验证数据展示
经过测试的应用
| Positive WB detected in | HeLa cells, HepG2 cells, COLO 320 cells, MCF-7 cells, HEK-293 cells, A431 cells, NIH/3T3 cells |
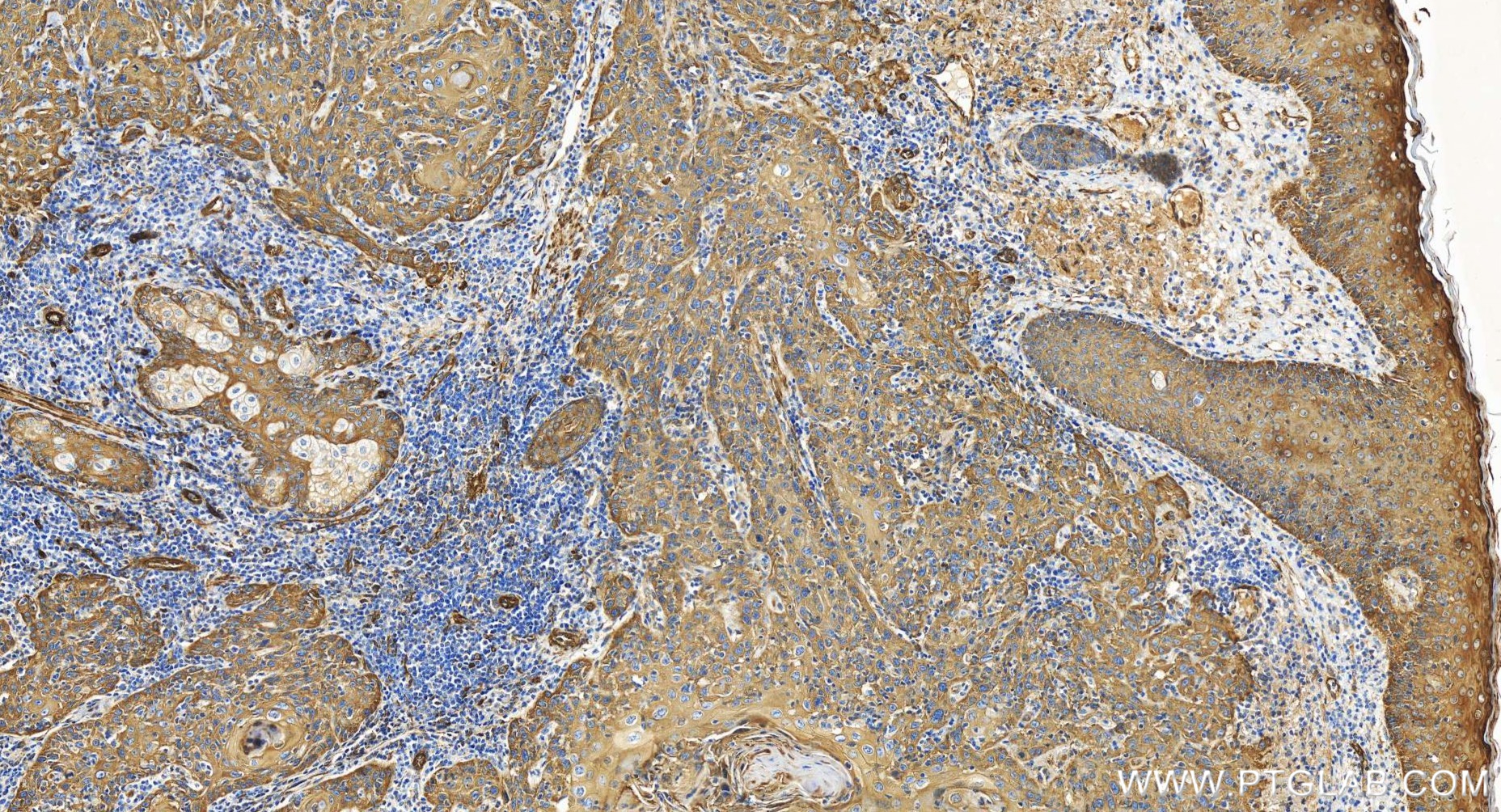
| Positive IHC detected in | human skin cancer tissue Note: suggested antigen retrieval with TE buffer pH 9.0; (*) Alternatively, antigen retrieval may be performed with citrate buffer pH 6.0 |
| Positive IF/ICC detected in | HeLa cells |
推荐稀释比
| 应用 | 推荐稀释比 |
|---|---|
| Western Blot (WB) | WB : 1:2000-1:10000 |
| Immunohistochemistry (IHC) | IHC : 1:250-1:1000 |
| Immunofluorescence (IF)/ICC | IF/ICC : 1:200-1:800 |
| It is recommended that this reagent should be titrated in each testing system to obtain optimal results. | |
| Sample-dependent, Check data in validation data gallery. | |
产品信息
86323-1-RR targets PLS3 in WB, IHC, IF/ICC, ELISA applications and shows reactivity with human, mouse samples.
| 经测试应用 | WB, IHC, IF/ICC, ELISA Application Description |
| 经测试反应性 | human, mouse |
| 免疫原 |
Peptide 种属同源性预测 |
| 宿主/亚型 | Rabbit / IgG |
| 抗体类别 | Recombinant |
| 产品类型 | Antibody |
| 全称 | plastin 3 (T isoform) |
| 别名 | Plastin 3, Plastin-3, T plastin, T-fimbrin, T-plastin |
| 计算分子量 | 71 kDa |
| 观测分子量 | 68 kDa |
| GenBank蛋白编号 | NM_005032 |
| 基因名称 | PLS3 |
| Gene ID (NCBI) | 5358 |
| 偶联类型 | Unconjugated |
| 形式 | Liquid |
| 纯化方式 | Protein A purification |
| UNIPROT ID | P13797 |
| 储存缓冲液 | PBS with 0.02% sodium azide and 50% glycerol, pH 7.3. |
| 储存条件 | Store at -20°C. Stable for one year after shipment. Aliquoting is unnecessary for -20oC storage. |
背景介绍
PLS3, also named T-plastin and Plastin-3, is an actin-bundling protein found in intestinal microvilli, hair cell stereocilia, and fibroblast filopodia. It plays an important role in leukocyte function. L-plastin plays an important role in leukocyte function, and T-plastin is possibly involved in DNA repair. Both T- and L-plastin are implicated in several diseases, and L-plastin is considered to be a valuable marker for cancer (PMID: 15960882).
实验方案
| Product Specific Protocols | |
|---|---|
| IF protocol for PLS3 antibody 86323-1-RR | Download protocol |
| IHC protocol for PLS3 antibody 86323-1-RR | Download protocol |
| WB protocol for PLS3 antibody 86323-1-RR | Download protocol |
| Standard Protocols | |
|---|---|
| Click here to view our Standard Protocols |




