGIWNVMSSQEVVDFIQSKISQRDENGELRLLSSIVEELLDQCLAPDTSGDGTGCDNMTCIIICFKPRNTAELQPESGKRKLEEVLSTEGAEENGNSDKKKKAKRD 种属同源性预测 |
| 宿主/亚型 | Rabbit / IgG |
| 抗体类别 | Recombinant |
| 产品类型 | Antibody |
| 全称 | protein phosphatase 1G (formerly 2C), magnesium-dependent, gamma isoform |
| 别名 | EC:3.1.3.16, PP2C gamma, PP2CG, PP2CGAMMA, PP2C-gamma |
| 计算分子量 | 59 kDa |
| 观测分子量 | 70 kDa |
| GenBank蛋白编号 | BC000057 |
| 基因名称 | PPM1G |
| Gene ID (NCBI) | 5496 |
| 偶联类型 | Unconjugated |
| 形式 | Liquid |
| 纯化方式 | Protein A purification |
| UNIPROT ID | O15355 |
| 储存缓冲液 | PBS only, pH 7.3. |
| 储存条件 | Store at -80°C. The product is shipped with ice packs. Upon receipt, store it immediately at -80°C |



