验证数据展示
经过测试的应用
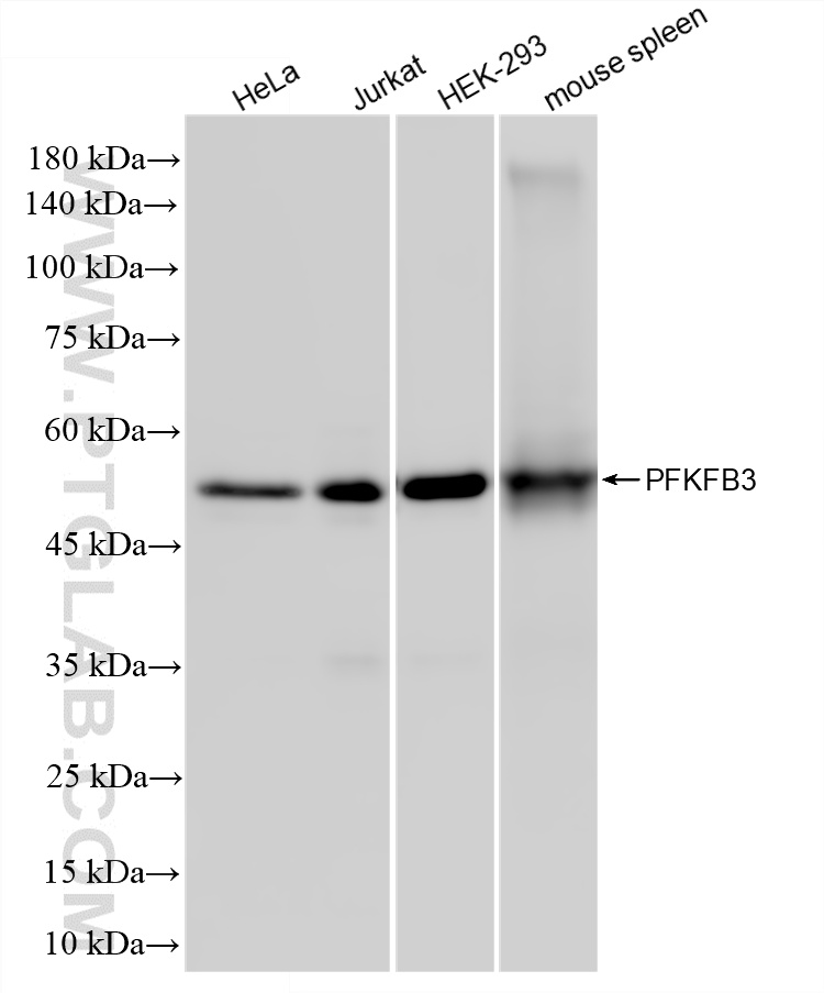
| Positive WB detected in | HeLa cells, rat thymus tissue, Jurkat cells, HEK-293 cells, mouse spleen tissue |
| Positive IF/ICC detected in | A549 cells |
推荐稀释比
| 应用 | 推荐稀释比 |
|---|---|
| Western Blot (WB) | WB : 1:2000-1:10000 |
| Immunofluorescence (IF)/ICC | IF/ICC : 1:400-1:1600 |
| It is recommended that this reagent should be titrated in each testing system to obtain optimal results. | |
| Sample-dependent, Check data in validation data gallery. | |
产品信息
87233-1-RR targets PFKFB3 in WB, IF/ICC, ELISA applications and shows reactivity with human, mouse, rat samples.
| 经测试应用 | WB, IF/ICC, ELISA Application Description |
| 经测试反应性 | human, mouse, rat |
| 免疫原 |
CatNo: Ag4744 Product name: Recombinant human PFKFB3 protein Source: e coli.-derived, PGEX-4T Tag: GST Domain: 243-520 aa of BC040482 Sequence: HVQPRTIYLCRHGENEHNLQGRIGGDSGLSSRGKKFASALSKFVEEQNLKDLRVWTSQLKSTIQTAEALRLPYEQWKALNEIDAGVCEELTYEEIRDTYPEEYALREQDKYYYRYPTGESYQDLVQRLEPVIMELERQENVLVICHQAVLRCLLAYFLDKSAEEMPYLKCPLHTVLKLTPVAYGCRVESIYLNVESVCTHRERSEDAKKGPNPLMRRNSVTPLASPEPTKKPRINSFEEHVASTSAALPSCLPPEVPTQLPGQNMKGSRSSADSSRKH 种属同源性预测 |
| 宿主/亚型 | Rabbit / IgG |
| 抗体类别 | Recombinant |
| 产品类型 | Antibody |
| 全称 | 6-phosphofructo-2-kinase/fructose-2,6-biphosphatase 3 |
| 别名 | 6PF-2-K/Fru-2,6-P2ase 3, 6PF-2-K/Fru-2,6-P2ase brain/placenta-type isozyme, 6-phosphofructo-2-kinase, 6-phosphofructo-2-kinase/fructose-2,6-bisphosphatase 3, Fructose-2,6-bisphosphatase |
| 计算分子量 | 520 aa, 60 kDa |
| 观测分子量 | 58 kDa |
| GenBank蛋白编号 | BC040482 |
| 基因名称 | PFKFB3 |
| Gene ID (NCBI) | 5209 |
| 偶联类型 | Unconjugated |
| 形式 | Liquid |
| 纯化方式 | Protein A purification |
| UNIPROT ID | Q16875 |
| 储存缓冲液 | PBS with 0.02% sodium azide and 50% glycerol, pH 7.3. |
| 储存条件 | Store at -20°C. Stable for one year after shipment. Aliquoting is unnecessary for -20oC storage. |
背景介绍
PFKFB3, also named as NY-REN-56 and iPFK-2, plays a role in glucose metabolism. Its synthesis and degradation of fructose 2,6-bisphosphate. Endogenously generated adenosine cooperates with bacterial components to increase PFKFB3 isozyme activity, resulting in greater fructose 2,6-bisphosphate accumulation. PFKFB3 is required for increased growth, metabolic activity and is regulated through active JAK2 and STAT5.
实验方案
| Product Specific Protocols | |
|---|---|
| IF protocol for PFKFB3 antibody 87233-1-RR | Download protocol |
| WB protocol for PFKFB3 antibody 87233-1-RR | Download protocol |
| Standard Protocols | |
|---|---|
| Click here to view our Standard Protocols |



