验证数据展示
经过测试的应用
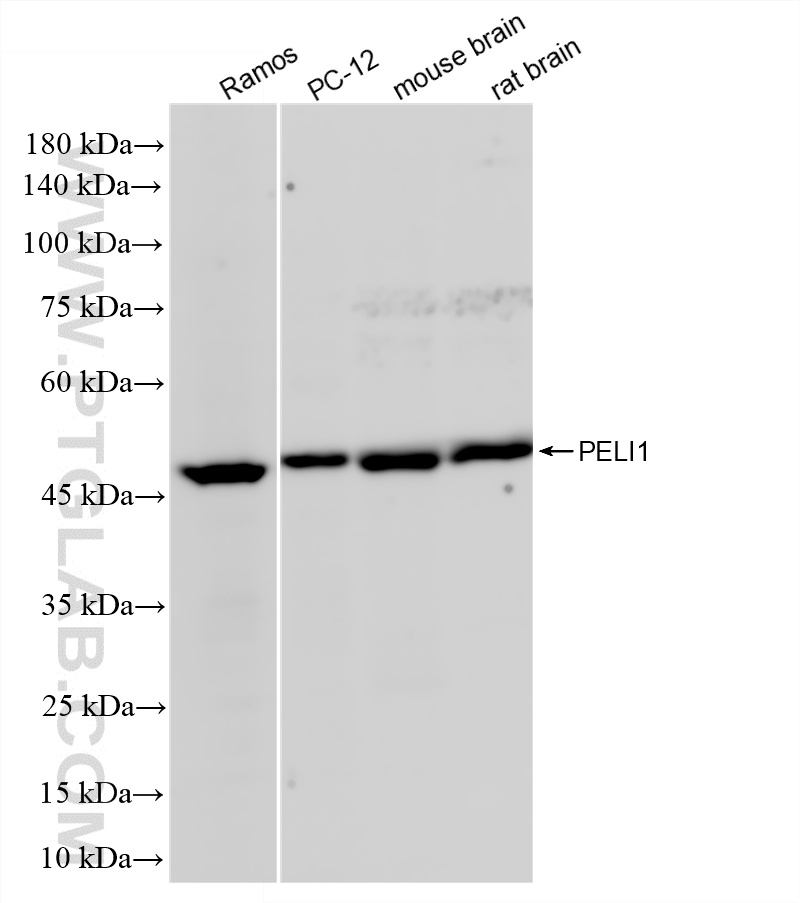
| Positive WB detected in | Ramos cells, LPS treated RAW 264.7 cells, PC-12 cells, mouse brain tissue, rat brain tissue |
推荐稀释比
| 应用 | 推荐稀释比 |
|---|---|
| Western Blot (WB) | WB : 1:500-1:2000 |
| It is recommended that this reagent should be titrated in each testing system to obtain optimal results. | |
| Sample-dependent, Check data in validation data gallery. | |
产品信息
87624-2-RR targets PELI1 in WB, ELISA applications and shows reactivity with human, mouse, rat samples.
| 经测试应用 | WB, ELISA Application Description |
| 经测试反应性 | human, mouse, rat |
| 免疫原 |
CatNo: Ag2683 Product name: Recombinant human PELI1 protein Source: e coli.-derived, PGEX-4T Tag: GST Domain: 294-418 aa of BC011419 Sequence: MKRKDVVDEKQPWVYLNCGHVHGYHNWGNKEERDGKDRECPMCRSVGPYVPLWLGCEAGFYVDAGPPTHAFSPCGHVCSEKTTAYWSQIPLPHGTHTFHAACPFCAHQLAGEQGYIRLIFQGPLD 种属同源性预测 |
| 宿主/亚型 | Rabbit / IgG |
| 抗体类别 | Recombinant |
| 产品类型 | Antibody |
| 全称 | pellino homolog 1 (Drosophila) |
| 别名 | E3 ubiquitin-protein ligase pellino homolog 1, EC:2.3.2.27, Pellino 1, Pellino-1, Pellino-related intracellular-signaling molecule |
| 计算分子量 | 418 aa, 46 kDa |
| 观测分子量 | 46-53 kDa |
| GenBank蛋白编号 | BC011419 |
| 基因名称 | PELI1 |
| Gene ID (NCBI) | 57162 |
| 偶联类型 | Unconjugated |
| 形式 | Liquid |
| 纯化方式 | Protein A purification |
| UNIPROT ID | Q96FA3 |
| 储存缓冲液 | PBS with 0.02% sodium azide and 50% glycerol, pH 7.3. |
| 储存条件 | Store at -20°C. Stable for one year after shipment. Aliquoting is unnecessary for -20oC storage. |
背景介绍
PELI1 encodes pellino-1, an E3 ubiquitin-protein ligase pellino homolog. E3 ubiquitin ligase functions by catalyzing the covalent attachment of ubiquitin moieties onto substrate proteins. Pellino-1 is involved in the TLR and IL-1 signaling pathways via interaction with the complex containing IRAK kinases and TRAF6. Pellino-1 can mediate 'Lys-63'-linked polyubiquitination of IRAK1 allowing subsequent NF-kappa-B activation thus playing a role in cellular inflammation.
实验方案
| Product Specific Protocols | |
|---|---|
| WB protocol for PELI1 antibody 87624-2-RR | Download protocol |
| Standard Protocols | |
|---|---|
| Click here to view our Standard Protocols |


