验证数据展示
经过测试的应用
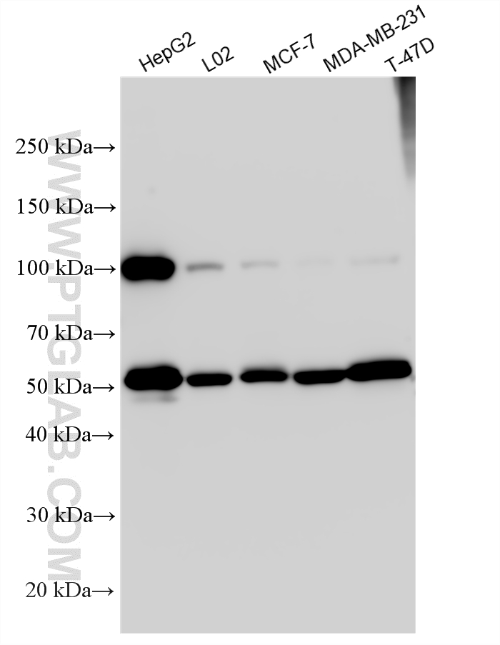
| Positive WB detected in | HepG2 cells, L02 cells, MCF-7 cells, MDA-MB-231 cells, T-47D cells | 
| Positive IHC detected in | mouse skin tissue Note: suggested antigen retrieval with TE buffer pH 9.0; (*) Alternatively, antigen retrieval may be performed with citrate buffer pH 6.0 | 
| Positive IF/ICC detected in | HeLa cells | 
推荐稀释比
| 应用 | 推荐稀释比 | 
|---|---|
| Western Blot (WB) | WB : 1:2000-1:12000 | 
| Immunohistochemistry (IHC) | IHC : 1:500-1:2000 | 
| Immunofluorescence (IF)/ICC | IF/ICC : 1:200-1:800 | 
| It is recommended that this reagent should be titrated in each testing system to obtain optimal results. | |
| Sample-dependent, Check data in validation data gallery. | |
产品信息
14412-1-AP targets PEG10 in WB, IHC, IF/ICC, IP, CoIP, ELISA applications and shows reactivity with human, mouse samples.
| 经测试应用 | WB, IHC, IF/ICC, ELISA Application Description | 
| 文献引用应用 | WB, IHC, IF, IP, CoIP | 
| 经测试反应性 | human, mouse | 
| 文献引用反应性 | human | 
| 免疫原 | CatNo: Ag5754 Product name: Recombinant human PEG10 protein Source: e coli.-derived, PGEX-4T Tag: GST Domain: 1-325 aa of BC050659 Sequence: MTERRRDELSEEINNLREKVMKQSEENNNLQSQVQKLTEENTTLREQVEPTPEDEDDDIELRGAAAAAAPPPPIEEECPEDLPEKFDGNPDMLAPFMAQCQIFMEKSTRDFSVDRVRVCFVTSMMTGRAARWASAKLERSHYLMHNYPAFMMEMKHVFEDPQRREVAKRKIRRLRQGMGSVIDYSNAFQMIAQDLDWNEPALIDQYHEGLSDHIQEELSHLEVAKSLSALIGQCIHIERRLARAAAARKPRSPPRALVLPHIASHHQVDPTEPVGGARMRLTQEEKERRRKLNLCLYCGTGGHYADNCPAKASKSSPAGNSPAPL种属同源性预测 | 
| 宿主/亚型 | Rabbit / IgG | 
| 抗体类别 | Polyclonal | 
| 产品类型 | Antibody | 
| 全称 | paternally expressed 10 | 
| 别名 | EDR, Embryonal carcinoma differentiation-regulated protein, HB 1, HB1, KIAA1051 | 
| 计算分子量 | 80 kDa | 
| 观测分子量 | 50 kDa, 100 kDa | 
| GenBank蛋白编号 | BC050659 | 
| 基因名称 | PEG10 | 
| Gene ID (NCBI) | 23089 | 
| RRID | AB_10694427 | 
| 偶联类型 | Unconjugated | 
| 形式 | Liquid | 
| 纯化方式 | Antigen affinity purification | 
| UNIPROT ID | Q86TG7 | 
| 储存缓冲液 | PBS with 0.02% sodium azide and 50% glycerol, pH 7.3. | 
| 储存条件 | Store at -20°C. Stable for one year after shipment. Aliquoting is unnecessary for -20oC storage. | 
背景介绍
Paternally expressed imprinted gene 10 (PEG10) is an evolutionarily conserved HERV gene belonging to the Ty3/Gypsy family of retrotransposons. The mRNA of PEG10 encodes at least two protein isoforms: the major PEG10 protein product reading frame 1 (RF1-PEG10, ~50 kDa) and reading frames 1 and 2 (RF1/RF2-PEG10, ~100 kDa), which are translated by a typical retroviral-1 ribosomal frameshift mechanism. PEG10 is strongly expressed in placenta, ovary and testis as well as somatic adult organs including brain, kidney and lung . Researches on mice suggest that PEG10 plays an important role in placenta formation and adipocyte differentiation, and its knockout can cause embryonic lethality.(PMID: 30123090, PMID: 32244497)
实验方案
| Product Specific Protocols | |
|---|---|
| IF protocol for PEG10 antibody 14412-1-AP | Download protocol | 
| IHC protocol for PEG10 antibody 14412-1-AP | Download protocol | 
| WB protocol for PEG10 antibody 14412-1-AP | Download protocol | 
| Standard Protocols | |
|---|---|
| Click here to view our Standard Protocols | 
发表文章
| Species | Application | Title | 
|---|---|---|
| Acta Pharmacol Sin Transcriptional regulator CTR9 promotes hepatocellular carcinoma progression and metastasis via increasing PEG10 transcriptional activity. | ||
| bioRxiv Endogenous retrovirus-like proteins recruit UBQLN2 to stress granules and alter their functional properties | ||
| Leuk Res NAP1L5 promotes epithelial-mesenchymal transition by regulating PEG10 expression in acute myeloid leukaemia
 | ||
| Int J Biol Macromol Evolutionary dynamics of PEG10 and its interacting proteins during early and late-stage placental development in ruminants | 



