验证数据展示
经过测试的应用
| Positive WB detected in | HepG2 cells, L02 cells, HeLa cells, MCF-7 cells, Jurkat cells, mouse liver tissue |
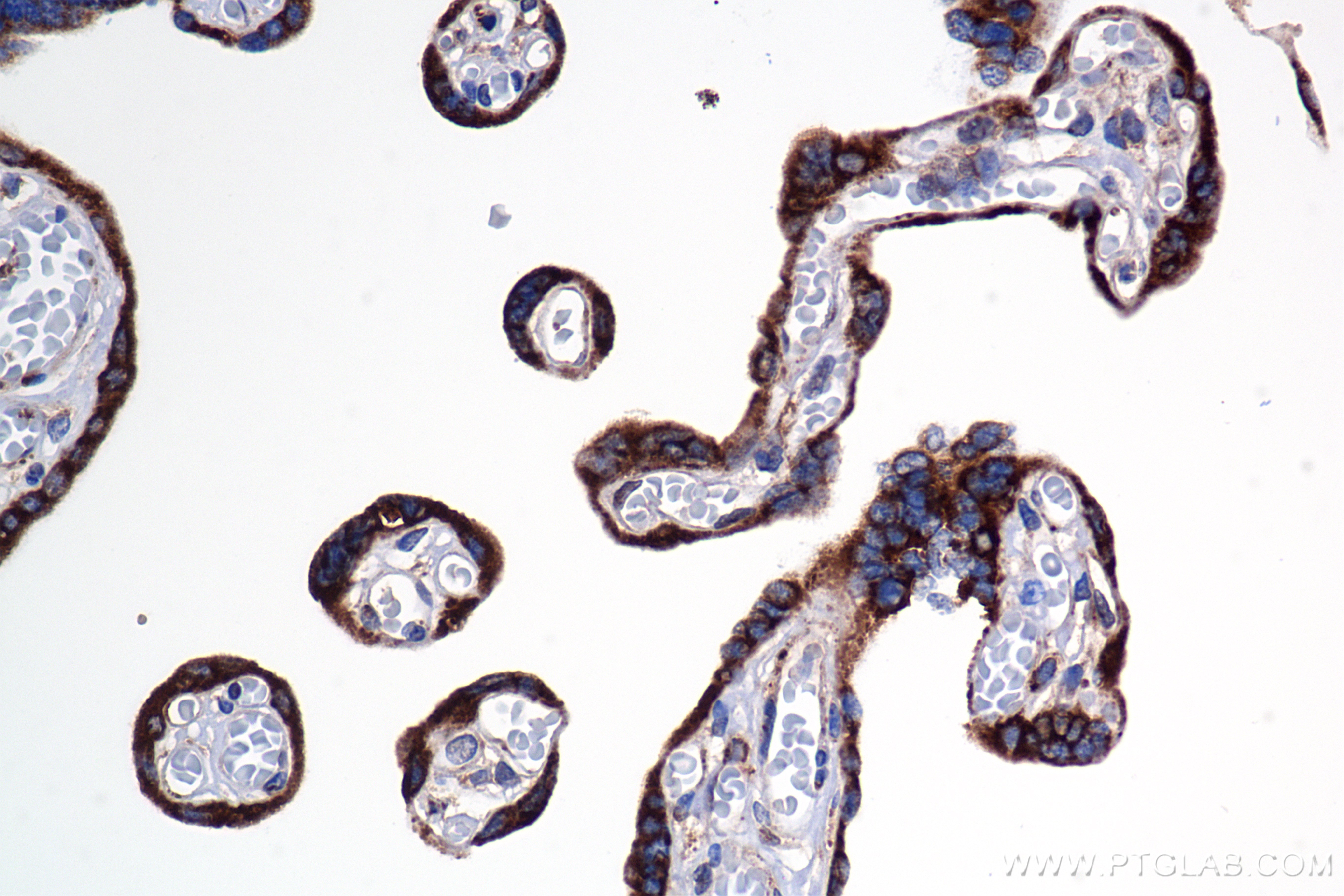
| Positive IHC detected in | human placenta tissue Note: suggested antigen retrieval with TE buffer pH 9.0; (*) Alternatively, antigen retrieval may be performed with citrate buffer pH 6.0 |
推荐稀释比
| 应用 | 推荐稀释比 |
|---|---|
| Western Blot (WB) | WB : 1:5000-1:50000 |
| Immunohistochemistry (IHC) | IHC : 1:2000-1:8000 |
| It is recommended that this reagent should be titrated in each testing system to obtain optimal results. | |
| Sample-dependent, Check data in validation data gallery. | |
产品信息
85599-4-RR targets PDIR in WB, IHC, ELISA applications and shows reactivity with human, mouse samples.
| 经测试应用 | WB, IHC, ELISA Application Description |
| 经测试反应性 | human, mouse |
| 免疫原 |
CatNo: Ag31479 Product name: Recombinant human PDIA5 protein Source: e coli.-derived, PGEX-4T Tag: GST Domain: 22-170 aa of BC001625 Sequence: SSAKVSSLIERISDPKDLKKLLRTRNNVLVLYSKSEVAAENHLRLLSTVAQAVKGQGTICWVDCGDAESRKLCKKMKVDLSPKDKKVELFHYQDGAFHTEYNRAVTFKSIVAFLKDPKGPPLWEEDPGAKDVVHLDSEKDFRRLLKKEE 种属同源性预测 |
| 宿主/亚型 | Rabbit / IgG |
| 抗体类别 | Recombinant |
| 产品类型 | Antibody |
| 全称 | protein disulfide isomerase family A, member 5 |
| 别名 | PDIA5, EC:5.3.4.1, Protein disulfide isomerase A5, Protein disulfide isomerase-related protein, Protein disulfide-isomerase A5 |
| 计算分子量 | 60 kDa |
| 观测分子量 | 60 kDa |
| GenBank蛋白编号 | BC001625 |
| 基因名称 | PDIR |
| Gene ID (NCBI) | 10954 |
| 偶联类型 | Unconjugated |
| 形式 | Liquid |
| 纯化方式 | Protein A purification |
| UNIPROT ID | Q14554 |
| 储存缓冲液 | PBS with 0.02% sodium azide and 50% glycerol, pH 7.3. |
| 储存条件 | Store at -20°C. Stable for one year after shipment. Aliquoting is unnecessary for -20oC storage. |
背景介绍
PDIR(Protein disulfide isomerase-related protein), also known as PDIA5 (Protein Disulfide Isomerase Family A Member 5), is a member of the PDI gene family and also exhibits chaperone-like activity. PDIR protein is correlated with immune infiltration, which is highly expressed in glioma and participates in glioma progression(PMID: 33664747). PDIR contributes to disulfide bond rearrangement in ATF6α under stress conditions that necessary for ATF6α activation upon ER stress(PMID: 24636989).
实验方案
| Product Specific Protocols | |
|---|---|
| WB protocol for PDIR antibody 85599-4-RR | Download protocol |
| Standard Protocols | |
|---|---|
| Click here to view our Standard Protocols |



