验证数据展示
经过测试的应用
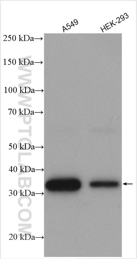
| Positive WB detected in | HEK-293 cells, human skeletal muscle tissue, mouse skeletal muscle tissue, mouse lung tissue, A549 cells, HepG2 cells, human placenta tissue | 
| Positive IP detected in | mouse lung tissue | 
| Positive IHC detected in | mouse spleen tissue, human kidney tissue,  human pancreas cancer tissue Note: suggested antigen retrieval with TE buffer pH 9.0; (*) Alternatively, antigen retrieval may be performed with citrate buffer pH 6.0 | 
| Positive IF-Fro detected in | rat brain tissue, mouse brain tissue | 
| Positive IF/ICC detected in | HeLa cells | 
推荐稀释比
| 应用 | 推荐稀释比 | 
|---|---|
| Western Blot (WB) | WB : 1:1000-1:8000 | 
| Immunoprecipitation (IP) | IP : 0.5-4.0 ug for 1.0-3.0 mg of total protein lysate | 
| Immunohistochemistry (IHC) | IHC : 1:50-1:500 | 
| Immunofluorescence (IF)-FRO | IF-FRO : 1:50-1:500 | 
| Immunofluorescence (IF)/ICC | IF/ICC : 1:20-1:200 | 
| It is recommended that this reagent should be titrated in each testing system to obtain optimal results. | |
| Sample-dependent, Check data in validation data gallery. | |
产品信息
11582-1-AP targets PLSCR1 in WB, IHC, IF/ICC, IF-Fro, IP, ELISA applications and shows reactivity with human, mouse, rat samples.
| 经测试应用 | WB, IHC, IF/ICC, IF-Fro, IP, ELISA Application Description | 
| 文献引用应用 | WB, IHC, IF, IP | 
| 经测试反应性 | human, mouse, rat | 
| 文献引用反应性 | human, mouse | 
| 免疫原 | CatNo: Ag2172 Product name: Recombinant human PLSCR1 protein Source: e coli.-derived, PGEX-4T Tag: GST Domain: 1-318 aa of BC021100 Sequence: MDKQNSQMNASHPETNLPVGYPPQYPPTAFQGPPGYSGYPGPQVSYPPPPAGHSGPGPAGFPVPNQPVYNQPVYNQPVGAAGVPWMPAPQPPLNCPPGLEYLSQIDQILIHQQIELLEVLTGFETNNKYEIKNSFGQRVYFAAEDTDCCTRNCCGPSRPFTLRIIDNMGQEVITLERPLRCSSCCCPCCLQEIEIQAPPGVPIGYVIQTWHPCLPKFTIQNEKREDVLKISGPCVVCSCCGDVDFEIKSLDEQCVVGKISKHWTGILREAFTDADNFGIQFPLDLDVKMKAVMIGACFLIDFMFFESTGSQEQKSGVW种属同源性预测 | 
| 宿主/亚型 | Rabbit / IgG | 
| 抗体类别 | Polyclonal | 
| 产品类型 | Antibody | 
| 全称 | phospholipid scramblase 1 | 
| 别名 | Ca(2+)-dependent phospholipid scramblase 1, EC:3.1.-.-, Mg(2+)-dependent nuclease, MMTRA1B, phospholipid scramblase 1 | 
| 计算分子量 | 318 aa, 35 kDa | 
| 观测分子量 | 35 kDa | 
| GenBank蛋白编号 | BC021100 | 
| 基因名称 | PLSCR1 | 
| Gene ID (NCBI) | 5359 | 
| RRID | AB_2165659 | 
| 偶联类型 | Unconjugated | 
| 形式 | Liquid | 
| 纯化方式 | Antigen affinity purification | 
| UNIPROT ID | O15162 | 
| 储存缓冲液 | PBS with 0.02% sodium azide and 50% glycerol, pH 7.3. | 
| 储存条件 | Store at -20°C. Stable for one year after shipment. Aliquoting is unnecessary for -20oC storage. | 
背景介绍
PLSCR1 (Phospholipid scramblase 1) is a member of the family of membrane proteins that mediate the transbilayer movement of phospholipids ("scrambling") in a Ca2+ dependent manner, which was identified as an a type II transmembrane protein involved in the calcium-dependent, nonspecific, rapid redistribution of phospholipids. A cysteine-rich palmitoylation motif [184CCCPCC189] of PLSCR1, a thioester linkage to the sulfhydryl groups of cysteines, controls the transportation of PLSCR1 to the cell membrane or nucleus (PMID: 32292520). PLSCR1 is strongly expressed in response to interferon (IFN) treatment and viral infection (PMID: 35138119, 23487022).
实验方案
| Product Specific Protocols | |
|---|---|
| IF protocol for PLSCR1 antibody 11582-1-AP | Download protocol | 
| IHC protocol for PLSCR1 antibody 11582-1-AP | Download protocol | 
| IP protocol for PLSCR1 antibody 11582-1-AP | Download protocol | 
| WB protocol for PLSCR1 antibody 11582-1-AP | Download protocol | 
| Standard Protocols | |
|---|---|
| Click here to view our Standard Protocols | 
发表文章
| Species | Application | Title | 
|---|---|---|
| J Clin Invest Phospholipid scramblase-1 regulates innate type 2 inflammation in mouse lung via CRTH2-dependent mechanisms | ||
| PLoS Pathog Phospholipid scramblase 1 interacts with influenza A virus NP, impairing its nuclear import and thereby suppressing virus replication. | ||
| J Neurosci Phospholipid Scramblase 1 Controls Efficient Neurotransmission and Synaptic Vesicle Retrieval at Cerebellar Synapses
 | ||
| J Proteome Res An Interactome Map Reveals Phospholipid Scramblase 1 as a Novel Regulator of Hepatitis B Virus X Protein.
 | ||
| Cancer Sci Nuclear accumulation of KPNA2 impacts radioresistance through positive regulation of the PLSCR1-STAT1 loop in lung adenocarcinoma.
 | ||
| J Leukoc Biol Phospholipid scramblase 1 is required for β2-glycoprotein I binding in hypoxia and reoxygenation-induced endothelial inflammation. | 















