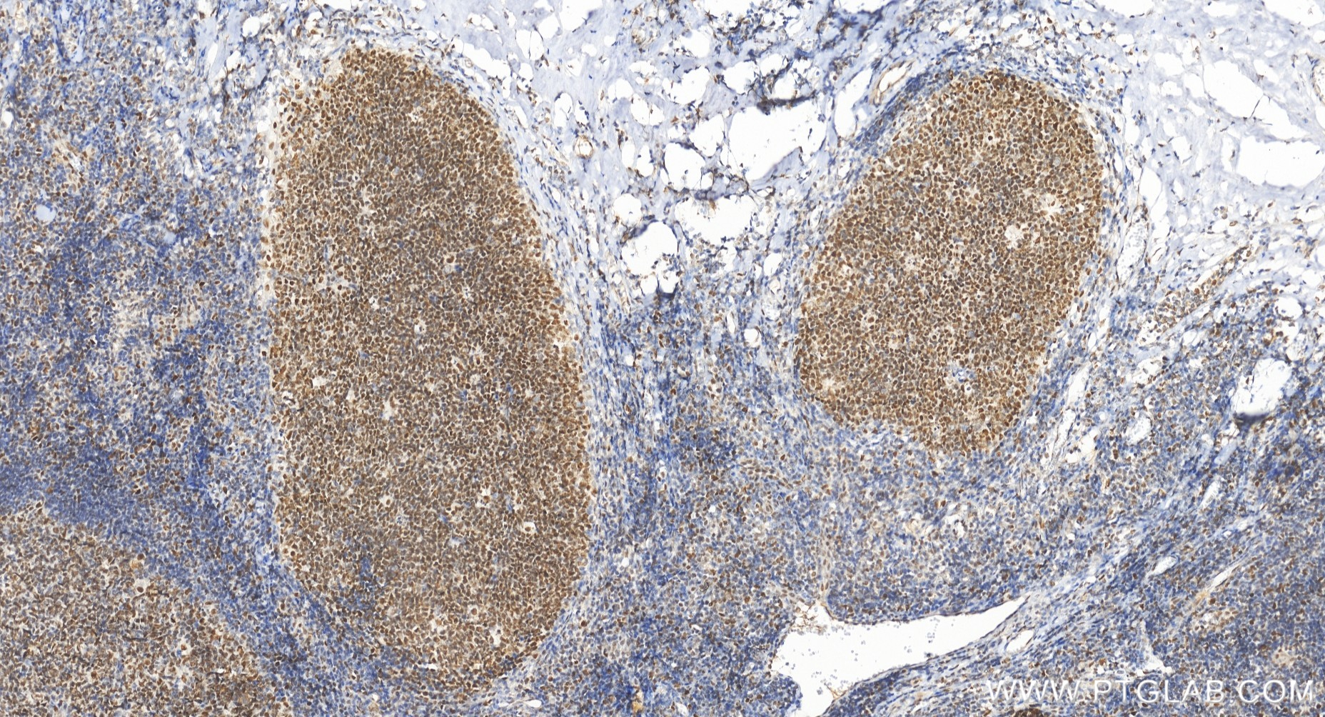
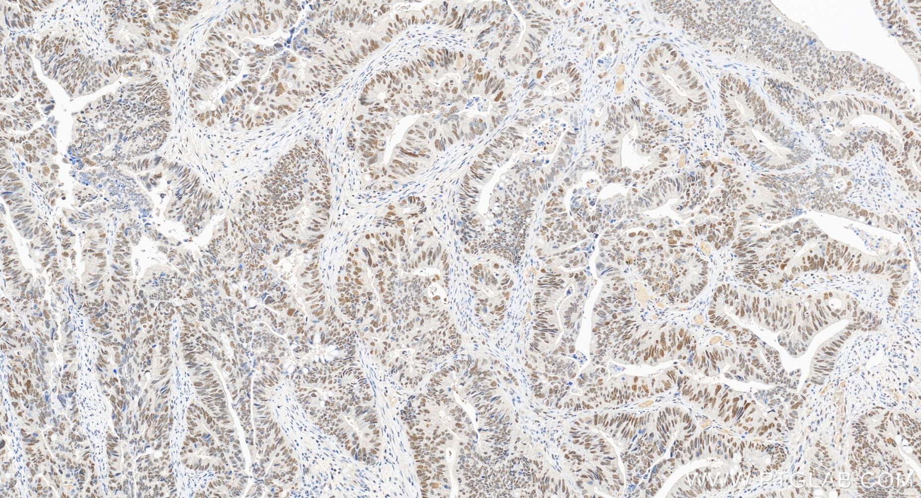
验证数据展示
产品信息
84894-5-PBS targets PMS2 in WB, IHC, FC (Intra), Indirect ELISA applications and shows reactivity with human samples.
| 经测试应用 | WB, IHC, FC (Intra), Indirect ELISA Application Description |
| 经测试反应性 | human |
| 免疫原 |
CatNo: Ag33508 Product name: Recombinant human PMS2 protein Source: e coli.-derived, PGEX-4T Tag: GST Domain: 700-862 aa of BC093921 Sequence: QHATDEKYNFEMLQQHTVLQGQRLIAPQTLNLTAVNEAVLIENLEIFRKNGFDFVIDENAPVTERAKLISLPTSKNWTFGPQDVDELIFMLSDSPGVMCRPSRVKQMFASRACRKSVMIGTALNTSEMKKLITHMGEMDHPWNCPHGRPTMRHIANLGVISQN* 种属同源性预测 |
| 宿主/亚型 | Rabbit / IgG |
| 抗体类别 | Recombinant |
| 产品类型 | Antibody |
| 全称 | PMS2 postmeiotic segregation increased 2 (S. cerevisiae) |
| 别名 | 242455F8, EC:3.1.-.-, HNPCC4, PMS1 protein homolog 2, PMS2CL |
| 计算分子量 | 862 aa, 96 kDa |
| 观测分子量 | 117 kDa |
| GenBank蛋白编号 | BC093921 |
| 基因名称 | PMS2 |
| Gene ID (NCBI) | 5395 |
| 偶联类型 | Unconjugated |
| 形式 | Liquid |
| 纯化方式 | Protein A purfication |
| UNIPROT ID | P54278 |
| 储存缓冲液 | PBS only, pH 7.3. |
| 储存条件 | Store at -80°C. The product is shipped with ice packs. Upon receipt, store it immediately at -80°C |
背景介绍
PMS2, also named as PMSL2, belongs to the DNA mismatch repair mutL/hexB family. It is a component of the post-replicative DNA mismatch repair system (MMR). It heterodimerizes with MLH1 to form MutL alpha. MulL alpha (MLH1-PMS2) interacts physically with the clamp loader subunits of DNA polymerase III, suggesting that it may play a role to recruit the DNA polymerase III to the site of the MMR. It also implicated in DNA damage signaling, a process which induces cell cycle arrest and can lead to apoptosis in case of major DNA damages. (PMID: 16873062, PMID: 18206974) Defects in PMS2 are the cause of hereditary non-polyposis colorectal cancer type 4 (HNPCC4). Defects in PMS2 are a cause of mismatch repair cancer syndrome (MMRCS).




