验证数据展示
经过测试的应用
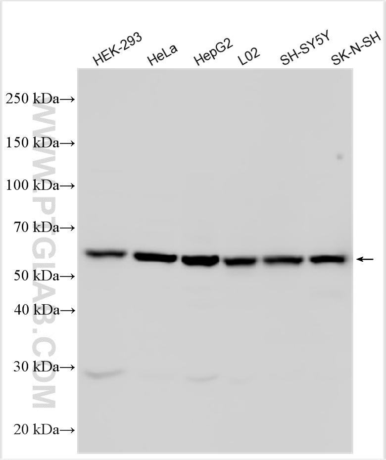
| Positive WB detected in | HEK-293 cells, HeLa cells, HepG2 cells, SH-SY5Y cells, L02 cells, SK-N-SH cells |
| Positive IHC detected in | human stomach tissue, mouse brain tissue Note: suggested antigen retrieval with TE buffer pH 9.0; (*) Alternatively, antigen retrieval may be performed with citrate buffer pH 6.0 |
| Positive IF-P detected in | mouse brain tissue |
| Positive IF/ICC detected in | A431 cells |
推荐稀释比
| 应用 | 推荐稀释比 |
|---|---|
| Western Blot (WB) | WB : 1:1000-1:4000 |
| Immunohistochemistry (IHC) | IHC : 1:250-1:1000 |
| Immunofluorescence (IF)-P | IF-P : 1:50-1:500 |
| Immunofluorescence (IF)/ICC | IF/ICC : 1:50-1:500 |
| It is recommended that this reagent should be titrated in each testing system to obtain optimal results. | |
| Sample-dependent, Check data in validation data gallery. | |
产品信息
17327-1-AP targets PLD3 in WB, IHC, IF/ICC, IF-P, ELISA applications and shows reactivity with human, mouse, rat samples.
| 经测试应用 | WB, IHC, IF/ICC, IF-P, ELISA Application Description |
| 文献引用应用 | WB, IHC, IF |
| 经测试反应性 | human, mouse, rat |
| 文献引用反应性 | human, mouse |
| 免疫原 |
CatNo: Ag11306 Product name: Recombinant human PLD3 protein Source: e coli.-derived, PGEX-4T Tag: GST Domain: 144-490 aa of BC036327 Sequence: GEEVLRQLQTLAPKGVNVRIAVSKPSGPQPQADLQALLQSGAQVRMVDMQKLTHGVLHTKFWVVDQTHFYLGSANMDWRSLTQVKELGVVMYNCSCLARDLTKIFEAYWFLGQAGSSIPSTWPRFYDTRYNQETPMEICLNGTPALAYLASAPPPLCPSGRTPDLKALLNVVDNARSFIYVAVMNYLPTLEFSHPHRFWPAIDDGLRRATYERGVKVRLLISCWGHSEPSMRAFLLSLAALRDNHTHSDIQVKLFVVPADEAQARIPYARVNHNKYMVTERATYIGTSNWSGNYFTETAGTSLLVTQNGRGGLRSQLEAIFLRDWDSPYSHDLDTSADSVGNACRLL 种属同源性预测 |
| 宿主/亚型 | Rabbit / IgG |
| 抗体类别 | Polyclonal |
| 产品类型 | Antibody |
| 全称 | phospholipase D family, member 3 |
| 别名 | 5'-3' exonuclease PLD3, Choline phosphatase 3, EC:3.1.16.1, HindIII K4L homolog, HU K4 |
| 计算分子量 | 490 aa, 55 kDa |
| 观测分子量 | 55 kDa |
| GenBank蛋白编号 | BC036327 |
| 基因名称 | PLD3 |
| Gene ID (NCBI) | 23646 |
| RRID | AB_2878383 |
| 偶联类型 | Unconjugated |
| 形式 | Liquid |
| 纯化方式 | Antigen affinity purification |
| UNIPROT ID | Q8IV08 |
| 储存缓冲液 | PBS with 0.02% sodium azide and 50% glycerol, pH 7.3. |
| 储存条件 | Store at -20°C. Stable for one year after shipment. Aliquoting is unnecessary for -20oC storage. |
实验方案
| Product Specific Protocols | |
|---|---|
| IF protocol for PLD3 antibody 17327-1-AP | Download protocol |
| IHC protocol for PLD3 antibody 17327-1-AP | Download protocol |
| WB protocol for PLD3 antibody 17327-1-AP | Download protocol |
| Standard Protocols | |
|---|---|
| Click here to view our Standard Protocols |
发表文章
| Species | Application | Title |
|---|---|---|
Hum Mol Genet Pathological characterization of a novel mouse model expressing the PD-linked CHCHD2-T61I mutation. | ||
Cell Death Discov A signature of enhanced lipid metabolism, lipid peroxidation and aldehyde stress in therapy-induced senescence. | ||
ACS Appl Mater Interfaces FRET Nanosensor Based on DNA Tetrahedron for Visualizing PLD3 Fluctuation in Mouse Models of Alzheimer's Disease | ||
Int J Cardiol Heart Vasc Macrophage Phospholipase D3 promotes atherosclerosis via exacerbating foam cell formation and inducing inflammatory responses.
|









