验证数据展示
经过测试的应用
| Positive WB detected in | human kidney tissue, HEK-293 cells, HepG2 cells |
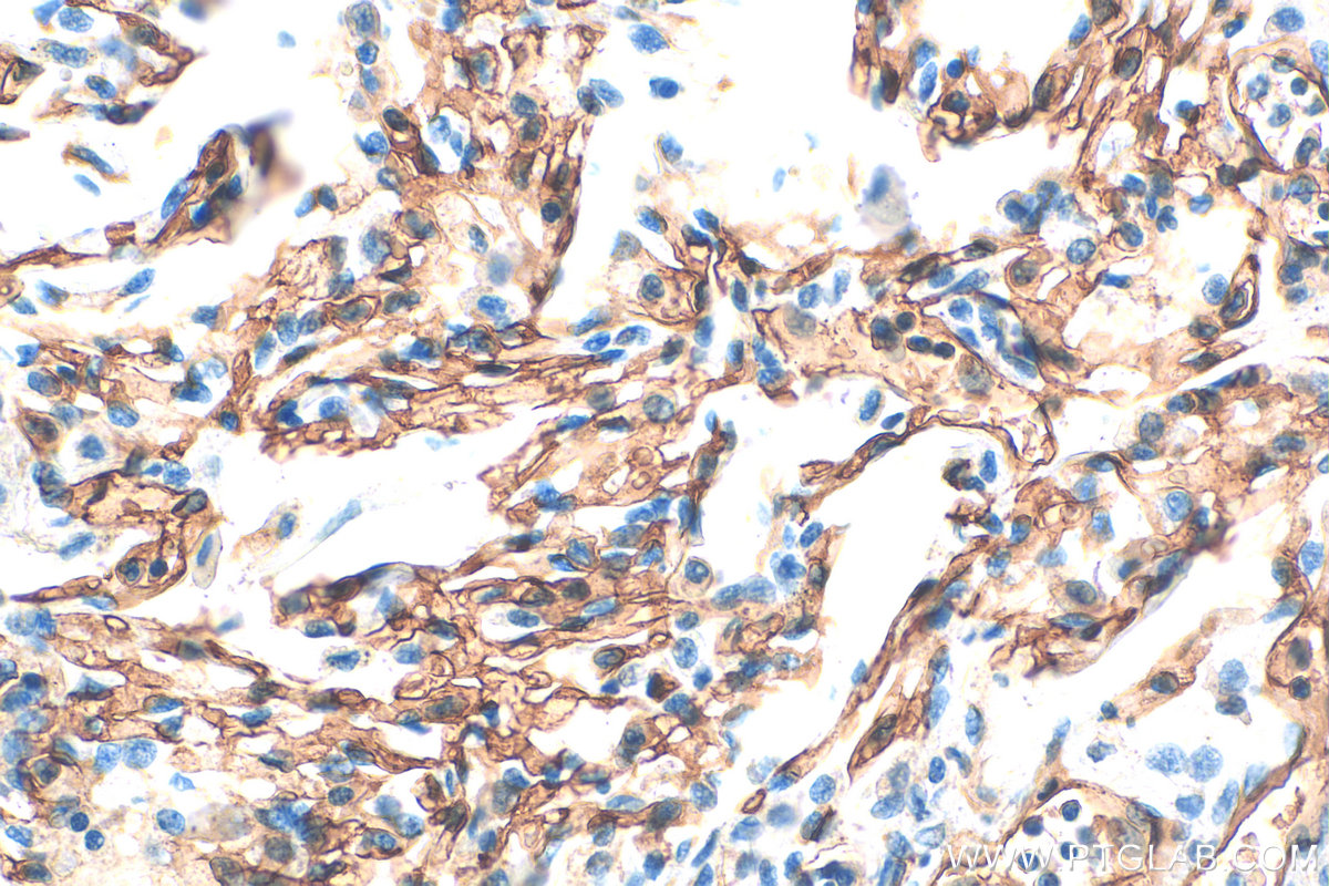
| Positive IHC detected in | human kidney tissue, human endometrial cancer tissue, human lung tissue Note: suggested antigen retrieval with TE buffer pH 9.0; (*) Alternatively, antigen retrieval may be performed with citrate buffer pH 6.0 |
| Positive IF-P detected in | human kidney tissue |
推荐稀释比
| 应用 | 推荐稀释比 |
|---|---|
| Western Blot (WB) | WB : 1:500-1:1000 |
| Immunohistochemistry (IHC) | IHC : 1:500-1:4000 |
| Immunofluorescence (IF)-P | IF-P : 1:400-1:1600 |
| It is recommended that this reagent should be titrated in each testing system to obtain optimal results. | |
| Sample-dependent, Check data in validation data gallery. | |
产品信息
18150-1-AP targets Podocalyxin in WB, IHC, IF-P, ELISA applications and shows reactivity with human samples.
| 经测试应用 | WB, IHC, IF-P, ELISA Application Description |
| 文献引用应用 | WB, IF |
| 经测试反应性 | human |
| 文献引用反应性 | human, chicken |
| 免疫原 |
CatNo: Ag12844 Product name: Recombinant human TRA-1-60 protein Source: e coli.-derived, PGEX-4T Tag: GST Domain: 23-428 aa of BC093730 Sequence: SPSPSPSPSQNATQTTTDSSNKTAPTPASSVTIMATDTAQQSTVPTSKANEILASVKATTLGVSSDSPGTTTLAQQVSGPVNTTVARGGGSGNPTTTIESPKSTKSADTTTVATSTATAKPNTTSSQNGAEDTTNSGGKSSHSVTTDLTSTKAEHLTTPHPTSPLSPRQPTSTHPVATPTSSGHDHLMKISSSSSTVAIPGYTFTSPGMTTTLPSSVISQRTQQTSSQMPASSTAPSSQETVQPTSPATALRTPTLPETMSSSPTAASTTHRYPKTPSPTVAHESNWAKCEDLETQTQSEKQLVLNLTGNTLCAGGASDEKLISLICRAVKATFNPAQDKCGIRLASVPGSQTVVVKEITIHTKLPAKDVYERLKDKWDELKEAGVSDMKLGDQGPPEEAEDRFSM 种属同源性预测 |
| 宿主/亚型 | Rabbit / IgG |
| 抗体类别 | Polyclonal |
| 产品类型 | Antibody |
| 全称 | podocalyxin-like |
| 别名 | PODXL, GCTM 2 antigen, GCTM-2 antigen, Gp200, PC |
| 计算分子量 | 526 aa, 55 kDa |
| 观测分子量 | 60-70 kDa |
| GenBank蛋白编号 | BC093730 |
| 基因名称 | Podocalyxin |
| Gene ID (NCBI) | 5420 |
| RRID | AB_11044193 |
| 偶联类型 | Unconjugated |
| 形式 | Liquid |
| 纯化方式 | Antigen affinity purification |
| UNIPROT ID | O00592 |
| 储存缓冲液 | PBS with 0.02% sodium azide and 50% glycerol, pH 7.3. |
| 储存条件 | Store at -20°C. Stable for one year after shipment. Aliquoting is unnecessary for -20oC storage. |
背景介绍
Podocalyxin, also known as podocalyxin-like protein 1 (PODXL or PCLP1), is a transmembrane glycoprotein belonging to the CD34 family of sialomucins. Podocalyxin was originally identified as the major sialoprotein on podocytes of the kidney glomerulus but was later found to be expressed on vascular endothelial cells and early hematopoietic progenitors. It is involved in the regulation of both adhesion and cell morphology. In addition, podocalyxin is highly expressed in embryonic stem cells and aberrant expression of podocalyxin has been implicated in a wide range of cancers. Podocalyxin is a protein with a peptide bone of ∼55.5 kDa that undergoes a post‐translational glycosylation, the different molecular mass of podocalyxin indicates the extent and variability of glycosylation patterns (PMID: 17092254).
实验方案
| Product Specific Protocols | |
|---|---|
| IF protocol for Podocalyxin antibody 18150-1-AP | Download protocol |
| IHC protocol for Podocalyxin antibody 18150-1-AP | Download protocol |
| WB protocol for Podocalyxin antibody 18150-1-AP | Download protocol |
| Standard Protocols | |
|---|---|
| Click here to view our Standard Protocols |
发表文章
| Species | Application | Title |
|---|---|---|
Kidney Int Quantitative assessment of glomerular basement membrane collagen IV α chains in paraffin sections from patients with focal segmental glomerulosclerosis and Alport gene variants | ||
Dis Model Mech Ascorbate protects human kidney organoids from damage induced by cell-free hemoglobin | ||
Tissue Eng Part A Genome engineering of human urine-derived stem cells to express lactoferrin and deoxyribonuclease | ||
Int J Cardiol Brg1 deficiency in vascular endothelial cells blocks neutrophil recruitment and ameliorates cardiac ischemia-reperfusion injury in mice. | ||












