验证数据展示
经过测试的应用
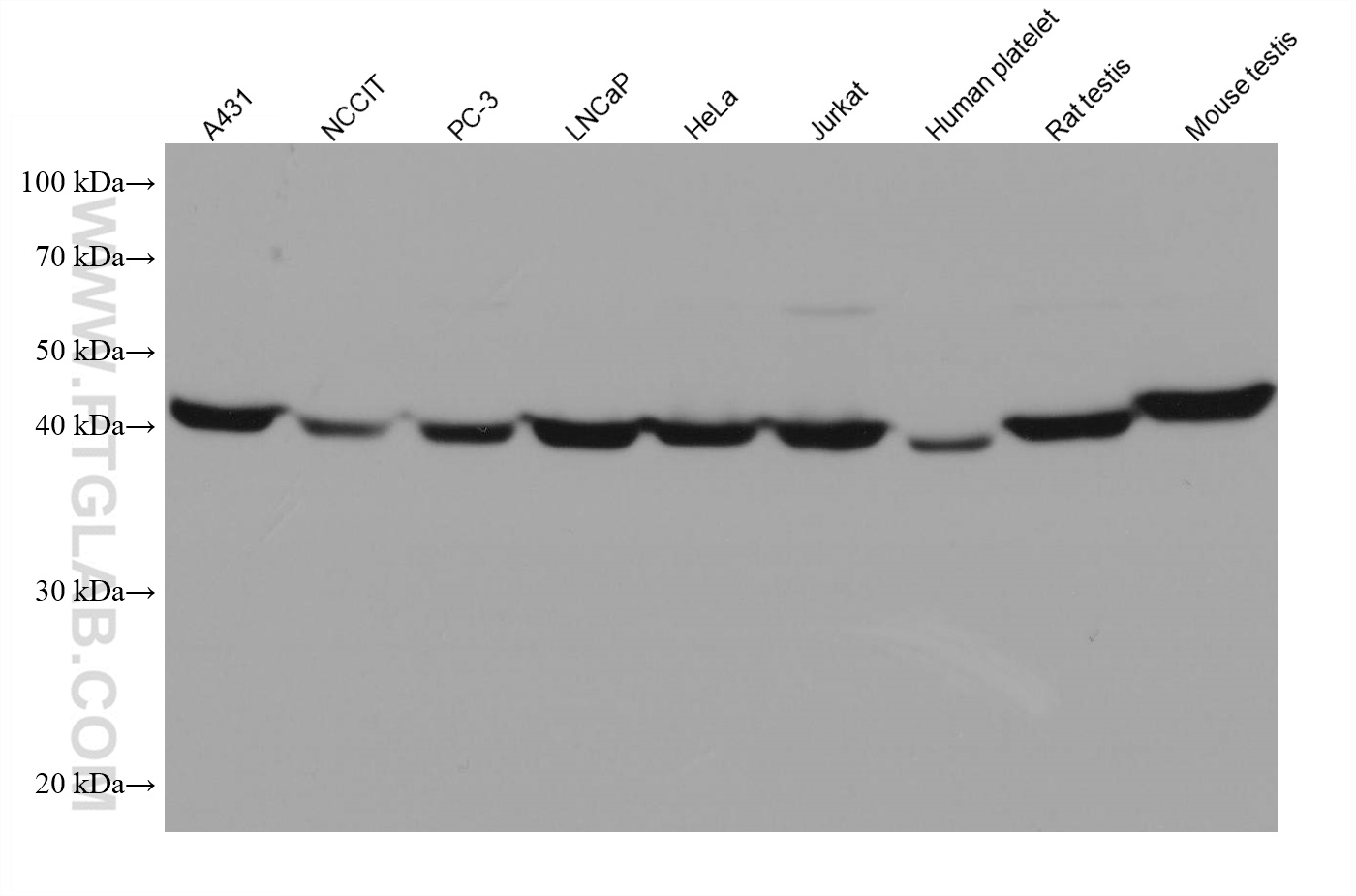
| Positive WB detected in | A431 cells, NCCIT cells, PC-3 cells, LNCaP cells, HeLa cells, Jurkat cells, human platelet tissue, rat testis tissue, mouse testis tissue |
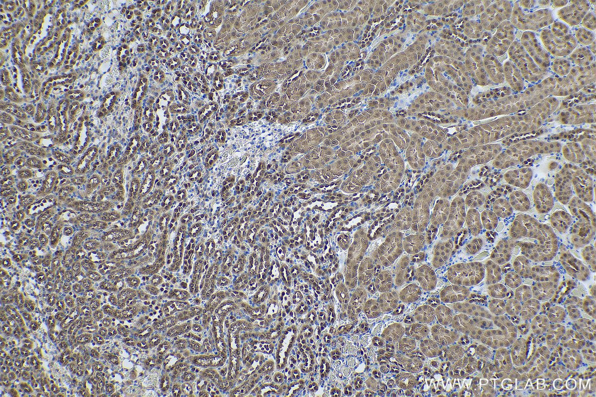
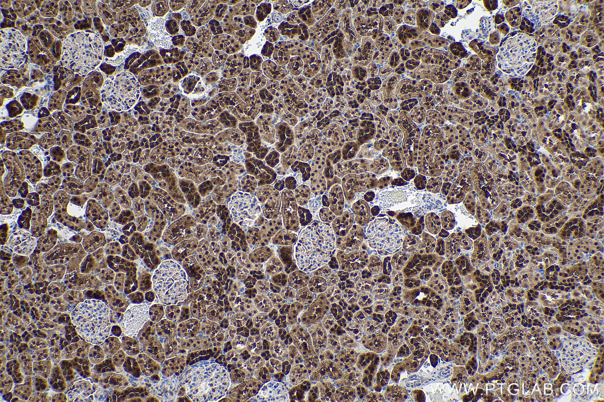
| Positive IHC detected in | human liver cancer tissue, mouse kidney tissue, rat kidney tissue, rat testis tissue Note: suggested antigen retrieval with TE buffer pH 9.0; (*) Alternatively, antigen retrieval may be performed with citrate buffer pH 6.0 |
| Positive IF/ICC detected in | A431 cells, HepG2 cells |
| Positive FC (Intra) detected in | HeLa cells |
推荐稀释比
| 应用 | 推荐稀释比 |
|---|---|
| Western Blot (WB) | WB : 1:5000-1:50000 |
| Immunohistochemistry (IHC) | IHC : 1:1000-1:4000 |
| Immunofluorescence (IF)/ICC | IF/ICC : 1:400-1:1600 |
| Flow Cytometry (FC) (INTRA) | FC (INTRA) : 0.25 ug per 10^6 cells in a 100 µl suspension |
| It is recommended that this reagent should be titrated in each testing system to obtain optimal results. | |
| Sample-dependent, Check data in validation data gallery. | |
产品信息
68035-1-Ig targets PGK1 in WB, IHC, IF/ICC, FC (Intra), ELISA applications and shows reactivity with human, mouse, rat samples.
| 经测试应用 | WB, IHC, IF/ICC, FC (Intra), ELISA Application Description |
| 文献引用应用 | WB, IF |
| 经测试反应性 | human, mouse, rat |
| 文献引用反应性 | human |
| 免疫原 |
CatNo: Ag12099 Product name: Recombinant human PGK1 protein Source: e coli.-derived, PET28a Tag: 6*His Domain: 1-417 aa of BC103752 Sequence: MSLSNKLTLDKLDVKGKRVVMRVDFNVPMKNNQITNNQRIKAAVPSIKFCLDNGAKSVVLMSHLGRPDGVPMPDKYSLEPVAVELKSLLGKDVLFLKDCVGPEVEKACANPAAGSVILLENLRFHVEEEGKGKDASGNKVKAEPAKIEAFRASLSKLGDVYVNDAFGTAHRAHSSMVGVNLPQKAGGFLMKKELNYFAKALESPERPFLAILGGAKVADKIQLINNMLDKVNEMIIGGGMAFTFLKVLNNMEIGTSLFDEEGAKIVKDLMSKAEKNGVKITLPVDFVTADKFDENAKTGQATVASGIPAGWMGLDCGPESSKKYAEAVTRAKQIVWNGPVGVFEWEAFARGTKALMDEVVKATSRGCITIIGGGDTATCCAKWNTEDKVSHVSTGGGASLELLEGKVLPGVDALSNI 种属同源性预测 |
| 宿主/亚型 | Mouse / IgG1 |
| 抗体类别 | Monoclonal |
| 产品类型 | Antibody |
| 全称 | phosphoglycerate kinase 1 |
| 别名 | 1B2F3, Cell migration-inducing gene 10 protein, EC:2.7.2.3, OK/SW-cl.110, PGKA |
| 计算分子量 | 417 aa, 45 kDa |
| 观测分子量 | 40-45 kDa |
| GenBank蛋白编号 | BC103752 |
| 基因名称 | PGK1 |
| Gene ID (NCBI) | 5230 |
| RRID | AB_2918777 |
| 偶联类型 | Unconjugated |
| 形式 | Liquid |
| 纯化方式 | Protein G purification |
| UNIPROT ID | P00558 |
| 储存缓冲液 | PBS with 0.02% sodium azide and 50% glycerol, pH 7.3. |
| 储存条件 | Store at -20°C. Stable for one year after shipment. Aliquoting is unnecessary for -20oC storage. |
背景介绍
PGK1, also known as PGKA, belongs to the phosphoglycerate kinase family. PGK1 is the first ATP-generating enzyme in glycolysis, which catalyzes the conversion of 1,3-diphosphoglycerate (1,3-BPG) to 3- phosphoglycerate (3-PG) and produces one molecule of ATP. PGK1 has other functions besides regulating glycolytic metabolism, including mediating autophagy initiation, DNA replication and repair in mammal cell nuclei. PGK1 has 2 isoforms with the molecular mass of 41 and 45 kDa (PMID: 31815035, PMID: 31911580).
实验方案
| Product Specific Protocols | |
|---|---|
| FC protocol for PGK1 antibody 68035-1-Ig | Download protocol |
| IF protocol for PGK1 antibody 68035-1-Ig | Download protocol |
| IHC protocol for PGK1 antibody 68035-1-Ig | Download protocol |
| WB protocol for PGK1 antibody 68035-1-Ig | Download protocol |
| Standard Protocols | |
|---|---|
| Click here to view our Standard Protocols |
发表文章
| Species | Application | Title |
|---|---|---|
Transl Oncol Tetraarsenic tetrasulfide triggers ROS-induced apoptosis and ferroptosis in B-cell acute lymphoblastic leukaemia by targeting HK2 | ||
J Biol Chem Hypoxia-inducible factor-1 alpha modulates muscle growth and the molting process through its regulation of glycolysis in Neocaridina davidi | ||
Cell Rep Med Phosphoglycerate kinase 1 contributes to diabetic kidney disease through enzyme-dependent and independent manners.
| ||
Cancer Lett PGK1/PHGDH axis drives radioresistance in glioblastoma stem cells.
|











