验证数据展示
经过测试的应用
| Positive WB detected in | mouse liver tissue, human liver tissue, human plasma tissue |
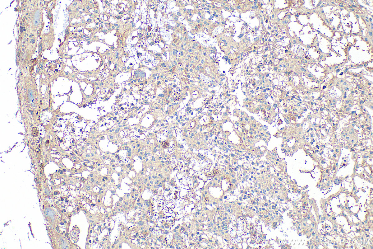
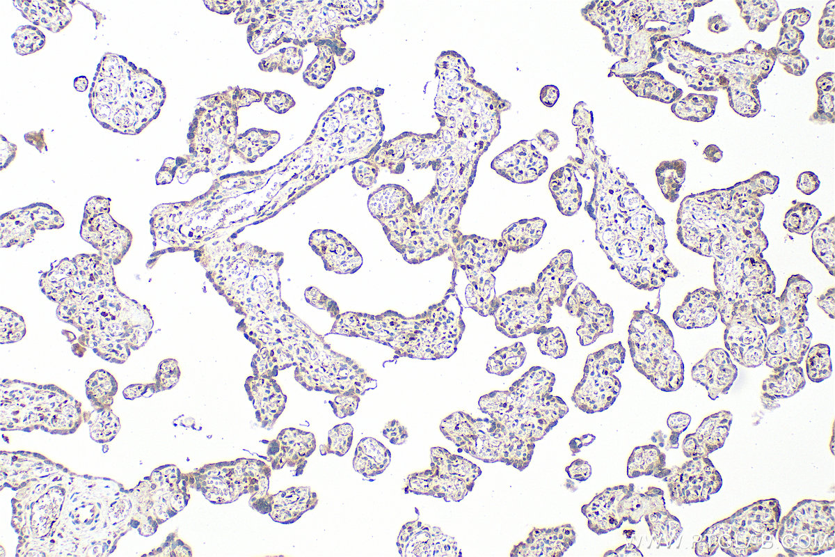
| Positive IHC detected in | mouse placenta tissue, human placenta tissue Note: suggested antigen retrieval with TE buffer pH 9.0; (*) Alternatively, antigen retrieval may be performed with citrate buffer pH 6.0 |
推荐稀释比
| 应用 | 推荐稀释比 |
|---|---|
| Western Blot (WB) | WB : 1:200-1:1000 |
| Immunohistochemistry (IHC) | IHC : 1:50-1:500 |
| It is recommended that this reagent should be titrated in each testing system to obtain optimal results. | |
| Sample-dependent, Check data in validation data gallery. | |
发表文章中的应用
| WB | See 1 publications below |
产品信息
13313-1-AP targets CXCL7/PPBP in WB, IHC, ELISA applications and shows reactivity with human, mouse samples.
| 经测试应用 | WB, IHC, ELISA Application Description |
| 文献引用应用 | WB |
| 经测试反应性 | human, mouse |
| 文献引用反应性 | mouse |
| 免疫原 |
CatNo: Ag4147 Product name: Recombinant human PPBP protein Source: e coli.-derived, PGEX-4T Tag: GST Domain: 31-128 aa of BC028217 Sequence: TALASSTKGQTKRNLAKGKEESLDSDLYAELRCMCIKTTSGIHPKNIQSLEVIGKGTHCNQVEVIATLKDGRKICLDPDAPRIKKIVQKKLAGDESAD 种属同源性预测 |
| 宿主/亚型 | Rabbit / IgG |
| 抗体类别 | Polyclonal |
| 产品类型 | Antibody |
| 全称 | pro-platelet basic protein (chemokine (C-X-C motif) ligand 7) |
| 别名 | PPBP,NAP2, CXCL7, NAP-2, PPBP, PPBP/NAP2 |
| 计算分子量 | 128 aa, 14 kDa |
| 观测分子量 | 8-14 kDa |
| GenBank蛋白编号 | BC028217 |
| 基因名称 | PPBP |
| Gene ID (NCBI) | 5473 |
| RRID | AB_10597238 |
| 偶联类型 | Unconjugated |
| 形式 | Liquid |
| 纯化方式 | Antigen affinity purification |
| UNIPROT ID | P02775 |
| 储存缓冲液 | PBS with 0.02% sodium azide and 50% glycerol, pH 7.3. |
| 储存条件 | Store at -20°C. Stable for one year after shipment. Aliquoting is unnecessary for -20oC storage. |
背景介绍
PPBP, slso named as NAP2, or β-Thromboglobulin, is a platelet-derived growth factor that belongs to the CXC chemokine family. This growth factor is a potent chemoattractant and activator of neutrophils. It has been shown to stimulate various cellular processes including DNA synthesis, mitosis, glycolysis, intracellular cAMP accumulation, prostaglandin E2 secretion, and synthesis of hyaluronic acid and sulfated glycosaminoglycan. It also stimulates the formation and secretion of plasminogen activator by synovial cells.
实验方案
| Product Specific Protocols | |
|---|---|
| WB protocol for CXCL7/PPBP antibody 13313-1-AP | Download protocol |
| IHC protocol for CXCL7/PPBP antibody 13313-1-AP | Download protocol |
| Standard Protocols | |
|---|---|
| Click here to view our Standard Protocols |






