验证数据展示
经过测试的应用
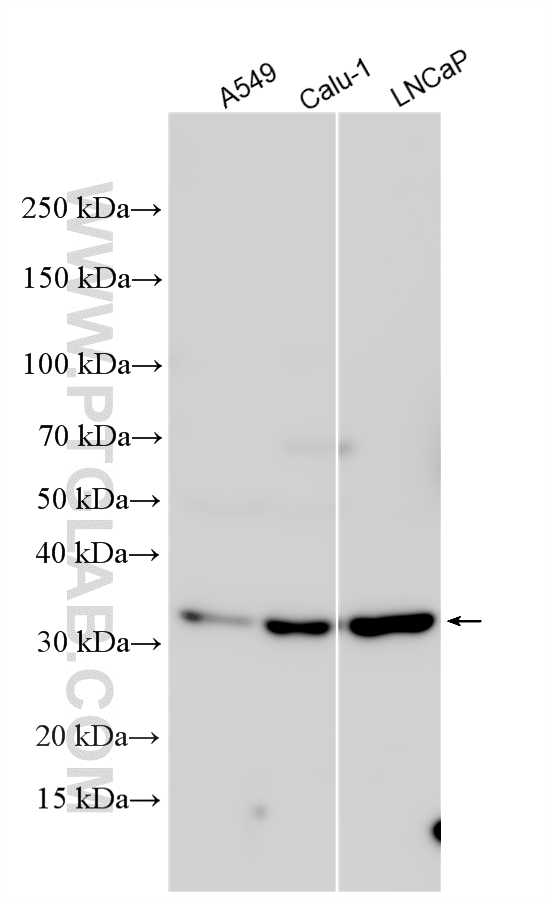
| Positive WB detected in | A549 cells, HeLa cells, Calu-1 cells, LNCaP cells |
| Positive IHC detected in | human kidney tissue, human lung tissue, human ovary tissue, human placenta tissue, human spleen tissue, human testis tissue Note: suggested antigen retrieval with TE buffer pH 9.0; (*) Alternatively, antigen retrieval may be performed with citrate buffer pH 6.0 |
推荐稀释比
| 应用 | 推荐稀释比 |
|---|---|
| Western Blot (WB) | WB : 1:500-1:3000 |
| Immunohistochemistry (IHC) | IHC : 1:20-1:200 |
| It is recommended that this reagent should be titrated in each testing system to obtain optimal results. | |
| Sample-dependent, Check data in validation data gallery. | |
发表文章中的应用
| WB | See 1 publications below |
| IF | See 1 publications below |
产品信息
18001-1-AP targets PPCS in WB, IHC, IF, ELISA applications and shows reactivity with human, mouse, rat samples.
| 经测试应用 | WB, IHC, ELISA Application Description |
| 文献引用应用 | WB, IF |
| 经测试反应性 | human, mouse, rat |
| 文献引用反应性 | human |
| 免疫原 |
CatNo: Ag12491 Product name: Recombinant human PPCS protein Source: e coli.-derived, PET28a Tag: 6*His Domain: 1-311 aa of BC106064 Sequence: MAEMDPVAEFPQPPGAARWAEVMARFAARLGAQGRRVVLVTSGGTKVPLEARPVRFLDNFSSGRRGATSAEAFLAAGYGVLFLYRARSAFPYAHRFPPQTWLSALRPSGPALSGLLSLEAEENALPGFAEALRSYQEAAAAGTFLAVEFTTLADYLHLLQAAAQALNPLGPSAMFYLAAAVSDFYVPVSEMPEHKIQSSGGPLQITMKMVPKLLSPLVKDWAPKAFIISFKLETDPAIVINRARKALEIYQHQVVVANILESRQSFVFIVTKDSETKLLLSEEEIEKGVEIEEKIVDNLQSRHTAFIGDRN 种属同源性预测 |
| 宿主/亚型 | Rabbit / IgG |
| 抗体类别 | Polyclonal |
| 产品类型 | Antibody |
| 全称 | phosphopantothenoylcysteine synthetase |
| 别名 | COAB, EC:6.3.2.51, Phosphopantothenate--cysteine ligase, PPC synthetase |
| 计算分子量 | 311 aa, 34 kDa |
| 观测分子量 | 34 kDa |
| GenBank蛋白编号 | BC106064 |
| 基因名称 | PPCS |
| Gene ID (NCBI) | 79717 |
| RRID | AB_10548725 |
| 偶联类型 | Unconjugated |
| 形式 | Liquid |
| 纯化方式 | Antigen affinity purification |
| UNIPROT ID | Q9HAB8 |
| 储存缓冲液 | PBS with 0.02% sodium azide and 50% glycerol, pH 7.3. |
| 储存条件 | Store at -20°C. Stable for one year after shipment. Aliquoting is unnecessary for -20oC storage. |
背景介绍
PPCS(Phosphopantothenate--cysteine ligase) is also named as COAB and belongs to the PPC synthetase family. It catalyzes the first step in the biosynthesis of coenzyme A from vitamin B5, where cysteine is conjugated to 4'-phosphopantothenate to form 4-phosphopantothenoylcysteine. It can be exsit as a homodimer(PMID:12906824).
实验方案
| Product Specific Protocols | |
|---|---|
| IHC protocol for PPCS antibody 18001-1-AP | Download protocol |
| WB protocol for PPCS antibody 18001-1-AP | Download protocol |
| Standard Protocols | |
|---|---|
| Click here to view our Standard Protocols |
发表文章
| Species | Application | Title |
|---|---|---|
FEBS J Coenzyme A mitigates cystine-deprivation-induced ferroptosis by suppressing the iron-starvation response. |













