验证数据展示
经过测试的应用
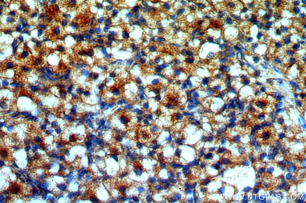
| Positive IHC detected in | mouse ovary tissue, human ovary tissue Note: suggested antigen retrieval with TE buffer pH 9.0; (*) Alternatively, antigen retrieval may be performed with citrate buffer pH 6.0 |
| Positive IF/ICC detected in | HepG2 cells |
推荐稀释比
| 应用 | 推荐稀释比 |
|---|---|
| Immunohistochemistry (IHC) | IHC : 1:50-1:500 |
| Immunofluorescence (IF)/ICC | IF/ICC : 1:50-1:500 |
| It is recommended that this reagent should be titrated in each testing system to obtain optimal results. | |
| Sample-dependent, Check data in validation data gallery. | |
产品信息
20203-1-AP targets POTEA-Specific in IHC, IF/ICC, ELISA applications and shows reactivity with human, mouse samples.
| 经测试应用 | IHC, IF/ICC, ELISA Application Description |
| 经测试反应性 | human, mouse |
| 免疫原 |
Peptide 种属同源性预测 |
| 宿主/亚型 | Rabbit / IgG |
| 抗体类别 | Polyclonal |
| 产品类型 | Antibody |
| 全称 | POTE ankyrin domain family, member A |
| 别名 | A26A1, ANKRD26 like family A member 1, POTE 8, POTE8, POTEA, POTEA-Specific |
| 计算分子量 | 56 kDa |
| GenBank蛋白编号 | NM_001002920 |
| 基因名称 | POTEA |
| Gene ID (NCBI) | 340441 |
| RRID | AB_10666735 |
| 偶联类型 | Unconjugated |
| 形式 | Liquid |
| 纯化方式 | Antigen affinity purification |
| UNIPROT ID | Q6S8J7 |
| 储存缓冲液 | PBS with 0.02% sodium azide and 50% glycerol, pH 7.3. |
| 储存条件 | Store at -20°C. Stable for one year after shipment. Aliquoting is unnecessary for -20oC storage. |
背景介绍
POTEA, also named as A26A1 and POTE8, belongs to the POTE family. POTE has an important signaling function in the reproductive system. The antibody is specific to POTEA.
实验方案
| Product Specific Protocols | |
|---|---|
| IF protocol for POTEA-Specific antibody 20203-1-AP | Download protocol |
| IHC protocol for POTEA-Specific antibody 20203-1-AP | Download protocol |
| Standard Protocols | |
|---|---|
| Click here to view our Standard Protocols |



